Skip to main content

GRHL1 Antibody - BSA Free

Novus Biologicals, part of Bio-Techne | Catalog # NBP1-81321

Novus Biologicals, part of Bio-Techne
Catalog #
Availability
Size / Price
Qty
Loading...
NBP1-81321
NBP1-81321-25ul

Key Product Details

Validated by

Orthogonal Validation, Independent Antibodies

Species Reactivity

Validated:

Human, Mouse, Rat

Cited:

Human

Applications

Validated:

Immunohistochemistry, Immunohistochemistry-Paraffin, Western Blot, Immunocytochemistry/ Immunofluorescence, Chromatin Immunoprecipitation (ChIP)

Cited:

Western Blot, Chromatin Immunoprecipitation (ChIP), Chemotaxis, IF/IHC

Label

Unconjugated

Antibody Source

Polyclonal Rabbit IgG

Format

BSA Free

Concentration

Concentrations vary lot to lot. See vial label for concentration. If unlisted please contact technical services.

Product Specifications

Immunogen

This antibody was developed against Recombinant Protein corresponding to amino acids: TVFKPFIDLDTQPVLFIPDVHFANLQRGTHVLPIASEELEGEGSVLKRGPYGTEDDFAVPPSTKLARIEEPKRVLLYVRKESEEVFDALMLKTPSLKGL

Clonality

Polyclonal

Host

Rabbit

Isotype

IgG

Description

Novus Biologicals Rabbit GRHL1 Antibody - BSA Free (NBP1-81321) is a polyclonal antibody validated for use in IHC, WB, ICC/IF and ChIP. Anti-GRHL1 Antibody: Cited in 5 publications. All Novus Biologicals antibodies are covered by our 100% guarantee.

Scientific Data Images for GRHL1 Antibody - BSA Free

Immunohistochemistry-Paraffin: GRHL1 Antibody [NBP1-81321]

Immunohistochemistry-Paraffin: GRHL1 Antibody [NBP1-81321]

Immunohistochemistry-Paraffin: GRHL1 Antibody [NBP1-81321] - Staining in human skin and skeletal muscle tissues using NBP1-81321 antibody. Corresponding GRHL1 RNA-seq data are presented for the same tissues.
Immunohistochemistry-Paraffin: GRHL1 Antibody [NBP1-81321]

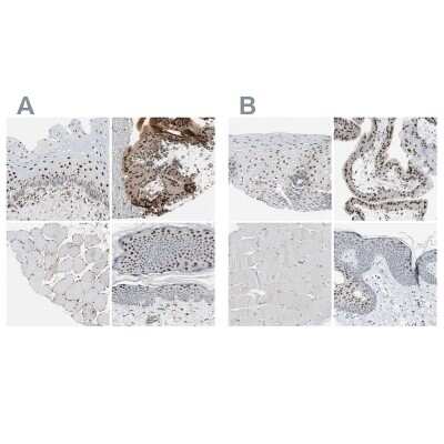
Immunohistochemistry-Paraffin: GRHL1 Antibody [NBP1-81321]

Immunohistochemistry-Paraffin: GRHL1 Antibody [NBP1-81321] - Staining of human esophagus, placenta, skeletal muscle and skin using Anti-GRHL1 antibody NBP1-81321 (A) shows similar protein distribution across tissues to independent antibody NBP1-81322 (B).
Western Blot: GRHL1 Antibody [NBP1-81321]

Western Blot: GRHL1 Antibody [NBP1-81321]

Western Blot: GRHL1 Antibody [NBP1-81321] - Analysis in mouse cell line NIH-3T3 and rat cell line NBT-II.

Applications for GRHL1 Antibody - BSA Free

Application
Recommended Usage

Chromatin Immunoprecipitation (ChIP)

Reported in scientific literature (PMID:31932695)

Immunocytochemistry/ Immunofluorescence

0.25-2 ug/ml

Immunohistochemistry

1:50 - 1:200

Immunohistochemistry-Paraffin

1:50 - 1:200

Western Blot

0.04-0.4 ug/ml
Application Notes
For IHC-Paraffin, HIER pH 6 retrieval is recommended. ICC/IF Fixation Permeabilization: Use PFA/Triton X-100.

Formulation, Preparation, and Storage

Purification

Affinity purified

Formulation

PBS (pH 7.2) and 40% Glycerol

Format

BSA Free

Preservative

0.02% Sodium Azide

Concentration

Concentrations vary lot to lot. See vial label for concentration. If unlisted please contact technical services.

Shipping

The product is shipped with polar packs. Upon receipt, store it immediately at the temperature recommended below.

Stability & Storage

Store at 4C short term. Aliquot and store at -20C long term. Avoid freeze-thaw cycles.

Background: GRHL1

GRHL1 encodes a member of the grainyhead family of transcription factors. The encoded protein interacts with sister of mammalian grainyhead (SOM) and may function as a transcription factor during development. Two transcript variants encoding distinct isoforms have been identified for this gene. [provided by RefSeq]

Alternate Names

grainyhead-like 1 (Drosophila), grainyhead-like protein 1 homolog, LBP protein 32, MGRLBP-32, NH32, TFCP2L2, Transcription factor CP2-like 2LBP32Mammalian grainyhead, Transcription factor LBP-32

Gene Symbol

GRHL1

Additional GRHL1 Products

Product Documents for GRHL1 Antibody - BSA Free

Certificate of Analysis

To download a Certificate of Analysis, please enter a lot number in the search box below.

Product Specific Notices for GRHL1 Antibody - BSA Free

This product is for research use only and is not approved for use in humans or in clinical diagnosis. Primary Antibodies are guaranteed for 1 year from date of receipt.

Loading...
Loading...
Loading...
Loading...