Skip to main content

HCN1 Antibody (S70) - BSA Free

Novus Biologicals, part of Bio-Techne | Catalog # NBP1-22450

Novus Biologicals, part of Bio-Techne

Key Product Details

Species Reactivity

Human, Mouse, Rat

Applications

Immunohistochemistry, Immunohistochemistry-Paraffin, Immunohistochemistry-Frozen, Western Blot, Immunocytochemistry/ Immunofluorescence, Immunoprecipitation, Microarray

Label

Unconjugated

Antibody Source

Monoclonal Mouse IgG1 Clone # S70

Format

BSA Free

Concentration

1 mg/ml

Product Specifications

Immunogen

Fusion protein amino acids 778-910 (C terminus) of rat HCN1

Localization

Membrane

Specificity

Detects approx. 100 kDa. No cross-reactivity against HCN2.

Clonality

Monoclonal

Host

Mouse

Isotype

IgG1

Description

Novus Biologicals Mouse HCN1 Antibody (S70) - BSA Free (NBP1-22450) is a monoclonal antibody validated for use in IHC, WB, ICC/IF and IP. Anti-HCN1 Antibody: Cited in 1 publication. All Novus Biologicals antibodies are covered by our 100% guarantee.

Scientific Data Images for HCN1 Antibody (S70) - BSA Free

Western Blot: HCN1 Antibody (S70) [NBP1-22450]

Western Blot: HCN1 Antibody (S70) [NBP1-22450]

Western Blot: HCN1 Antibody (S70) [NBP1-22450] - Western Blot analysis of Rat brain membrane lysate showing detection of HCN1 protein using Mouse Anti-HCN1 Monoclonal Antibody, Clone S70 (NBP1-22450). Load: 15 ug. Block: 1.5% BSA for 30 minutes at RT. Primary Antibody: Mouse Anti-HCN1 Monoclonal Antibody (NBP1-22450) at 1:1000 for 2 hours at RT. Secondary Antibody: Sheep Anti-Mouse IgG: HRP for 1 hour at RT.
Immunohistochemistry: HCN1 Antibody (S70) [NBP1-22450]

Immunohistochemistry: HCN1 Antibody (S70) [NBP1-22450]

Immunohistochemistry: HCN1 Antibody (S70) [NBP1-22450] - Immunohistochemistry analysis using Mouse Anti-HCN1 Monoclonal Antibody, Clone S70 (NBP1-22450). Tissue: Frozen brain section. Species: Mouse. Fixation: 10% Formalin Solution for 12-24 hours at RT. Primary Antibody: Mouse Anti-HCN1 Monoclonal Antibody (NBP1-22450) at 1:1000 for 1 hour at RT. Secondary Antibody: HRP/DAB Detection System: Biotinylated Goat Anti-Mouse, Streptavidin Peroxidase, DAB Chromogen (brown) for 30 minutes at RT. Counterstain: Mayer Hematoxylin (purple/blue) nuclear stain at 250-500 l for 5 minutes at RT. Localization: Neurons.
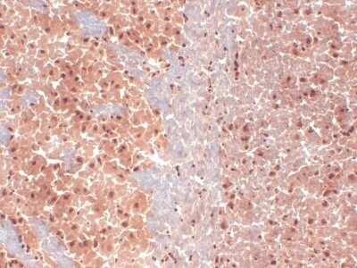
Immunohistochemistry: HCN1 Antibody (S70) [NBP1-22450]

Immunohistochemistry: HCN1 Antibody (S70) [NBP1-22450]

Immunohistochemistry: HCN1 Antibody (S70) [NBP1-22450] - Human Hippocampus

Applications for HCN1 Antibody (S70) - BSA Free

Application
Recommended Usage

Immunocytochemistry/ Immunofluorescence

1:100

Immunohistochemistry

1:1000

Western Blot

1:1000
Application Notes
1 ug/mL of HCN1 Antibody was sufficient for detection of HCN1 in 10 ug of rat brain lysate by colorimetric immunoblot analysis using Goat anti-mouse IgG:HRP as the secondary Antibody.

Formulation, Preparation, and Storage

Purification

Protein G purified

Formulation

PBS (pH 7.4), 50% Glycerol

Format

BSA Free

Preservative

0.09% Sodium Azide

Concentration

1 mg/ml

Shipping

The product is shipped with polar packs. Upon receipt, store it immediately at the temperature recommended below.

Stability & Storage

Store at 4C short term. Aliquot and store at -20C long term. Avoid freeze-thaw cycles.

Background: HCN1

Ion channels are integral membrane proteins that help establish and control the small voltage gradient across the plasma membrane of living cells by allowing the flow of ions down their electrochemical gradient (1). They are present in the membranes that surround all biological cells because their main function is to regulate the flow of ions across this membrane. Whereas some ion channels permit the passage of ions based on charge, others conduct based on a ionic species, such as sodium or potassium. Furthermore, in some ion channels, the passage is governed by a gate which is controlled by chemical or electrical signals, temperature, or mechanical forces. There are a few main classifications of gated ion channels. There are voltage- gated ion channels, ligand- gated, other gating systems and finally those that are classified differently, having more exotic characteristics. The first are voltage- gated ion channels which open and close in response to membrane potential. These are then separated into sodium, calcium, potassium, proton, transient receptor, and cyclic nucleotide-gated channels; each of which is responsible for a unique role. Ligand-gated ion channels are also known as ionotropic receptors, and they open in response to specific ligand molecules binding to the extracellular domain of the receptor protein. The other gated classifications include activation and inactivation by second messengers, inward-rectifier potassium channels, calcium-activated potassium channels, two-pore-domain potassium channels, light-gated channels, mechano-sensitive ion channels and cyclic nucleotide-gated channels. Finally, the other classifications are based on less normal characteristics such as two-pore channels, and transient receptor potential channels (2). Specifically, hyperpolarization-activated cation channels of the HCN gene family, such as HCN1, play a crucial role in the regulations of cell excitability. Importantly, they contribute to spontaneous rhythmic activity in both the heart and brain (3).

Long Name

Potassium/sodium hyperpolarization-activated cyclic nucleotide-gated channel 1

Alternate Names

BCNG-1, BCNG1, EIEE24, GEFSP10, HAC-2

Entrez Gene IDs

348980 (Human)

Gene Symbol

HCN1

Additional HCN1 Products

Product Documents for HCN1 Antibody (S70) - BSA Free

Certificate of Analysis

To download a Certificate of Analysis, please enter a lot number in the search box below.

Product Specific Notices for HCN1 Antibody (S70) - BSA Free

This product is for research use only and is not approved for use in humans or in clinical diagnosis. Primary Antibodies are guaranteed for 1 year from date of receipt.

Loading...
Loading...
Loading...
Loading...