Skip to main content

HADH Antibody (4B5) - Azide and BSA Free

Novus Biologicals, part of Bio-Techne | Catalog # H00003033-M01

Novus Biologicals, part of Bio-Techne
Catalog #
Availability
Size / Price
Qty
Loading...
H00003033-M01

Key Product Details

Species Reactivity

Human

Applications

Immunohistochemistry, Immunohistochemistry-Paraffin, Western Blot, ELISA, Immunocytochemistry/ Immunofluorescence, Immunoprecipitation

Label

Unconjugated

Antibody Source

Monoclonal Mouse IgG2b Kappa Clone # 4B5

Format

Azide and BSA Free

Concentration

Concentrations vary lot to lot. See vial label for concentration. If unlisted please contact technical services.

Product Specifications

Immunogen

HADHSC (NP_005318, 205 a.a. ~ 314 a.a) partial recombinant protein with GST tag. MW of the GST tag alone is 26 KDa. GKHPVSCKDTPGFIVNRLLVPYLMEAIRLYERGDASKEDIDTAMKLGAGYPMGPFELLDYVGLDTTKFIVDGWHEMDAENPLHQPSPSLNKLVAENKFGKKTGEGFYKYK

Localization

Mitochondrial; mitochondrial matrix.

Specificity

HADHSC - L-3-hydroxyacyl-Coenzyme A dehydrogenase, short chain

Clonality

Monoclonal

Host

Mouse

Isotype

IgG2b Kappa

Description

Quality control test: Antibody Reactive Against Recombinant Protein.

Scientific Data Images for HADH Antibody (4B5) - Azide and BSA Free

Western Blot: HADH Antibody (4B5) [H00003033-M01]

Western Blot: HADH Antibody (4B5) [H00003033-M01]

Western Blot: HADH Antibody (4B5) [H00003033-M01] - Analysis of HADH expression in transfected 293T cell line by HADHSC monoclonal antibody (M01), clone 4B5.Lane 1: HADH transfected lysate(34.3 KDa).Lane 2: Non-transfected lysate.
Immunocytochemistry/ Immunofluorescence: HADH Antibody (4B5) [H00003033-M01]

Immunocytochemistry/ Immunofluorescence: HADH Antibody (4B5) [H00003033-M01]

Immunocytochemistry/Immunofluorescence: HADH Antibody (4B5) [H00003033-M01] - Analysis of monoclonal antibody to HADHSC on HeLa cell. Antibody concentration 10 ug/ml.
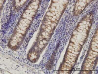
Immunohistochemistry-Paraffin: HADH Antibody (4B5) [H00003033-M01]

Immunohistochemistry-Paraffin: HADH Antibody (4B5) [H00003033-M01]

Immunohistochemistry-Paraffin: HADH Antibody (4B5) [H00003033-M01] - Analysis of monoclonal antibody to HADHSC on formalin-fixed paraffin-embedded human colon. Antibody concentration 3 ug/ml.

Applications for HADH Antibody (4B5) - Azide and BSA Free

Application
Recommended Usage

Western Blot

1:500
Application Notes
Antibody reactivity against cell lysate and recombinant protein for WB. It has also been used for IF, IHC-P and ELISA.

Formulation, Preparation, and Storage

Purification

IgG purified

Formulation

In 1x PBS, pH 7.4

Format

Azide and BSA Free

Preservative

No Preservative

Concentration

Concentrations vary lot to lot. See vial label for concentration. If unlisted please contact technical services.

Shipping

The product is shipped with polar packs. Upon receipt, store it immediately at the temperature recommended below.

Stability & Storage

Aliquot and store at -20C or -80C. Avoid freeze-thaw cycles.

Background: HADH

This gene is a member of the 3-hydroxyacyl-CoA dehydrogenase gene family. The encoded protein functions in the mitochondrial matrix to catalyze the oxidation of straight-chain 3-hydroxyacyl-CoAs as part of the beta-oxidation pathway. Its enzymatic activity is highest with medium-chain-length fatty acids. Mutations in this gene cause one form of familial hyperinsulinemic hypoglycemia. The human genome contains a related pseudogene.

Alternate Names

EC 1.1.1, EC 1.1.1.35, HADH1, HADHSChydroxyacyl-Coenzyme A dehydrogenase, HCDH, hydroxyacyl-CoA dehydrogenase, L-3-hydroxyacyl-Coenzyme A dehydrogenase, short chain, Medium and short-chain L-3-hydroxyacyl-coenzyme A dehydrogenase, MGC8392, mitochondrial, MSCHAD, SCHADHHF4

Entrez Gene IDs

3033 (Human)

Gene Symbol

HADH

OMIM

601609 (Human)

Additional HADH Products

Product Documents for HADH Antibody (4B5) - Azide and BSA Free

Certificate of Analysis

To download a Certificate of Analysis, please enter a lot number in the search box below.

Product Specific Notices for HADH Antibody (4B5) - Azide and BSA Free

This product is produced by and distributed for Abnova, a company based in Taiwan.

This product is for research use only and is not approved for use in humans or in clinical diagnosis. Primary Antibodies are guaranteed for 1 year from date of receipt.

Loading...
Loading...
Loading...
Loading...