Skip to main content

HES5 Antibody - BSA Free

Novus Biologicals, part of Bio-Techne | Catalog # NBP2-41305

Catalog #
Availability
Size / Price
Qty
Loading...
NBP2-41305
NBP2-41305-0.025mg
Conjugate
Catalog #

Key Product Details

Species Reactivity

Human, Mouse, Rat

Applications

Validated:

Immunohistochemistry, Immunohistochemistry-Paraffin, Western Blot, ELISA, Immunocytochemistry/ Immunofluorescence

Cited:

Western Blot

Label

Unconjugated

Antibody Source

Polyclonal Rabbit IgG

Format

BSA Free

Concentration

1 mg/ml

Product Specifications

Immunogen

Antibody was raised against a 19 amino acid peptide near the amino terminus of human HES5. The immunogen is located within the first 50 amino acids of HES5.

Specificity

At least two isoforms of HES5 are known to exist; this antibody will detect both isoforms.

Clonality

Polyclonal

Host

Rabbit

Isotype

IgG

Theoretical MW

17 kDa.
Disclaimer note: The observed molecular weight of the protein may vary from the listed predicted molecular weight due to post translational modifications, post translation cleavages, relative charges, and other experimental factors.

Scientific Data Images for HES5 Antibody - BSA Free

Western Blot: HES5 AntibodyBSA Free [NBP2-41305]

Western Blot: HES5 AntibodyBSA Free [NBP2-41305]

Western Blot: HES5 Antibody [NBP2-41305] - Western blot analysis of HES5 in Raji cell lysate with HES5 antibody at 1 ug/ml (A) the absence and (B) the presence of blocking peptide.
HES5 Antibody - BSA Free

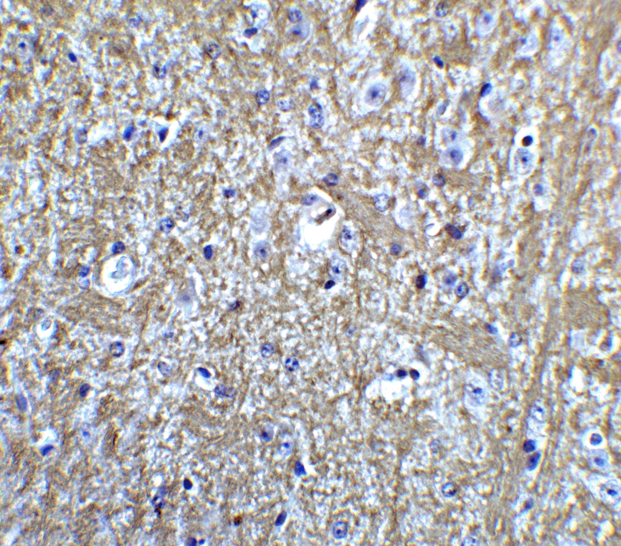
Immunohistochemistry: HES5 Antibody - BSA Free [NBP2-41305] -

Immunohistochemistry: HES5 Antibody - BSA Free [NBP2-41305] - Immunohistochemistry of HES5 in mouse brain tissue with HES5 Antibody at 5 ug/mL.
HES5 Antibody - BSA Free

Immunocytochemistry/ Immunofluorescence: HES5 Antibody - BSA Free [NBP2-41305] -

Immunocytochemistry/ Immunofluorescence: HES5 Antibody - BSA Free [NBP2-41305] - Immunofluorescence of HES5 in mouse brain tissue with HES5 Antibody at 20 ug/mL.

Green: HES5 Antibody
Blue: DAPI staining

Applications for HES5 Antibody - BSA Free

Application
Recommended Usage

Immunocytochemistry/ Immunofluorescence

20 ug/ml

Immunohistochemistry

5 ug/ml

Immunohistochemistry-Paraffin

5 ug/ml

Western Blot

1-2 ug/ml

Formulation, Preparation, and Storage

Purification

Peptide affinity purified

Formulation

PBS

Format

BSA Free

Preservative

0.02% Sodium Azide

Concentration

1 mg/ml

Shipping

The product is shipped with polar packs. Upon receipt, store it immediately at the temperature recommended below.

Stability & Storage

Store at 4C short term. Aliquot and store at -20C long term. Avoid freeze-thaw cycles.

Background: HES-5

GFP, also known as green fluorescent protein, is a protein produced by the jellyfish (Aequorea Victoria) that emits bioluminescence in the green zone of the visible spectrum. GFP has become a useful and ubiquitous tool for making chimeric proteins, where it functions as a fluorescent protein tag. It has been expressed in most known cell types and is used as a noninvasive fluorescent marker in living cells and organisms. This protein enables a wide range of applications where it has functioned as a cell lineage tracer, reporter of gene expression, or as a measure of protein-protein interactions. Recombinant GFP protein was expressed in E.coli and purified by using conventional chromatography.

Long Name

Hairy And Enhancer of Split 5

Alternate Names

HES5

Gene Symbol

HES5

Additional HES-5 Products

Product Documents for HES5 Antibody - BSA Free

Certificate of Analysis

To download a Certificate of Analysis, please enter a lot number in the search box below.

Product Specific Notices for HES5 Antibody - BSA Free

This product is for research use only and is not approved for use in humans or in clinical diagnosis. Primary Antibodies are guaranteed for 1 year from date of receipt.

Loading...
Loading...
Loading...
Loading...