Skip to main content

HE4/WFDC2 Antibody (OTI1E12)

Novus Biologicals, part of Bio-Techne | Catalog # NBP2-46360

Novus Biologicals, part of Bio-Techne
Catalog #
Availability
Size / Price
Qty
Loading...
NBP2-46360

Key Product Details

Species Reactivity

Human

Applications

Immunohistochemistry, Immunohistochemistry-Paraffin, Western Blot

Label

Unconjugated

Antibody Source

Monoclonal Mouse IgG1 Clone # OTI1E12

Concentration

1 mg/ml

Product Specifications

Immunogen

Human recombinant protein fragment corresponding to amino acids 31-124 of human WFDC2 (NP_006094) produced in E.coli.

Clonality

Monoclonal

Host

Mouse

Isotype

IgG1

Theoretical MW

10 kDa.
Disclaimer note: The observed molecular weight of the protein may vary from the listed predicted molecular weight due to post translational modifications, post translation cleavages, relative charges, and other experimental factors.

Scientific Data Images for HE4/WFDC2 Antibody (OTI1E12)

Western Blot: HE4/WFDC2 Antibody (OTI1E12) [NBP2-46360]

Western Blot: HE4/WFDC2 Antibody (OTI1E12) [NBP2-46360]

Western Blot: HE4/WFDC2 Antibody (1E12) [NBP2-46360] - Analysis of HEK293T cells were transfected with the pCMV6-ENTRY control (Left lane) or pCMV6-ENTRY WFDC2.
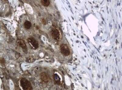
Immunohistochemistry: HE4/WFDC2 Antibody (OTI1E12) [NBP2-46360]

Immunohistochemistry: HE4/WFDC2 Antibody (OTI1E12) [NBP2-46360]

Immunohistochemistry: HE4/WFDC2 Antibody (1E12) [NBP2-46360] - Analysis of Adenocarcinoma of Human breast tissue. (Heat-induced epitope retrieval by 10mM citric buffer, pH6.0, 120C for 3min)
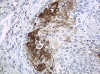
Immunohistochemistry: HE4/WFDC2 Antibody (OTI1E12) [NBP2-46360]

Immunohistochemistry: HE4/WFDC2 Antibody (OTI1E12) [NBP2-46360]

Immunohistochemistry: HE4/WFDC2 Antibody (1E12) [NBP2-46360] - Analysis of Carcinoma of Human lung tissue.(Heat-induced epitope retrieval by 10mM citric buffer, pH6.0, 120C for 3min)

Applications for HE4/WFDC2 Antibody (OTI1E12)

Application
Recommended Usage

Immunohistochemistry

1:150

Western Blot

1:2000

Formulation, Preparation, and Storage

Purification

Immunogen affinity purified

Formulation

PBS (pH 7.3), 1.0% BSA and 50% Glycerol

Preservative

0.02% Sodium Azide

Concentration

1 mg/ml

Shipping

The product is shipped with polar packs. Upon receipt, store it immediately at the temperature recommended below.

Stability & Storage

Store at -20C. Avoid freeze-thaw cycles.

Background: HE4/WFDC2

The HE4 gene encodes a protein that is a member of the WFDC domain family. The WFDC domain, or WAP Signature motif, contains eight cysteines forming four disulfide bonds at the core of the protein, and functions as a protease inhibitor in many family members

Long Name

WAP Four-disulfide Core Domain protein 2

Alternate Names

EDDM4, WAP5, WFDC2

Gene Symbol

WFDC2

Additional HE4/WFDC2 Products

Product Documents for HE4/WFDC2 Antibody (OTI1E12)

Certificate of Analysis

To download a Certificate of Analysis, please enter a lot number in the search box below.

Product Specific Notices for HE4/WFDC2 Antibody (OTI1E12)

This product is for research use only and is not approved for use in humans or in clinical diagnosis. Primary Antibodies are guaranteed for 1 year from date of receipt.

Loading...
Loading...
Loading...
Loading...
Loading...