HEATR6 Antibody - BSA Free
Novus Biologicals, part of Bio-Techne | Catalog # NBP1-90877
Key Product Details
Species Reactivity
Human
Applications
Immunohistochemistry, Immunohistochemistry-Paraffin, Western Blot
Label
Unconjugated
Antibody Source
Polyclonal Rabbit IgG
Format
BSA Free
Concentration
Concentrations vary lot to lot. See vial label for concentration. If unlisted please contact technical services.
Product Specifications
Immunogen
This antibody was developed against Recombinant Protein corresponding to amino acids: KSEDTIDFLEFKYCVSLRTQICQALIHLLSLASASDLPCMKETLELSGNMVQSYILQFLKSGAEGDDTGAPHSPQERDQMVRMALKHMGSIQAPTGDTARRAIMGFLEEILAVCFDSSGSQGAL
Clonality
Polyclonal
Host
Rabbit
Isotype
IgG
Scientific Data Images for HEATR6 Antibody - BSA Free
Western Blot: HEATR6 Antibody [NBP1-90877]
Western Blot: HEATR6 Antibody [NBP1-90877] - Lane 1: Marker [kDa] 230, 130, 95, 72, 56, 36, 28, 17, 11. Lane 2: Human cell line RT-260Immunohistochemistry-Paraffin: HEATR6 Antibody [NBP1-90877]
Immunohistochemistry-Paraffin: HEATR6 Antibody [NBP1-90877] - Staining of human placenta shows strong cytoplasmic and membranous positivity in trophoblastic cells.Immunohistochemistry: HEATR6 Antibody - BSA Free [NBP1-90877]
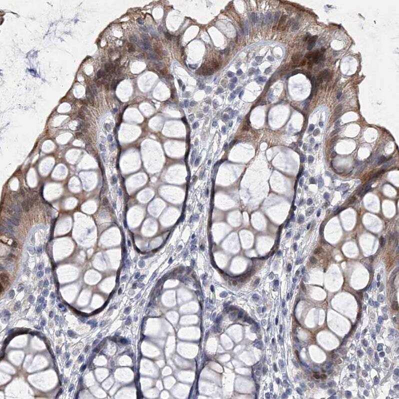
Staining of human rectum shows strong cytoplasmic positivity in glandular cells.Applications for HEATR6 Antibody - BSA Free
Application
Recommended Usage
Immunohistochemistry
1:200 - 1:500
Immunohistochemistry-Paraffin
1:200 - 1:500
Western Blot
0.04-0.4 ug/ml
Application Notes
For IHC-Paraffin, HIER pH 6 retrieval is recommended.
Formulation, Preparation, and Storage
Purification
Affinity purified
Formulation
PBS (pH 7.2) and 40% Glycerol
Format
BSA Free
Preservative
0.02% Sodium Azide
Concentration
Concentrations vary lot to lot. See vial label for concentration. If unlisted please contact technical services.
Shipping
The product is shipped with polar packs. Upon receipt, store it immediately at the temperature recommended below.
Stability & Storage
Store at 4C short term. Aliquot and store at -20C long term. Avoid freeze-thaw cycles.
Background: HEATR6
Alternate Names
ABC1, amplified in breast cancer 1, amplified in breast cancer protein 1, DKFZp686D22141, FLJ22087, HEAT repeat containing 6, HEAT repeat-containing protein 6, MGC148096
Gene Symbol
HEATR6
Additional HEATR6 Products
Product Documents for HEATR6 Antibody - BSA Free
Product Specific Notices for HEATR6 Antibody - BSA Free
This product is for research use only and is not approved for use in humans or in clinical diagnosis. Primary Antibodies are guaranteed for 1 year from date of receipt.
Loading...
Loading...
Loading...
Loading...