Skip to main content

GRF2 Antibody (OTI2F5)

Novus Biologicals, part of Bio-Techne | Catalog # NBP2-45515

Novus Biologicals, part of Bio-Techne
Catalog #
Availability
Size / Price
Qty
Loading...
NBP2-45515

Key Product Details

Species Reactivity

Human, Mouse, Rat, Canine, Monkey

Applications

Immunohistochemistry, Immunohistochemistry-Paraffin, Western Blot, Immunocytochemistry/ Immunofluorescence

Label

Unconjugated

Antibody Source

Monoclonal Mouse IgG1 Clone # OTI2F5

Concentration

1 mg/ml

Product Specifications

Immunogen

Full length human recombinant protein of human RAPGEF1(NP_941372) produced in HEK293T cell.

Reactivity Notes

Please note that this antibody is reactive to Mouse and derived from the same host, Mouse. Mouse-On-Mouse blocking reagent may be needed for IHC and ICC experiments to reduce high background signal. You can find these reagents under catalog numbers PK-2200-NB and MP-2400-NB. Please contact Technical Support if you have any questions.

Clonality

Monoclonal

Host

Mouse

Isotype

IgG1

Theoretical MW

122.6 kDa.
Disclaimer note: The observed molecular weight of the protein may vary from the listed predicted molecular weight due to post translational modifications, post translation cleavages, relative charges, and other experimental factors.

Description

Novus Biologicals Mouse GRF2 Antibody (OTI2F5) (NBP2-45515) is a monoclonal antibody validated for use in IHC, WB and ICC/IF. Anti-GRF2 Antibody: Cited in 1 publication. All Novus Biologicals antibodies are covered by our 100% guarantee.

Scientific Data Images for GRF2 Antibody (OTI2F5)

Western Blot: GRF2 Antibody (OTI2F5) [NBP2-45515]

Western Blot: GRF2 Antibody (OTI2F5) [NBP2-45515]

Western Blot: GRF2 Antibody (OTI2F5) [NBP2-45515] - Analysis of extracts (35ug) from 9 different cell lines (HepG2: human; HeLa: human; SVT2: mouse; A549: human; COS7: monkey; Jurkat: human; MDCK: canine; PC12: rat; MCF7: human).
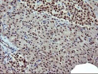
Immunohistochemistry: GRF2 Antibody (OTI2F5) [NBP2-45515]

Immunohistochemistry: GRF2 Antibody (OTI2F5) [NBP2-45515]

Immunohistochemistry: GRF2 Antibody (OTI2F5) [NBP2-45515] - Analysis of Carcinoma of Human prostate tissue. (Heat-induced epitope retrieval by 10mM citric buffer, pH6.0, 120C for 3min)
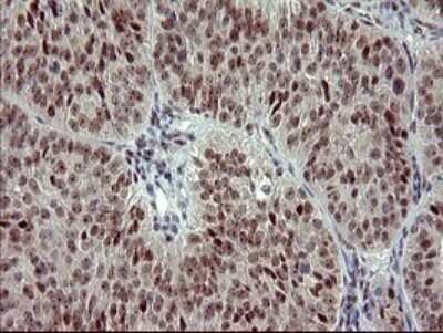
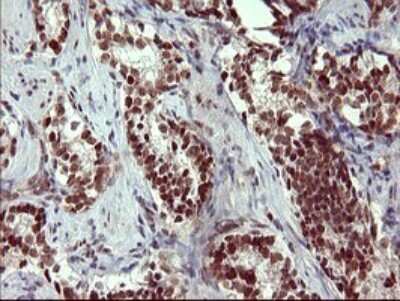
Immunohistochemistry: GRF2 Antibody (OTI2F5) [NBP2-45515]

Immunohistochemistry: GRF2 Antibody (OTI2F5) [NBP2-45515]

Immunohistochemistry: GRF2 Antibody (OTI2F5) [NBP2-45515] - Analysis of Human breast tissue. (Heat-induced epitope retrieval by 10mM citric buffer, pH6.0, 120C for 3min)

Applications for GRF2 Antibody (OTI2F5)

Application
Recommended Usage

Immunocytochemistry/ Immunofluorescence

1:100

Immunohistochemistry

1:150

Western Blot

1:400-4000

Formulation, Preparation, and Storage

Purification

Immunogen affinity purified

Formulation

PBS (pH 7.3), 1.0% BSA and 50% Glycerol

Preservative

0.02% Sodium Azide

Concentration

1 mg/ml

Shipping

The product is shipped with polar packs. Upon receipt, store it immediately at the temperature recommended below.

Stability & Storage

Store at -20C. Avoid freeze-thaw cycles.

Background: GRF2

GRF2 encodes a human guanine nucleotide exchange factor. It transduces signals from CRK by binding the SH3 domain of CRK, and activating several members of the Ras family of GTPases. This signaling cascade that may be involved in apoptosis, integrin-mediated signal transduction, and cell transformation. Several alternatively spliced transcript variants of this gene have been described, but the full-length nature of some variants has not been determined. [provided by RefSeq]

Alternate Names

C3GGRF2guanine nucleotide-releasing factor 2 (specific for crk proto-oncogene), CRK SH3-binding GNRP, DKFZp781P1719, Guanine nucleotide-releasing factor 2, Protein C3G, Rap guanine nucleotide exchange factor (GEF) 1, rap guanine nucleotide exchange factor 1

Gene Symbol

RAPGEF1

Additional GRF2 Products

Product Documents for GRF2 Antibody (OTI2F5)

Certificate of Analysis

To download a Certificate of Analysis, please enter a lot number in the search box below.

Product Specific Notices for GRF2 Antibody (OTI2F5)

This product is for research use only and is not approved for use in humans or in clinical diagnosis. Primary Antibodies are guaranteed for 1 year from date of receipt.

Loading...
Loading...
Loading...
Loading...