Skip to main content

GRXCR2 Antibody - BSA Free

Novus Biologicals, part of Bio-Techne | Catalog # NBP2-32458

Novus Biologicals, part of Bio-Techne
Catalog #
Availability
Size / Price
Qty
Loading...
NBP2-32458
NBP2-32458-25ul

Key Product Details

Species Reactivity

Validated:

Human

Predicted:

Mouse (91%), Rat (91%). Backed by our 100% Guarantee.

Applications

Immunohistochemistry, Immunohistochemistry-Paraffin

Label

Unconjugated

Antibody Source

Polyclonal Rabbit IgG

Format

BSA Free

Concentration

Concentrations vary lot to lot. See vial label for concentration. If unlisted please contact technical services.

Product Specifications

Immunogen

This antibody was developed against a recombinant protein corresponding to amino acids: KSDGKPRKVRFKISSSYSGRVLKQVFEDGQELESPKEEYPHSFLQESLETMDGVYGSGEVPRPQMCSPKL

Clonality

Polyclonal

Host

Rabbit

Isotype

IgG

Description

Novus Biologicals Rabbit GRXCR2 Antibody - BSA Free (NBP2-32458) is a polyclonal antibody validated for use in IHC. All Novus Biologicals antibodies are covered by our 100% guarantee.

Scientific Data Images for GRXCR2 Antibody - BSA Free

Immunohistochemistry-Paraffin: GRXCR2 Antibody [NBP2-32458]

Immunohistochemistry-Paraffin: GRXCR2 Antibody [NBP2-32458]

Immunohistochemistry-Paraffin: GRXCR2 Antibody [NBP2-32458] - Staining of human prostate shows strong cytoplasmic positivity in smooth muscle cells.
Immunohistochemistry-Paraffin: GRXCR2 Antibody [NBP2-32458]

Immunohistochemistry-Paraffin: GRXCR2 Antibody [NBP2-32458]

Immunohistochemistry-Paraffin: GRXCR2 Antibody [NBP2-32458] - Staining of human cerebral cortex shows no positivity in neurons as expected.
Immunohistochemistry-Paraffin: GRXCR2 Antibody [NBP2-32458]

Immunohistochemistry-Paraffin: GRXCR2 Antibody [NBP2-32458]

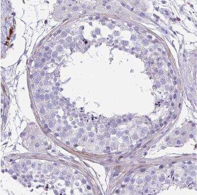
Immunohistochemistry-Paraffin: GRXCR2 Antibody [NBP2-32458] - Staining of human testis shows weak cytoplasmic positivity in peritubular myoid cells.

Applications for GRXCR2 Antibody - BSA Free

Application
Recommended Usage

Immunohistochemistry

1:50 - 1:200

Immunohistochemistry-Paraffin

1:50 - 1:200
Application Notes
For IHC-Paraffin, HIER pH 6 retrieval is recommended.

Formulation, Preparation, and Storage

Purification

Affinity purified

Formulation

PBS (pH 7.2) and 40% Glycerol

Format

BSA Free

Preservative

0.02% Sodium Azide

Concentration

Concentrations vary lot to lot. See vial label for concentration. If unlisted please contact technical services.

Shipping

The product is shipped with polar packs. Upon receipt, store it immediately at the temperature recommended below.

Stability & Storage

Store at 4C short term. Aliquot and store at -20C long term. Avoid freeze-thaw cycles.

Background: GRXCR2

Alternate Names

Glutaredoxin Domain-Containing Cysteine-Rich Protein 1-Like Protein, Glutaredoxin Domain-Containing Cysteine-Rich Protein 2, Glutaredoxin, Cysteine Rich 2, GRXCR1-Like Protein

Gene Symbol

GRXCR2

Additional GRXCR2 Products

Product Documents for GRXCR2 Antibody - BSA Free

Certificate of Analysis

To download a Certificate of Analysis, please enter a lot number in the search box below.

Product Specific Notices for GRXCR2 Antibody - BSA Free

This product is for research use only and is not approved for use in humans or in clinical diagnosis. Primary Antibodies are guaranteed for 1 year from date of receipt.

Loading...
Loading...
Loading...
Loading...