Skip to main content

HE4/WFDC2 Antibody (CL12917) - Azide and BSA Free

Novus Biologicals, part of Bio-Techne | Catalog # NBP3-44175

Novus Biologicals, part of Bio-Techne

Key Product Details

Validated by

Orthogonal Validation

Species Reactivity

Human

Applications

Immunohistochemistry-Paraffin

Label

Unconjugated

Antibody Source

Monoclonal Mouse IgG1 Clone # CL12917

Format

Azide and BSA Free

Concentration

LYOPH mg/ml

Product Specifications

Immunogen

This antibody was generated using a recombinant protein sequence of Q14508, with the exact immunogen sequence remaining proprietary.

Clonality

Monoclonal

Host

Mouse

Isotype

IgG1

Description

Novus Biologicals Mouse HE4/WFDC2 Antibody (CL12917) - Azide and BSA Free (NBP3-18549) is a monoclonal antibody validated for use in IHC. All Novus Biologicals antibodies are covered by our 100% guarantee.

Scientific Data Images for HE4/WFDC2 Antibody (CL12917) - Azide and BSA Free

HE4/WFDC2 Antibody (CL12917) - Azide and BSA Free Immunohistochemistry-Paraffin: HE4/WFDC2 Antibody [NBP3-44175]

Immunohistochemistry-Paraffin: HE4/WFDC2 Antibody [NBP3-44175]

Analysis in human salivary gland and tonsil tissues using NBP3-44175 antibody. Corresponding HE4/WFDC2 RNA-seq data are presented for the same tissues.
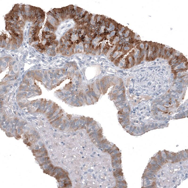
HE4/WFDC2 Antibody (CL12917) - Azide and BSA Free Immunohistochemistry-Paraffin: HE4/WFDC2 Antibody [NBP3-44175]

Immunohistochemistry-Paraffin: HE4/WFDC2 Antibody [NBP3-44175]

Staining of human fallopian tube shows strong cytoplasmic positivity in glandular cells.
HE4/WFDC2 Antibody (CL12917) - Azide and BSA Free Immunohistochemistry-Paraffin: HE4/WFDC2 Antibody [NBP3-44175]

Immunohistochemistry-Paraffin: HE4/WFDC2 Antibody [NBP3-44175]

Staining of human kidney shows strong cytoplasmic positivity in a subset cells in tubules.

Applications for HE4/WFDC2 Antibody (CL12917) - Azide and BSA Free

Application
Recommended Usage

Immunohistochemistry-Paraffin

1:20 - 1:50
Application Notes
For use with IHC-Paraffin, HIER pH 6 retrieval is recommended.

Formulation, Preparation, and Storage

Purification

Protein A purified

Reconstitution

Centrifuge the vial of lyophilized antibody at 12,000 x g for 20 seconds. Reconstitute by adding sterile, distilled water to achieve a final antibody concentration of 1mg/ml.

Formulation

Lyophilized from a 0.2 um filtered solution in PBS with Trehalose

Format

Azide and BSA Free

Preservative

No Preservative

Concentration

LYOPH mg/ml

Shipping

The product is shipped at ambient temperature. Upon receipt, store it immediately at the temperature recommended below.

Stability & Storage

Store at 4C short term. Aliquot and store at -20C long term. Avoid freeze-thaw cycles.

Background: HE4/WFDC2

The HE4 gene encodes a protein that is a member of the WFDC domain family. The WFDC domain, or WAP Signature motif, contains eight cysteines forming four disulfide bonds at the core of the protein, and functions as a protease inhibitor in many family members

Long Name

WAP Four-disulfide Core Domain protein 2

Alternate Names

EDDM4, WAP5, WFDC2

Gene Symbol

WFDC2

Additional HE4/WFDC2 Products

Product Documents for HE4/WFDC2 Antibody (CL12917) - Azide and BSA Free

Certificate of Analysis

To download a Certificate of Analysis, please enter a lot number in the search box below.

Product Specific Notices for HE4/WFDC2 Antibody (CL12917) - Azide and BSA Free

This product is for research use only and is not approved for use in humans or in clinical diagnosis. Primary Antibodies are guaranteed for 1 year from date of receipt.

Loading...
Loading...
Loading...
Loading...
Loading...
Loading...