Skip to main content

GSPT2 Antibody (OTI2G9) - Azide and BSA Free

Novus Biologicals, part of Bio-Techne | Catalog # NBP2-71768

Novus Biologicals, part of Bio-Techne
Catalog #
Availability
Size / Price
Qty
Loading...
NBP2-71768

Key Product Details

Species Reactivity

Human, Mouse, Rat

Applications

Western Blot, Flow Cytometry, Immunocytochemistry/ Immunofluorescence, CyTOF-ready

Label

Unconjugated

Antibody Source

Monoclonal Mouse IgG1 Clone # OTI2G9

Format

Azide and BSA Free

Concentration

LYOPH mg/ml

Product Specifications

Immunogen

Full length human recombinant protein of human GSPT2 (NP_060564) produced in HEK293T cell.

Reactivity Notes

Please note that this antibody is reactive to Mouse and derived from the same host, Mouse. Mouse-On-Mouse blocking reagent may be needed for IHC and ICC experiments to reduce high background signal. You can find these reagents under catalog numbers PK-2200-NB and MP-2400-NB. Please contact Technical Support if you have any questions.

Clonality

Monoclonal

Host

Mouse

Isotype

IgG1

Theoretical MW

68.7 kDa.
Disclaimer note: The observed molecular weight of the protein may vary from the listed predicted molecular weight due to post translational modifications, post translation cleavages, relative charges, and other experimental factors.

Description

Novus Biologicals Mouse GSPT2 Antibody (OTI2G9) - Azide and BSA Free (NBP2-00873) is a monoclonal antibody validated for use in WB, Flow and ICC/IF. All Novus Biologicals antibodies are covered by our 100% guarantee.

Scientific Data Images for GSPT2 Antibody (OTI2G9) - Azide and BSA Free

Western Blot: GSPT2 Antibody (OTI2G9)Azide and BSA Free [NBP2-71768]

Western Blot: GSPT2 Antibody (OTI2G9)Azide and BSA Free [NBP2-71768]

Western Blot: GSPT2 Antibody (OTI2G9) - Azide and BSA Free [NBP2-71768] - HEK293T cells were transfected with the pCMV6-ENTRY control (Left lane) or pCMV6-ENTRY GSPT2 (Right lane) cDNA for 48 hrs and lysed. Equivalent amounts of cell lysates (5 ug per lane) were separated by SDS-PAGE and immunoblotted with anti-GSPT2.
Immunocytochemistry/ Immunofluorescence: GSPT2 Antibody (OTI2G9) - Azide and BSA Free [NBP2-71768]

Immunocytochemistry/ Immunofluorescence: GSPT2 Antibody (OTI2G9) - Azide and BSA Free [NBP2-71768]

Immunocytochemistry/Immunofluorescence: GSPT2 Antibody (OTI2G9) - Azide and BSA Free [NBP2-71768] - Staining of COS7 cells transiently transfected by pCMV6-ENTRY GSPT2.
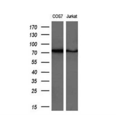
Western Blot: GSPT2 Antibody (OTI2G9)Azide and BSA Free [NBP2-71768]

Western Blot: GSPT2 Antibody (OTI2G9)Azide and BSA Free [NBP2-71768]

Western Blot: GSPT2 Antibody (OTI2G9) - Azide and BSA Free [NBP2-71768] - Analysis of extracts (10ug) from 2 different cell lines by using anti-GSPT2 monoclonal antibody.(1:200)

Applications for GSPT2 Antibody (OTI2G9) - Azide and BSA Free

Application
Recommended Usage

Flow Cytometry

1:100

Immunocytochemistry/ Immunofluorescence

1:100

Western Blot

1:2000

Formulation, Preparation, and Storage

Purification

Immunogen affinity purified

Reconstitution

we recommend adding 100uL distilled water to a final antibody concentration of about 1 mg/mL. To use this carrier-free antibody for conjugation experiment, we strongly recommend performing another round of desalting process.

Formulation

Lyophilized from PBS (pH 7.3) with 8% Trehalose

Format

Azide and BSA Free

Preservative

No Preservative

Concentration

LYOPH mg/ml

Shipping

The product is shipped with polar packs. Upon receipt, store it immediately at the temperature recommended below.

Stability & Storage

Store at -20C. Avoid freeze-thaw cycles.

Background: GSPT2

GSPT2 is closely related to GSPT1 (MIM 139259), a GTP-binding protein that plays an essential role at the G1- to S-phase transition of the cell cycle in yeast and human cells. GSPT1 is a positive regulator of translational accuracy and, in a binary complex with eRF1 (MIM 600285), functions as a polypeptide chain release factor.[supplied by OMIM]

Alternate Names

eRF3b, ERF3BGST2, eukaryotic peptide chain release factor GTP-binding subunit ERF3B, Eukaryotic peptide chain release factor subunit 3b, FLJ10441, G1 to S phase transition 2, G1 to S phase transition protein 2 homolog

Gene Symbol

GSPT2

Additional GSPT2 Products

Product Documents for GSPT2 Antibody (OTI2G9) - Azide and BSA Free

Certificate of Analysis

To download a Certificate of Analysis, please enter a lot number in the search box below.

Product Specific Notices for GSPT2 Antibody (OTI2G9) - Azide and BSA Free

This product is for research use only and is not approved for use in humans or in clinical diagnosis. Primary Antibodies are guaranteed for 1 year from date of receipt.

Loading...
Loading...
Loading...
Loading...
Loading...
Loading...