Skip to main content

HES-1 Antibody (HL2198) - Azide and BSA Free

Novus Biologicals, part of Bio-Techne | Catalog # NBP3-25501

Recombinant Monoclonal Antibody
Novus Biologicals, part of Bio-Techne
Catalog #
Availability
Size / Price
Qty
Loading...
NBP3-25501

Key Product Details

Validated by

Orthogonal Validation

Species Reactivity

Human

Applications

Immunocytochemistry/ Immunofluorescence, Western Blot

Label

Unconjugated

Antibody Source

Recombinant Monoclonal Rabbit IgG Clone # HL2198 expressed in HEK293

Format

Azide and BSA Free

Concentration

Concentrations vary lot to lot. See vial label for concentration. If unlisted please contact technical services.

Product Specifications

Immunogen

Synthetic peptide of human HES-1.

Clonality

Monoclonal

Host

Rabbit

Isotype

IgG

Description

Novus Biologicals Rabbit HES-1 Antibody (HL2198) - Azide and BSA Free (NBP3-25501) is a recombinant monoclonal antibody validated for use in WB and ICC/IF. All Novus Biologicals antibodies are covered by our 100% guarantee.

Scientific Data Images for HES-1 Antibody (HL2198) - Azide and BSA Free

HES-1 Antibody (HL2198) - Azide and BSA Free

Immunocytochemistry/Immunofluorescence: HES-1 Antibody (HL2198) - Azide and BSA Free [NBP3-25501] -

Immunocytochemistry/Immunofluorescence: HES-1 Antibody (HL2198) - Azide and BSA Free [NBP3-25501] - HES1 antibody [HL2198] detects HES1 protein at cytoplasm and nucleus by immunofluorescent analysis. Sample: HeLa cells were fixed in 4% paraformaldehyde at RT for 15 min. Green: HES1 stained by HES1 antibody [HL2198] (NBP3-25501) diluted at 1:2000. Red: alpha Tubulin, a cytoskeleton marker, stained by alpha Tubulin antibody [GT114] diluted at 1:1000.
HES-1 Antibody (HL2198) - Azide and BSA Free

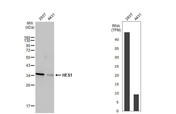
Western Blot: HES-1 Antibody (HL2198) - Azide and BSA Free [NBP3-25501] -

Western Blot: HES-1 Antibody (HL2198) - Azide and BSA Free [NBP3-25501] - Various whole cell extracts (30 ug) were separated by 12% SDS-PAGE, and the membrane was blotted with HES1 antibody [HL2198] (NBP3-25501) diluted at 1:2000. The HRP-conjugated anti-rabbit IgG antibody was used to detect the primary antibody. Corresponding RNA expression data for the same cell lines are based on Human Protein Atlas program.
HES-1 Antibody (HL2198) - Azide and BSA Free

Western Blot: HES-1 Antibody (HL2198) - Azide and BSA Free [NBP3-25501] -

Western Blot: HES-1 Antibody (HL2198) - Azide and BSA Free [NBP3-25501] - Whole cell extract (30 ug) was separated by 12% SDS-PAGE, and the membrane was blotted with HES1 antibody [HL2198] (NBP3-25501) diluted at 1:1000. The HRP-conjugated anti-rabbit IgG antibody was used to detect the primary antibody, and the signal was developed with Trident ECL plus-Enhanced.

Applications for HES-1 Antibody (HL2198) - Azide and BSA Free

Application
Recommended Usage

Western Blot

1:1000-1:10000

Formulation, Preparation, and Storage

Purification

Protein A purified

Formulation

PBS

Format

Azide and BSA Free

Preservative

No Preservative

Concentration

Concentrations vary lot to lot. See vial label for concentration. If unlisted please contact technical services.

Shipping

The product is shipped with polar packs. Upon receipt, store it immediately at the temperature recommended below.

Stability & Storage

Store at 4C short term. Aliquot and store at -20C long term. Avoid freeze-thaw cycles.

Background: HES-1

Hes1 belongs to the basic helix-loop-helix family of transcription factors. It is a transcriptional repressor of genes that require a bHLH protein for their transcription. The protein has a particular type of basic domain that contains a helix interrupting protein that binds to the N-box rather than the canonical E-box.

Long Name

Hairy And Enhancer of Split 1

Alternate Names

HES1, HL, HRY

Gene Symbol

HES1

Additional HES-1 Products

Product Documents for HES-1 Antibody (HL2198) - Azide and BSA Free

Certificate of Analysis

To download a Certificate of Analysis, please enter a lot number in the search box below.

Product Specific Notices for HES-1 Antibody (HL2198) - Azide and BSA Free

This product is for research use only and is not approved for use in humans or in clinical diagnosis. Primary Antibodies are guaranteed for 1 year from date of receipt.

Loading...
Loading...
Loading...
Loading...