Skip to main content

GRB10 Antibody - BSA Free

Novus Biologicals, part of Bio-Techne | Catalog # NB100-88153

Novus Biologicals, part of Bio-Techne

Key Product Details

Species Reactivity

Human

Applications

Immunohistochemistry, Immunohistochemistry-Paraffin, Immunoprecipitation, Western Blot (Negative)

Label

Unconjugated

Antibody Source

Polyclonal Rabbit IgG

Format

BSA Free

Concentration

1.0 mg/ml

Product Specifications

Immunogen

The immunogen recognized by this antibody maps to a region between residue 100 and 150 of human growth factor receptor-bound protein 10 using the numbering given in entry NP_005302.3 (GeneID 2887).

Clonality

Polyclonal

Host

Rabbit

Isotype

IgG

Theoretical MW

67 kDa.
Disclaimer note: The observed molecular weight of the protein may vary from the listed predicted molecular weight due to post translational modifications, post translation cleavages, relative charges, and other experimental factors.

Description

Novus Biologicals Rabbit GRB10 Antibody - BSA Free (NB100-88153) is a polyclonal antibody validated for use in IHC and IP. All Novus Biologicals antibodies are covered by our 100% guarantee.

Scientific Data Images for GRB10 Antibody - BSA Free

Immunohistochemistry: GRB10 Antibody [NB100-88153]

Immunohistochemistry: GRB10 Antibody [NB100-88153]

Immunohistochemistry: GRB10 Antibody [NB100-88153] - Sample: FFPE section of human colon carcinoma. Antibody: Affinity purified rabbit anti-GRB10 used at a dilution of 1:1,000 (1ug/ml). Detection: DAB
Immunohistochemistry-Paraffin: GRB10 Antibody [NB100-88153]

Immunohistochemistry-Paraffin: GRB10 Antibody [NB100-88153]

Immunohistochemistry-Paraffin: GRB10 Antibody [NB100-88153] - FFPE section of human ovarian carcinoma. Affinity purified rabbit anti-GRB10 used at a dilution of 1:250
Immunohistochemistry-Paraffin: GRB10 Antibody [NB100-88153]

Immunohistochemistry-Paraffin: GRB10 Antibody [NB100-88153]

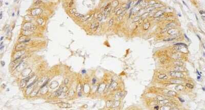
Immunohistochemistry-Paraffin: GRB10 Antibody [NB100-88153] - Human colon carcinoma. Antibody used at a dilution of 1:1,000.

Applications for GRB10 Antibody - BSA Free

Application
Recommended Usage

Immunohistochemistry

1:10-1:500

Immunohistochemistry-Paraffin

1:250

Immunoprecipitation

2-5 ug/mg lysate

Formulation, Preparation, and Storage

Purification

Immunogen affinity purified

Formulation

Tris-Citrate/Phosphate (pH 7.0 - 8.0)

Format

BSA Free

Preservative

0.09% Sodium Azide

Concentration

1.0 mg/ml

Shipping

The product is shipped with polar packs. Upon receipt, store it immediately at the temperature recommended below.

Stability & Storage

Store at 4C. Do not freeze.

Background: GRB10

The product of this gene belongs to a small family of adapter proteins that are known to interact with a number of receptor tyrosine kinases and signaling molecules. This gene encodes a growth factor receptor-binding protein that interacts with insulin receptors and insulin-like growth-factor receptors. Overexpression of some isoforms of the encoded protein inhibits tyrosine kinase activity and results in growth suppression. This gene is imprinted in a highly isoform- and tissue-specific manner. Alternatively spliced transcript variants encoding different isoforms have been identified. [provided by RefSeq]

Alternate Names

Grb-10, GRB10 adapter protein, GRB10 adaptor protein, GRBIR, GRB-IR, growth factor receptor-bound protein 10, Insulin receptor-binding protein Grb-IR, IRBP, KIAA0207, maternally expressed gene 1, MEG1, RSS

Entrez Gene IDs

2887 (Human)

Gene Symbol

GRB10

UniProt

Additional GRB10 Products

Product Documents for GRB10 Antibody - BSA Free

Certificate of Analysis

To download a Certificate of Analysis, please enter a lot number in the search box below.

Product Specific Notices for GRB10 Antibody - BSA Free

This product is for research use only and is not approved for use in humans or in clinical diagnosis. Primary Antibodies are guaranteed for 1 year from date of receipt.

Loading...
Loading...
Loading...
Loading...