Skip to main content

HDAC5 [p Ser498] Antibody - BSA Free

Novus Biologicals, part of Bio-Techne | Catalog # NB100-81953

Novus Biologicals, part of Bio-Techne
Catalog #
Availability
Size / Price
Qty
Loading...
NB100-81953
NB100-81953-0.025ml

Key Product Details

Validated by

Biological Validation

Species Reactivity

Human, Mouse

Applications

Immunohistochemistry, Immunohistochemistry-Paraffin, Western Blot

Label

Unconjugated

Antibody Source

Polyclonal Rabbit IgG

Format

BSA Free

Concentration

1.0 mg/ml

Product Specifications

Immunogen

The antiserum was produced against synthesized phosphopeptide derived from human HDAC5 around the phosphorylation site of serine 498 (T-Q-SP-S-P).

Modification

p Ser498

Specificity

Detects endogenous levels of HDAC5 only when phosphorylated at serine 498.

Clonality

Polyclonal

Host

Rabbit

Isotype

IgG

Theoretical MW

122 kDa.
Disclaimer note: The observed molecular weight of the protein may vary from the listed predicted molecular weight due to post translational modifications, post translation cleavages, relative charges, and other experimental factors.

Scientific Data Images for HDAC5 [p Ser498] Antibody - BSA Free

Western Blot: HDAC5 [p Ser498] Antibody [NB100-81953]

Western Blot: HDAC5 [p Ser498] Antibody [NB100-81953]

Western Blot: HDAC5 [p Ser498] Antibody [NB100-81953] - Analysis of extracts from 293 cells untreated or treated with serum starvation using HDAC5 (Phospho-Ser498) antibody
HDAC5 [p Ser498] Antibody - BSA Free

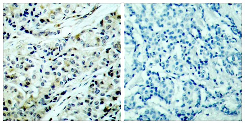
Immunohistochemistry-Paraffin: HDAC5 [p Ser498] Antibody [NB100-81953] -

Immunohistochemistry-Paraffin: HDAC5 [p Ser498] Antibody [NB100-81953] - Analysis of paraffin-embedded human breast carcinoma tissue, using NB100-81953 incubated with blocking peptide(right).

Applications for HDAC5 [p Ser498] Antibody - BSA Free

Application
Recommended Usage

Immunohistochemistry

1:50-1:100

Western Blot

1:500-1:1000

Formulation, Preparation, and Storage

Purification

Immunogen affinity purified

Formulation

PBS (without Mg2+ and Ca2+), pH 7.4, 150 mM NaCl, 50% glycerol

Format

BSA Free

Preservative

0.02% Sodium Azide

Concentration

1.0 mg/ml

Shipping

The product is shipped with polar packs. Upon receipt, store it immediately at the temperature recommended below.

Stability & Storage

Store at 4C short term. Aliquot and store at -20C long term. Avoid freeze-thaw cycles.

Background: Histone Deacetylase 5/HDAC5

HDAC5 is a member of the class II mammalian histone deacetylase family, which is structurally related to yeast HDA1. Human HDAC5 is composed of 1122 amino acid residues. The deacetylase domain of HDAC5 is located at the C-terminal half of the molecule. The N-terminal non-deacetylase domain does not show any significant homology with any published sequence.Both domains are required for HDAC5-mediated repression of gene transcription. HDAC5 interacts with a growing number of transcriptional factors including MEF2A as well as other HDAC proteins. The interacting complexes bind to specific regions of chromatin and regulate gene transcription in these regions.

Long Name

Histone Deacetylase 5

Alternate Names

FLJ90614, KIAA0600, NY-CO-9

Entrez Gene IDs

10014 (Human); 15184 (Mouse); 84580 (Rat)

Gene Symbol

HDAC5

UniProt

Additional Histone Deacetylase 5/HDAC5 Products

Product Documents for HDAC5 [p Ser498] Antibody - BSA Free

Certificate of Analysis

To download a Certificate of Analysis, please enter a lot number in the search box below.

Product Specific Notices for HDAC5 [p Ser498] Antibody - BSA Free

This product is for research use only and is not approved for use in humans or in clinical diagnosis. Primary Antibodies are guaranteed for 1 year from date of receipt.

Loading...
Loading...
Loading...
Loading...