Skip to main content

GSK-3 beta [p Tyr279, p Tyr216] Antibody - BSA Free

Novus Biologicals, part of Bio-Techne | Catalog # NB100-81946

Novus Biologicals, part of Bio-Techne
Catalog #
Availability
Size / Price
Qty
Loading...
NB100-81946-0.025ml
NB100-81946

Key Product Details

Species Reactivity

Validated:

Human, Mouse, Rat, Mammal

Cited:

Human, Mouse, Mammal

Applications

Validated:

Immunohistochemistry, Immunohistochemistry-Paraffin, Western Blot, Immunocytochemistry/ Immunofluorescence

Cited:

Immunohistochemistry-Paraffin, Western Blot, IF/IHC

Label

Unconjugated

Antibody Source

Polyclonal Rabbit IgG

Format

BSA Free

Concentration

1.0 mg/ml

Product Specifications

Immunogen

The antiserum was produced against synthesized phosphopeptide derived from human GSK-3 beta around the phosphorylation site of tyrosine 279/216 (V-S-YP-I-C).

Reactivity Notes

Use in Mammal reported in scientific literature (PMID:33413691)

Modification

p Tyr216, p Tyr279

Specificity

Detects endogenous levels of GSK-3 beta only when phosphorylated at tyrosine 216/279.

Clonality

Polyclonal

Host

Rabbit

Isotype

IgG

Theoretical MW

46 kDa.
Disclaimer note: The observed molecular weight of the protein may vary from the listed predicted molecular weight due to post translational modifications, post translation cleavages, relative charges, and other experimental factors.

Description

Novus Biologicals Rabbit GSK-3 beta [p Tyr279, p Tyr216] Antibody - BSA Free (NB100-81946) is a polyclonal antibody validated for use in IHC, WB and ICC/IF. Anti-GSK-3 beta Antibody: Cited in 11 publications. All Novus Biologicals antibodies are covered by our 100% guarantee.

Scientific Data Images for GSK-3 beta [p Tyr279, p Tyr216] Antibody - BSA Free

GSK-3 beta [p Tyr279, p Tyr216] Antibody

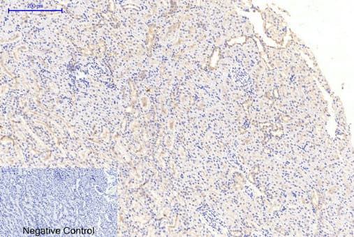
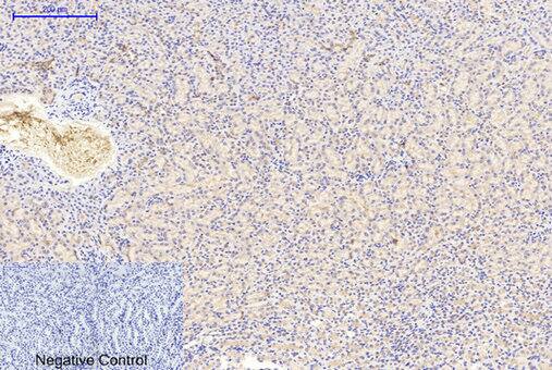
Immunohistochemistry-Paraffin: GSK-3 beta [p Tyr279, p Tyr216] Antibody [NB100-81946] -

Immunohistochemistry-Paraffin: GSK-3 beta [p Tyr279, p Tyr216] Antibody [NB100-81946] - Immunohistochemical analysis of paraffin-embedded Human-Tonsil tissue. 1, NB100-81946 was diluted at 1: 200 (4C, overnight). 2, Sodium citrate pH 6. 0 was used for antibody retrieval (>98C, 20min). 3, Secondary antibody was diluted at 1:200 (room temperature, 30min). Negative control was used by secondary antibody only.
GSK-3 beta [p Tyr279, p Tyr216] Antibody

Immunohistochemistry-Paraffin: GSK-3 beta [p Tyr279, p Tyr216] Antibody [NB100-81946] -

Immunohistochemistry-Paraffin: GSK-3 beta [p Tyr279, p Tyr216] Antibody [NB100-81946] - Immunohistochemical analysis of paraffin-embedded Rat-kidney tissue. 1, NB100-81946 was diluted at 1: 200 (4C, overnight). 2, Sodium citrate pH 6. 0 was used for antibody retrieval (>98C, 20min). 3, Secondary antibody was diluted at 1: 200 (room temperature, 30min). Negative control was used by secondary antibody only.
GSK-3 beta [p Tyr279, p Tyr216] Antibody

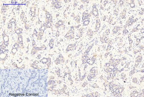
Immunohistochemistry-Paraffin: GSK-3 beta [p Tyr279, p Tyr216] Antibody [NB100-81946] -

Immunohistochemistry-Paraffin: GSK-3 beta [p Tyr279, p Tyr216] Antibody [NB100-81946] - Immunohistochemical analysis of paraffin-embedded Mouse-kidney tissue. 1, NB100-81946 was diluted at 1: 200 (4C, overnight). 2, Sodium citrate pH 6. 0 was used for antibody retrieval (>98C, 20min). 3, Secondary antibody was diluted at 1: 200 (room temperature, 30min). Negative control was used by secondary antibody only.

Applications for GSK-3 beta [p Tyr279, p Tyr216] Antibody - BSA Free

Application
Recommended Usage

Immunocytochemistry/ Immunofluorescence

1:100-1:200

Immunohistochemistry

1:100-1:200

Immunohistochemistry-Paraffin

1:10-1:500

Western Blot

1:500-1:1000

Formulation, Preparation, and Storage

Purification

Immunogen affinity purified

Formulation

0.42% Potassium phosphate, 0.87% Sodium chloride, pH 7.3, 30% glycerol

Format

BSA Free

Preservative

0.01% Sodium Azide

Concentration

1.0 mg/ml

Shipping

The product is shipped with polar packs. Upon receipt, store it immediately at the temperature recommended below.

Stability & Storage

Store at 4C short term. Aliquot and store at -20C long term. Avoid freeze-thaw cycles.

Background: GSK-3 beta

Glycogen synthase kinase 3 (GSK3) is a proline directed serine threonine kinase that was initially identified as a phosphorylating and inactivating glycogen synthase, a key enzyme in glycogen metabolism. Since then, it has been shown to be involved in the regulation of a diverse array of cellular functions, including protein synthesis, cell proliferation, cell differentiation, microtubule assembly/disassembly, and apoptosis. GSK3s substrate specificity is unique in that phosphorylation of substrate only occurs if a phosphoserine or phosphotyrosine is present four residues C terminal to the site of GSK phosphorylation.

Long Name

Glycogen Synthase Kinase 3 beta

Alternate Names

GSK3 beta, GSK3B

Entrez Gene IDs

2932 (Human); 56637 (Mouse); 84027 (Rat)

Gene Symbol

GSK3B

UniProt

Additional GSK-3 beta Products

Product Documents for GSK-3 beta [p Tyr279, p Tyr216] Antibody - BSA Free

Certificate of Analysis

To download a Certificate of Analysis, please enter a lot number in the search box below.

Product Specific Notices for GSK-3 beta [p Tyr279, p Tyr216] Antibody - BSA Free

This product is for research use only and is not approved for use in humans or in clinical diagnosis. Primary Antibodies are guaranteed for 1 year from date of receipt.

Loading...
Loading...
Loading...
Loading...