Skip to main content

HCAP-G Antibody - BSA Free

Novus Biologicals, part of Bio-Techne | Catalog # NBP3-47378

Novus Biologicals, part of Bio-Techne
Catalog #
Availability
Size / Price
Qty
Loading...
NBP3-47378

Key Product Details

Species Reactivity

Human

Applications

ELISA, Immunocytochemistry/ Immunofluorescence, Immunohistochemistry, Western Blot

Label

Unconjugated

Antibody Source

Polyclonal Rabbit IgG

Format

BSA Free

Concentration

Please see the vial label for concentration. If unlisted please contact technical services.

Product Specifications

Immunogen

non-SMC condensin I complex, subunit G. (Uniprot# Q9BPX3)

Clonality

Polyclonal

Host

Rabbit

Isotype

IgG

Theoretical MW

131 kDa.
Disclaimer note: The observed molecular weight of the protein may vary from the listed predicted molecular weight due to post translational modifications, post translation cleavages, relative charges, and other experimental factors.

Description

Novus Biologicals Rabbit HCAP-G Antibody - BSA Free (NBP3-47378) is a polyclonal antibody validated for use in IHC, WB, ELISA and ICC/IF. All Novus Biologicals antibodies are covered by our 100% guarantee.

Scientific Data Images for HCAP-G Antibody - BSA Free

HCAP-G Antibody - BSA Free

Western Blot: HCAP-G Antibody - BSA Free [NBP3-47378] -

Western Blot: HCAP-G Antibody - BSA Free [NBP3-47378] - HEK-293 cells were subjected to SDS PAGE followed by western blot with (HCAP-G Antibody) at dilution of 1:1500
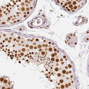
HCAP-G Antibody - BSA Free

Immunohistochemistry: HCAP-G Antibody - BSA Free [NBP3-47378] -

Immunohistochemistry: HCAP-G Antibody - BSA Free [NBP3-47378] - Immunohistochemistry of paraffin-embedded human testis tissue slide using (HCAP-G Antibody) at dilution of 1:50

Applications for HCAP-G Antibody - BSA Free

Application
Recommended Usage

Immunocytochemistry/ Immunofluorescence

1:20-1:200

Immunohistochemistry

1:20-1:200

Western Blot

1:500-1:2000

Formulation, Preparation, and Storage

Purification

Immunogen affinity purified

Formulation

PBS, 50% Glycerol, pH (7.3)

Format

BSA Free

Preservative

0.02% Sodium Azide

Concentration

Please see the vial label for concentration. If unlisted please contact technical services.

Shipping

The product is shipped with polar packs. Upon receipt, store it immediately at the temperature recommended below.

Stability & Storage

Store at -20C. Avoid freeze-thaw cycles.

Background: HCAP-G

Regulatory subunit of the condensin complex, a complex required for conversion of interphase chromatin intomitotic-like condense chromosomes. The condensin complex probably introduces positive supercoils into relaxed DNA inthe presence of type I topoisomerases and converts nicked DNA into positive knotted forms in the presence of type IItopoisomerases

Alternate Names

CAP-G, CAPGHCAP-G, CHCG, chromosome condensation protein G, Chromosome-associated protein G, condensin complex subunit 3, Condensin subunit CAP-G, FLJ12450, hCAP-G, Melanoma antigen NY-MEL-3, MGC126525, Non-SMC condensin I complex subunit G, non-SMC condensin I complex, subunit G, NYMEL3, NY-MEL-3, XCAP-G homolog

Gene Symbol

NCAPG

Additional HCAP-G Products

Product Documents for HCAP-G Antibody - BSA Free

Certificate of Analysis

To download a Certificate of Analysis, please enter a lot number in the search box below.

Product Specific Notices for HCAP-G Antibody - BSA Free

This product is for research use only and is not approved for use in humans or in clinical diagnosis. Primary Antibodies are guaranteed for 1 year from date of receipt.

Loading...
Loading...
Loading...
Loading...