Skip to main content

HCN2 Antibody (S71-37) - BSA Free

Novus Biologicals, part of Bio-Techne | Catalog # NBP2-12895

Novus Biologicals, part of Bio-Techne

Key Product Details

Species Reactivity

Human, Mouse, Rat

Applications

Immunohistochemistry, Immunohistochemistry-Frozen, Western Blot, Immunocytochemistry/ Immunofluorescence, Immunoprecipitation, Microarray

Label

Unconjugated

Antibody Source

Monoclonal Mouse IgG1 Clone # S71-37

Format

BSA Free

Concentration

1 mg/ml

Product Specifications

Immunogen

Fusion protein amino acids 761-863 of rat HCN2

Localization

Membrane

Specificity

Detects approx 95kDa. No cross-reactivity against HCN1.

Clonality

Monoclonal

Host

Mouse

Isotype

IgG1

Scientific Data Images for HCN2 Antibody (S71-37) - BSA Free

Western Blot: HCN2 Antibody (S71-37) [NBP2-12895]

Western Blot: HCN2 Antibody (S71-37) [NBP2-12895]

Western Blot: HCN2 Antibody (S71-37) [NBP2-12895] - Western Blot analysis of Mouse Brain showing detection of ~95 kDa HCN2 protein using Mouse Anti-HCN2 Monoclonal Antibody, Clone S71 (NBP2-12895). Lane 1: MW Ladder. Lane 2: Mouse Brain (15 ug). Load: 15 ug. Block: 5% Skim Milk powder in TBST. Primary Antibody: Mouse Anti-HCN2 Monoclonal Antibody (NBP2-12895) at 1:1000 for 2 hours at RT with shaking. Secondary Antibody: Goat anti-mouse IgG:HRP at 1:4000 for 1 hour at RT with shaking. Color Development: Chemiluminescent for HRP (Moss) for 5 min in RT. Predicted/Observed Size: ~95 kDa.
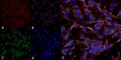
Immunocytochemistry/ Immunofluorescence: HCN2 Antibody (S71-37) [NBP2-12895]

Immunocytochemistry/ Immunofluorescence: HCN2 Antibody (S71-37) [NBP2-12895]

Immunocytochemistry/Immunofluorescence: HCN2 Antibody (S71-37) [NBP2-12895] - Immunocytochemistry/Immunofluorescence analysis using Mouse Anti-HCN2 Monoclonal Antibody, Clone S71 (NBP2-12895). Tissue: Neuroblastoma cells (SH-SY5Y). Species: Human. Fixation: 4% PFA for 15 min. Primary Antibody: Mouse Anti-HCN2 Monoclonal Antibody (NBP2-12895) at 1:50 for overnight at 4C with slow rocking. Secondary Antibody: AlexaFluor 488 at 1:1000 for 1 hour at RT. Counterstain: Phalloidin-iFluor 647 (red) F-Actin stain; Hoechst (blue) nuclear stain at 1:800, 1.6mM for 20 min at RT. (A) Hoechst (blue) nuclear stain. (B) Phalloidin-iFluor 647 (red) F-Actin stain. (C) HCN2 Antibody (D) Composite.
Immunohistochemistry: HCN2 Antibody (S71-37) [NBP2-12895]

Immunohistochemistry: HCN2 Antibody (S71-37) [NBP2-12895]

Immunohistochemistry: HCN2 Antibody (S71-37) [NBP2-12895] - Immunohistochemistry analysis using Mouse Anti-HCN2 Monoclonal Antibody, Clone S71 (NBP2-12895). Tissue: hippocampus. Species: Human. Fixation: Bouin's Fixative and paraffin-embedded. Primary Antibody: Mouse Anti-HCN2 Monoclonal Antibody (NBP2-12895) at 1:100 for 1 hour at RT. Secondary Antibody: FITC Goat Anti-Mouse (green) at 1:50 for 1 hour at RT.

Applications for HCN2 Antibody (S71-37) - BSA Free

Application
Recommended Usage

Immunocytochemistry/ Immunofluorescence

1:100

Immunohistochemistry

1:1000

Immunohistochemistry-Frozen

1:10-1:500

Western Blot

1:1000
Application Notes
1 ug/ml of HCN2 Antibody was sufficient for detection of HCN2 in 10 ug of rat brain lysate by colorimetric immunoblot analysis using Goat anti-mouse IgG:HRP as the secondary Antibody.

Formulation, Preparation, and Storage

Purification

Protein G purified

Formulation

PBS (pH 7.4), 50% Glycerol

Format

BSA Free

Preservative

0.09% Sodium Azide

Concentration

1 mg/ml

Shipping

The product is shipped with polar packs. Upon receipt, store it immediately at the temperature recommended below.

Stability & Storage

Store at 4C short term. Aliquot and store at -20C long term. Avoid freeze-thaw cycles.

Background: HCN2

1 ug/mL was sufficient for detection of HCN2 in 10ug of rat brain lysate by colorimetric immunoblot analysis using Goat anti-mouse IgG: HRP as the secondary antibody.

Long Name

Potassium/sodium hyperpolarization-activated cyclic nucleotide-gated channel 2

Alternate Names

BCNG-2, BCNG2, EIG17, GEFSP11, HAC-1

Gene Symbol

HCN2

Additional HCN2 Products

Product Documents for HCN2 Antibody (S71-37) - BSA Free

Certificate of Analysis

To download a Certificate of Analysis, please enter a lot number in the search box below.

Product Specific Notices for HCN2 Antibody (S71-37) - BSA Free

This product is for research use only and is not approved for use in humans or in clinical diagnosis. Primary Antibodies are guaranteed for 1 year from date of receipt.

Loading...
Loading...
Loading...
Loading...