Skip to main content

GRB 14 Antibody - BSA Free

Novus Biologicals, part of Bio-Techne | Catalog # NBP3-46175

Novus Biologicals, part of Bio-Techne
Catalog #
Availability
Size / Price
Qty
Loading...
NBP3-46175

Key Product Details

Species Reactivity

Human, Mouse, Rat

Applications

ELISA, Immunohistochemistry, Western Blot

Label

Unconjugated

Antibody Source

Polyclonal Rabbit IgG

Format

BSA Free

Concentration

Please see the vial label for concentration. If unlisted please contact technical services.

Product Specifications

Immunogen

growth factor receptor-bound protein 14. (Uniprot# Q14449)

Clonality

Polyclonal

Host

Rabbit

Isotype

IgG

Theoretical MW

61 kDa.
Disclaimer note: The observed molecular weight of the protein may vary from the listed predicted molecular weight due to post translational modifications, post translation cleavages, relative charges, and other experimental factors.

Description

Novus Biologicals Rabbit GRB 14 Antibody - BSA Free (NBP3-46175) is a polyclonal antibody validated for use in IHC, WB and ELISA. All Novus Biologicals antibodies are covered by our 100% guarantee.

Scientific Data Images for GRB 14 Antibody - BSA Free

GRB 14 Antibody - BSA Free

Western Blot: GRB 14 Antibody - BSA Free [NBP3-46175] -

Western Blot: GRB 14 Antibody - BSA Free [NBP3-46175] - DU 145 cells were subjected to SDS PAGE followed by western blot with (GRB 14 Antibody) at dilution of 1:600
GRB 14 Antibody - BSA Free

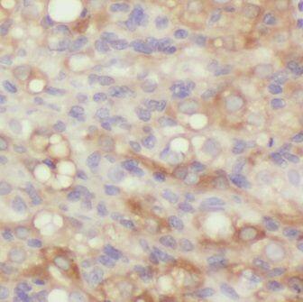
Immunohistochemistry: GRB 14 Antibody - BSA Free [NBP3-46175] -

Immunohistochemistry: GRB 14 Antibody - BSA Free [NBP3-46175] - Immunohistochemistry of paraffin-embedded human ovary tumor using (GRB 14 antibody) at dilution of 1:50

Applications for GRB 14 Antibody - BSA Free

Application
Recommended Usage

Immunohistochemistry

1:20-1:200

Western Blot

1:500-1:2000

Formulation, Preparation, and Storage

Purification

Immunogen affinity purified

Formulation

PBS, 50% Glycerol, pH (7.3)

Format

BSA Free

Preservative

0.02% Sodium Azide

Concentration

Please see the vial label for concentration. If unlisted please contact technical services.

Shipping

The product is shipped with polar packs. Upon receipt, store it immediately at the temperature recommended below.

Stability & Storage

Store at -20C. Avoid freeze-thaw cycles.

Background: GRB 14

Many growth factors function by binding receptors with intrinsic tyrosine kinase activity. Signaling by such receptors involves a series of intermediates characterized by SH2 domains that bind tyrosine phosphorylated receptors by a direct interaction between the SH2 domain and specific phosphotyrosine-containing receptor sequences. GRB7, a SH2 domain protein, has a single SH2 domain at its C-terminal, a central region with similarity to Ras GAP and a proline-rich N terminus. A related SH2 domain-containing protein, GRB10, exhibits a high degree of homology with GRB7. GRB10 undergoes serine but not tyrosine phosphorylation in response to EGF treatment, but appears to bind to the EGF receptor poorly. An additional member of the GRB7 family, designated GRB14, contains a pleckstrin homology domain in its central region and a carboxy terminal SH2 domain.

Alternate Names

GRB14 adapter protein, growth factor receptor-bound protein 14

Gene Symbol

GRB14

Additional GRB 14 Products

Product Documents for GRB 14 Antibody - BSA Free

Certificate of Analysis

To download a Certificate of Analysis, please enter a lot number in the search box below.

Product Specific Notices for GRB 14 Antibody - BSA Free

This product is for research use only and is not approved for use in humans or in clinical diagnosis. Primary Antibodies are guaranteed for 1 year from date of receipt.

Loading...
Loading...
Loading...
Loading...