Skip to main content

HCAP-G Antibody - BSA Free

Novus Biologicals, part of Bio-Techne | Catalog # NBP1-88199

Novus Biologicals, part of Bio-Techne
Catalog #
Availability
Size / Price
Qty
Loading...
NBP1-88199
NBP1-88199-25ul

Key Product Details

Species Reactivity

Human

Applications

Immunohistochemistry, Immunohistochemistry-Paraffin

Label

Unconjugated

Antibody Source

Polyclonal Rabbit IgG

Format

BSA Free

Concentration

Concentrations vary lot to lot. See vial label for concentration. If unlisted please contact technical services.

Product Specifications

Immunogen

This antibody was developed against Recombinant Protein corresponding to amino acids: ETLTPEIALYWCALCEYLKSKGDEGEEFLEQILPEPVVYADYLLSYIQSIPVVNEEHRGDFSYIGNLMTKEFIGQQLILIIKSLDT

Reactivity Notes

Immunogen displays the following percentage of sequence identity for non-tested species: Mouse (84%).

Clonality

Polyclonal

Host

Rabbit

Isotype

IgG

Description

Novus Biologicals Rabbit HCAP-G Antibody - BSA Free (NBP1-88199) is a polyclonal antibody validated for use in IHC. All Novus Biologicals antibodies are covered by our 100% guarantee.

Scientific Data Images for HCAP-G Antibody - BSA Free

HCAP-G Antibody - BSA Free Immunohistochemistry-Paraffin: HCAP-G Antibody - BSA Free [NBP1-88199]

Immunohistochemistry-Paraffin: HCAP-G Antibody - BSA Free [NBP1-88199]

Staining of human liver shows low positivity in hepatocytes asexpected.
HCAP-G Antibody - BSA Free Immunohistochemistry-Paraffin: HCAP-G Antibody - BSA Free [NBP1-88199]

Immunohistochemistry-Paraffin: HCAP-G Antibody - BSA Free [NBP1-88199]

Staining of human placenta shows strong cytoplasmic positivity in trophoblastic cells.
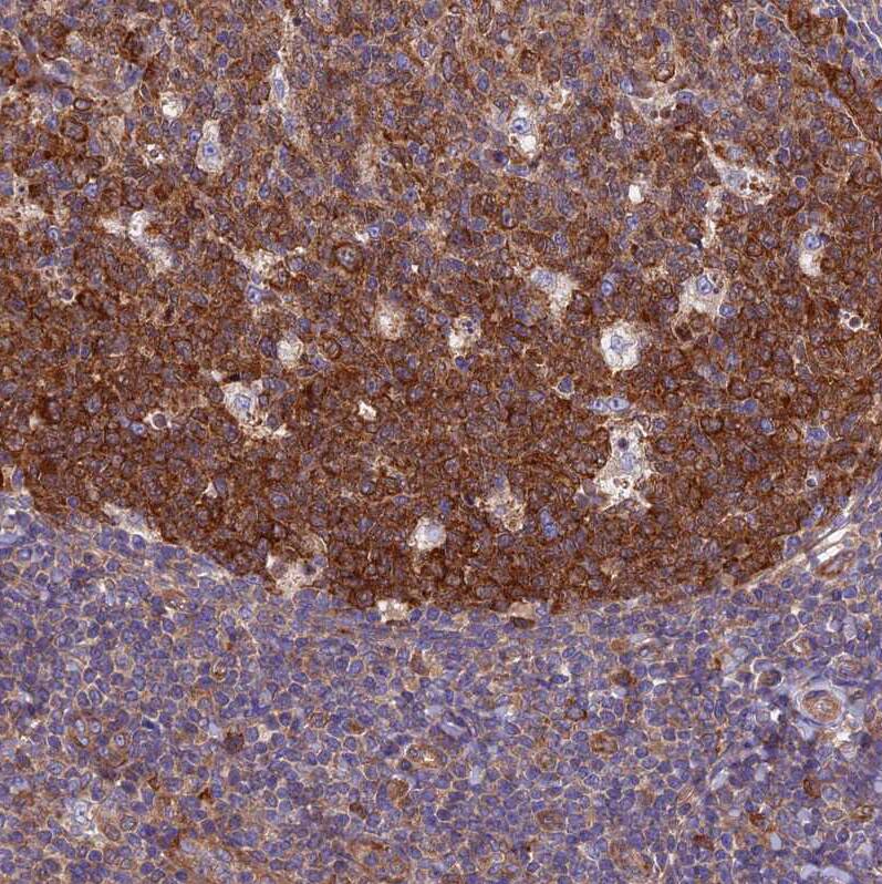
HCAP-G Antibody - BSA Free Immunohistochemistry-Paraffin: HCAP-G Antibody - BSA Free [NBP1-88199]

Immunohistochemistry-Paraffin: HCAP-G Antibody - BSA Free [NBP1-88199]

Staining of human tonsil tisses shows strong cytoplasmic positivity in germinal center cells.

Applications for HCAP-G Antibody - BSA Free

Application
Recommended Usage

Immunohistochemistry

1:50 - 1:200

Immunohistochemistry-Paraffin

1:50 - 1:200
Application Notes
For IHC-Paraffin, HIER pH 6 retrieval is recommended. Immunocytochemistry/Immunofluorescence Fixation Permeabilization: Use PFA/Triton X-100.

Formulation, Preparation, and Storage

Purification

Immunogen affinity purified

Formulation

PBS (pH 7.2) and 40% Glycerol

Format

BSA Free

Preservative

0.02% Sodium Azide

Concentration

Concentrations vary lot to lot. See vial label for concentration. If unlisted please contact technical services.

Shipping

The product is shipped with polar packs. Upon receipt, store it immediately at the temperature recommended below.

Stability & Storage

Store at 4C short term. Aliquot and store at -20C long term. Avoid freeze-thaw cycles.

Background: HCAP-G

Regulatory subunit of the condensin complex, a complex required for conversion of interphase chromatin intomitotic-like condense chromosomes. The condensin complex probably introduces positive supercoils into relaxed DNA inthe presence of type I topoisomerases and converts nicked DNA into positive knotted forms in the presence of type IItopoisomerases

Alternate Names

CAP-G, CAPGHCAP-G, CHCG, chromosome condensation protein G, Chromosome-associated protein G, condensin complex subunit 3, Condensin subunit CAP-G, FLJ12450, hCAP-G, Melanoma antigen NY-MEL-3, MGC126525, Non-SMC condensin I complex subunit G, non-SMC condensin I complex, subunit G, NYMEL3, NY-MEL-3, XCAP-G homolog

Gene Symbol

NCAPG

Additional HCAP-G Products

Product Documents for HCAP-G Antibody - BSA Free

Certificate of Analysis

To download a Certificate of Analysis, please enter a lot number in the search box below.

Product Specific Notices for HCAP-G Antibody - BSA Free

This product is for research use only and is not approved for use in humans or in clinical diagnosis. Primary Antibodies are guaranteed for 1 year from date of receipt.

Loading...
Loading...
Loading...
Loading...