Skip to main content

HEMK1 Antibody - BSA Free

Novus Biologicals, part of Bio-Techne | Catalog # NBP1-81019

Novus Biologicals, part of Bio-Techne
Catalog #
Availability
Size / Price
Qty
Loading...
NBP1-81019
NBP1-81019-25ul

Key Product Details

Species Reactivity

Human

Applications

Immunohistochemistry, Immunohistochemistry-Paraffin, Western Blot

Label

Unconjugated

Antibody Source

Polyclonal Rabbit IgG

Format

BSA Free

Concentration

Concentrations vary lot to lot. See vial label for concentration. If unlisted please contact technical services.

Product Specifications

Immunogen

This antibody was developed against Recombinant Protein corresponding to amino acids: VSNPPYVFHQDMEQLAPEIRSYEDPAALDGGEEGMDIITHILALAPRLLKDSGSIFLEVDPRHPELVSSWLQSRPDLYLNLVAVRRDFCG

Reactivity Notes

Immunogen displays the following percentage of sequence identity for non-tested species: Mouse (82%), Rat (83%)

Clonality

Polyclonal

Host

Rabbit

Isotype

IgG

Description

Novus Biologicals Rabbit HEMK1 Antibody - BSA Free (NBP1-81019) is a polyclonal antibody validated for use in IHC and WB. All Novus Biologicals antibodies are covered by our 100% guarantee.

Scientific Data Images for HEMK1 Antibody - BSA Free

Western Blot: HEMK1 Antibody [NBP1-81019]

Western Blot: HEMK1 Antibody [NBP1-81019]

Western Blot: HEMK1 Antibody [NBP1-81019] - Lane 1: Marker [kDa] 230, 130, 95, 72, 56, 36, 28, 17, 11. Lane 2: Human cell line RT-4. Lane 3: Human cell line U-251MG sp
HEMK1 Antibody

Immunohistochemistry-Paraffin: HEMK1 Antibody [NBP1-81019] -

Immunohistochemistry-Paraffin: HEMK1 Antibody [NBP1-81019] - Staining of human salivary gland shows strong nuclear positivity in glandular cells in addition to weak cytoplasmic positivity.
HEMK1 Antibody

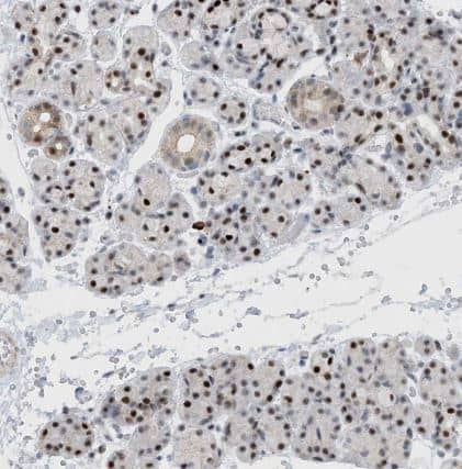
Immunohistochemistry-Paraffin: HEMK1 Antibody [NBP1-81019] -

Immunohistochemistry-Paraffin: HEMK1 Antibody [NBP1-81019] - Staining of human pancreas shows strong nuclear positivity in exocrine glandular cells in addition to weak cytoplasmic positivity.

Applications for HEMK1 Antibody - BSA Free

Application
Recommended Usage

Immunohistochemistry

1:1000 - 1:2500

Immunohistochemistry-Paraffin

1:1000 - 1:2500

Western Blot

0.04-0.4 ug/ml
Application Notes
For IHC-Paraffin, HIER pH 6 retrieval is recommended.

Formulation, Preparation, and Storage

Purification

Immunogen affinity purified

Formulation

PBS (pH 7.2) and 40% Glycerol

Format

BSA Free

Preservative

0.02% Sodium Azide

Concentration

Concentrations vary lot to lot. See vial label for concentration. If unlisted please contact technical services.

Shipping

The product is shipped with polar packs. Upon receipt, store it immediately at the temperature recommended below.

Stability & Storage

Store at 4C short term. Aliquot and store at -20C long term. Avoid freeze-thaw cycles.

Background: HEMK1

HEMK1, also known as HemK methyltransferase family member 1, is a 338 amino acid that is 38 kDa; as methyltransferase transferase plays role in the methylation of the GGQ triplet of the mitochondrial translation release factor MTRF1L. This protein is being studied for its involvement in yersinia pseudotuberculosis, infectious disease, neisseria, meningitides, pneumonia, and tuberculosis. The HEMK1 protein has been linked to histidine metabolism and tyrosine metabolism pathways where it interacts with MTRF1, MTRF1L, MAT1A, MAT2A, and AHCY proteins.

Alternate Names

EC 2.1.1.-, FLJ22320, HEMK, HEMK homolog 7kb, HemK methyltransferase family member 1, M.HsaHemKP, MTQ1

Entrez Gene IDs

51409 (Human)

Gene Symbol

HEMK1

Additional HEMK1 Products

Product Documents for HEMK1 Antibody - BSA Free

Certificate of Analysis

To download a Certificate of Analysis, please enter a lot number in the search box below.

Product Specific Notices for HEMK1 Antibody - BSA Free

This product is for research use only and is not approved for use in humans or in clinical diagnosis. Primary Antibodies are guaranteed for 1 year from date of receipt.

Loading...
Loading...
Loading...
Loading...