Skip to main content

Hemoglobin A1 Antibody - BSA Free

Novus Biologicals, part of Bio-Techne | Catalog # NBP2-54711

Novus Biologicals, part of Bio-Techne
Catalog #
Availability
Size / Price
Qty
Loading...
NBP2-54711

Key Product Details

Species Reactivity

Human

Applications

Immunohistochemistry, Immunohistochemistry-Paraffin, Western Blot

Label

Unconjugated

Antibody Source

Polyclonal Rabbit IgG

Format

BSA Free

Concentration

Concentrations vary lot to lot. See vial label for concentration. If unlisted please contact technical services.

Product Specifications

Immunogen

This antibody was developed against a Recombinant Protein corresponding to amino acids: MVLSPADKTNVKAAWGKVGAHAGEYGAEALERMFLSF

Clonality

Polyclonal

Host

Rabbit

Isotype

IgG

Description

Novus Biologicals Rabbit Hemoglobin A1 Antibody - BSA Free (NBP2-54711) is a polyclonal antibody validated for use in IHC and WB. All Novus Biologicals antibodies are covered by our 100% guarantee.

Scientific Data Images for Hemoglobin A1 Antibody - BSA Free

Western Blot: Hemoglobin A1 Antibody [NBP2-54711]

Western Blot: Hemoglobin A1 Antibody [NBP2-54711]

Western Blot: Hemoglobin A1 Antibody [NBP2-54711] - Analysis in human cell line RT-4, human cell line U-251 MG, human plasma, human liver tissue and human tonsil tissue.
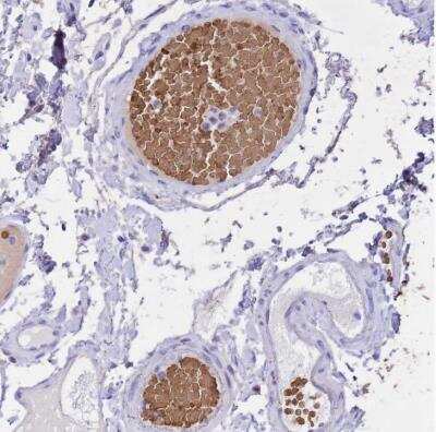
Immunohistochemistry-Paraffin: Hemoglobin A1 Antibody [NBP2-54711]

Immunohistochemistry-Paraffin: Hemoglobin A1 Antibody [NBP2-54711]

Immunohistochemistry-Paraffin: Hemoglobin A1 Antibody [NBP2-54711] - Staining of human colon shows distinct staining in red blood cells.

Applications for Hemoglobin A1 Antibody - BSA Free

Application
Recommended Usage

Immunohistochemistry

1:500 - 1:1000

Immunohistochemistry-Paraffin

1:500 - 1:1000

Western Blot

0.04-0.4 ug/ml
Application Notes
For IHC-Paraffin, HIER pH 6 retrieval is recommended.

Formulation, Preparation, and Storage

Purification

Immunogen affinity purified

Formulation

PBS (pH 7.2) and 40% Glycerol

Format

BSA Free

Preservative

0.02% Sodium Azide

Concentration

Concentrations vary lot to lot. See vial label for concentration. If unlisted please contact technical services.

Shipping

The product is shipped with polar packs. Upon receipt, store it immediately at the temperature recommended below.

Stability & Storage

Store at 4C short term. Aliquot and store at -20C long term. Avoid freeze-thaw cycles.

Background: Hemoglobin A1

The human alpha globin gene cluster located on chromosome 16 spans about 30 kb and includes seven loci: 5'- zeta - pseudozeta - mu - pseudoalpha-1 - alpha-2 - alpha-1 - theta - 3'. The alpha-2 (HBA2) and alpha-1 (HBA1) coding sequences are identical. These genes differ slightly over the 5' untranslated regions and the introns, but they differ significantly over the 3' untranslated regions. Two alpha chains plus two beta chains constitute HbA, which in normal adult life comprises about 97% of the total hemoglobin; alpha chains combine with delta chains to constitute HbA-2, which with HbF (fetal hemoglobin) makes up the remaining 3% of adult hemoglobin. Alpha thalassemias result from deletions of each of the alpha genes as well as deletions of both HBA2 and HBA1; some nondeletion alpha thalassemias have also been reported.

Alternate Names

alpha one globin, alpha-1 globin, alpha-1-globin, alpha-globin, CD31, hemoglobin alpha 1 globin chain, Hemoglobin alpha chain, hemoglobin alpha-1 chain, hemoglobin subunit alpha, hemoglobin, alpha 1, MGC126895, MGC126897

Gene Symbol

HBA1

Additional Hemoglobin A1 Products

Product Documents for Hemoglobin A1 Antibody - BSA Free

Certificate of Analysis

To download a Certificate of Analysis, please enter a lot number in the search box below.

Product Specific Notices for Hemoglobin A1 Antibody - BSA Free

This product is for research use only and is not approved for use in humans or in clinical diagnosis. Primary Antibodies are guaranteed for 1 year from date of receipt.

Loading...
Loading...
Loading...
Loading...