Skip to main content

HEM1 Antibody - BSA Free

Novus Biologicals, part of Bio-Techne | Catalog # NBP2-13643

Novus Biologicals, part of Bio-Techne
Catalog #
Availability
Size / Price
Qty
Loading...
NBP2-13643-25ul
NBP2-13643

Key Product Details

Species Reactivity

Validated:

Human

Cited:

Human, Mouse

Predicted:

Mouse (96%), Rat (97%). Backed by our 100% Guarantee.

Applications

Validated:

Immunohistochemistry, Immunohistochemistry-Paraffin, Western Blot

Cited:

Knockout Validated, Western Blot

Label

Unconjugated

Antibody Source

Polyclonal Rabbit IgG

Format

BSA Free

Concentration

Concentrations vary lot to lot. See vial label for concentration. If unlisted please contact technical services.

Product Specifications

Immunogen

This antibody was developed against a recombinant protein corresponding to the amino acids: VLIRMYNIKKTCSDPKSKPPFLLEKSMEPSLKYINKKFPNIDVRNSTQHLGPVHREKAEIIRFLTNYYQSFVD

Clonality

Polyclonal

Host

Rabbit

Isotype

IgG

Description

Novus Biologicals Knockout (KO) Validated Rabbit HEM1 Antibody - BSA Free (NBP2-13643) is a polyclonal antibody validated for use in IHC and WB. Anti-HEM1 Antibody: Cited in 2 publications. All Novus Biologicals antibodies are covered by our 100% guarantee.

Scientific Data Images for HEM1 Antibody - BSA Free

Western Blot: HEM1 Antibody [NBP2-13643]

Western Blot: HEM1 Antibody [NBP2-13643]

Western Blot: HEM1 Antibody [NBP2-13643] - Lane 1: Marker [kDa] 250, 130, 95, 72, 55, 36, 28, 17, 10. Lane 2: Human cell line RT-4. Lane 3: Human cell line U-251MG sp. Lane 4: Human plasma (IgG/HSA depleted). Lane 5: Human liver tissue. Lane 6: Human tonsil tissue
Immunohistochemistry-Paraffin: HEM1 Antibody [NBP2-13643]

Immunohistochemistry-Paraffin: HEM1 Antibody [NBP2-13643]

Immunohistochemistry-Paraffin: HEM1 Antibody [NBP2-13643] - Staining of human lymph node shows strong cytoplasmic positivity in non-germinal center cells.
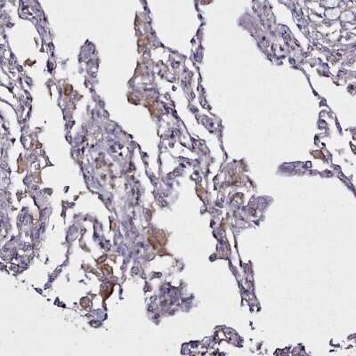
Immunohistochemistry-Paraffin: HEM1 Antibody [NBP2-13643]

Immunohistochemistry-Paraffin: HEM1 Antibody [NBP2-13643]

Immunohistochemistry-Paraffin: HEM1 Antibody [NBP2-13643] - Staining of human lung shows moderate cytoplasmic positivity in macrophages.

Applications for HEM1 Antibody - BSA Free

Application
Recommended Usage

Immunohistochemistry

1:200 - 1:500

Immunohistochemistry-Paraffin

1:200-1:500

Western Blot

0.04-0.4 ug/ml
Application Notes
For IHC-Paraffin, HIER pH 6 retrieval is recommended.

Formulation, Preparation, and Storage

Purification

Affinity purified

Formulation

PBS (pH 7.2) and 40% Glycerol

Format

BSA Free

Preservative

0.02% Sodium Azide

Concentration

Concentrations vary lot to lot. See vial label for concentration. If unlisted please contact technical services.

Shipping

The product is shipped with polar packs. Upon receipt, store it immediately at the temperature recommended below.

Stability & Storage

Store at 4C short term. Aliquot and store at -20C long term. Avoid freeze-thaw cycles.

Background: HEM1

HEM1 is encoded by this gene is a member of the HEM family of tissue-specific transmembrane proteins which are highly conserved from invertebrates through mammals. This gene is only expressed in hematopoietic cells, while hematopoietic protein 2 is preferentially expressed in brain, heart, liver and testis. The function of the HEM1 product has not been established but it is thought to play an essential role in oogenesis.

Alternate Names

Hematopoietic protein 1HEM1Membrane-associated protein HEM-1, NCK-associated protein 1-like

Gene Symbol

NCKAP1L

Additional HEM1 Products

Product Documents for HEM1 Antibody - BSA Free

Certificate of Analysis

To download a Certificate of Analysis, please enter a lot number in the search box below.

Product Specific Notices for HEM1 Antibody - BSA Free

This product is for research use only and is not approved for use in humans or in clinical diagnosis. Primary Antibodies are guaranteed for 1 year from date of receipt.

Loading...
Loading...
Loading...
Loading...