Skip to main content

GRB2 Antibody

Novus Biologicals, part of Bio-Techne | Catalog # NB100-866

Novus Biologicals, part of Bio-Techne
Catalog #
Availability
Size / Price
Qty
Loading...
NB100-866

Key Product Details

Species Reactivity

Validated:

Human, Mouse, Rat, Porcine

Predicted:

Bovine (100%), Canine (100%). Backed by our 100% Guarantee.

Applications

Immunohistochemistry, Immunohistochemistry-Paraffin, Western Blot, Peptide ELISA

Label

Unconjugated

Antibody Source

Polyclonal Goat IgG

Concentration

0.5 mg/ml

Product Specifications

Immunogen

Peptide with sequence C-PRNYVTPVNRNV corresponding to C-Terminus according to NP_987102.1.

Localization

Cytoplasmic (probable)

Specificity

This antibody is expected to recognize both reported isoforms (NP_002077.1and NP_987102.1).

Clonality

Polyclonal

Host

Goat

Isotype

IgG

Description

Novus Biologicals Goat GRB2 Antibody (NB100-866) is a polyclonal antibody validated for use in IHC, WB and ELISA. Anti-GRB2 Antibody: Cited in 2 publications. All Novus Biologicals antibodies are covered by our 100% guarantee.

Scientific Data Images for GRB2 Antibody

Western Blot: GRB2 Antibody [NB100-866]

Western Blot: GRB2 Antibody [NB100-866]

Western Blot: GRB2 Antibody [NB100-866] - (0.05ug/ml) staining of Mouse (A+C) and Rat (B+D) Brain (A+B) and Spleen (C+D) lysates (35ug total protein in RIPA buffer). Primary incubated for 1 hour. Detected by western blot using chemiluminescence.
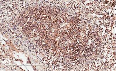
Immunohistochemistry-Paraffin: GRB2 Antibody [NB100-866]

Immunohistochemistry-Paraffin: GRB2 Antibody [NB100-866]

Immunohistochemistry-Paraffin: GRB2 Antibody [NB100-866] - Negative Control showing staining of paraffin embedded Human Lymph Node, with no primary antibody.
Western Blot: GRB2 Antibody [NB100-866]

Western Blot: GRB2 Antibody [NB100-866]

Western Blot: GRB2 Antibody [NB100-866] - (0.03ug/ml) staining of Human (A) and Pig (B) Spleen lysates (35ug protein in RIPA buffer). Primary incubation was 1 hour. Detected by chemiluminescence.

Applications for GRB2 Antibody

Application
Recommended Usage

Immunohistochemistry

1-2 ug/ml

Immunohistochemistry-Paraffin

1-2 ug/ml

Peptide ELISA

detection limit 1:32000

Western Blot

0.05-0.15 ug/ml
Application Notes
WB: Approx. 26 kDa band observed in MOLT4 lysates, of human thymus and of human, mouse, rat, porcine brain and spleen lysates (calculated MW of 25.2 kDa band according to human NP_002077.1 and according to rat NP_110473.2).
IHC-P: Human tonsil stains mantle zone and to a lessser extent germinal centre. Data obtained by previous batch (different goat). Islets of Langerhans of human pancreas is specifically stained.

Formulation, Preparation, and Storage

Purification

Immunogen affinity purified

Formulation

Tris saline (20 mM Tris pH 7.3, 150 mM NaCl), 0.5% BSA

Preservative

0.02% Sodium Azide

Concentration

0.5 mg/ml

Shipping

The product is shipped with polar packs. Upon receipt, store it immediately at the temperature recommended below.

Stability & Storage

Store at -20C. Avoid freeze-thaw cycles.

Background: GRB2

Growth factor receptor bound protein 2 (GRB2), also known as Ash protein, is a 24 kDa protein that contains a central Src homology (SH2) domain flanked by two SH3 domains. GRB2 is believed to be a regulatory subunit of signaling molecules whose activity is modulated by receptor binding. GRB2 associates with activated (tyrosine phosphorylated) EGFR and PDGFR via its SH2 domain as well as IRS1, SHC, and LNK through SH2 and SH3 domains. The SH3 domain binds to SOS, a guanine nucleotide exchange factor for Ras proteins. Endocytosis of activated EGFR requires the interaction of GRB2 with the GTP binding protein dynamin, a factor essential to the formation of endocytotic vesicle. It is ubiquitously expressed and several isoforms are produced by alternative splicing. On SDS PAGE, GRB2 has an apparent molecular weight of 28 kDa.

Long Name

Growth Factor Receptor-Bound Protein 2

Alternate Names

ASH, EGFRBP-GRB2, Grb3-3

Entrez Gene IDs

2885 (Human); 14784 (Mouse); 81504 (Rat)

Gene Symbol

GRB2

Additional GRB2 Products

Product Documents for GRB2 Antibody

Certificate of Analysis

To download a Certificate of Analysis, please enter a lot number in the search box below.

Product Specific Notices for GRB2 Antibody

This product is for research use only and is not approved for use in humans or in clinical diagnosis. Primary Antibodies are guaranteed for 1 year from date of receipt.

Loading...
Loading...
Loading...
Loading...