Skip to main content

GRAP2 Antibody (OTI1G2)

Novus Biologicals, part of Bio-Techne | Catalog # NBP2-00764

Novus Biologicals, part of Bio-Techne
Catalog #
Availability
Size / Price
Qty
Loading...
NBP2-00764

Key Product Details

Species Reactivity

Human, Mouse, Rat

Applications

Flow Cytometry, Immunohistochemistry, Immunohistochemistry-Paraffin, Western Blot

Label

Unconjugated

Antibody Source

Monoclonal Mouse IgG1 Clone # OTI1G2

Concentration

1 mg/ml

Product Specifications

Immunogen

Full length human recombinant protein of human GRAP2(NP_004801) produced in HEK293T cell.

Reactivity Notes

Please note that this antibody is reactive to Mouse and derived from the same host, Mouse. Mouse-On-Mouse blocking reagent may be needed for IHC and ICC experiments to reduce high background signal. You can find these reagents under catalog numbers PK-2200-NB and MP-2400-NB. Please contact Technical Support if you have any questions.

Clonality

Monoclonal

Host

Mouse

Isotype

IgG1

Theoretical MW

37.7 kDa.
Disclaimer note: The observed molecular weight of the protein may vary from the listed predicted molecular weight due to post translational modifications, post translation cleavages, relative charges, and other experimental factors.

Description

Novus Biologicals Mouse GRAP2 Antibody (OTI1G2) (NBP2-00764) is a monoclonal antibody validated for use in IHC, WB and Flow. All Novus Biologicals antibodies are covered by our 100% guarantee.

Scientific Data Images for GRAP2 Antibody (OTI1G2)

Western Blot: GRAP2 Antibody (1G2) [NBP2-00764] Analysis of extracts (35ug) from 9 different cell lines by using anti-GRAP2 monoclonal antibody.
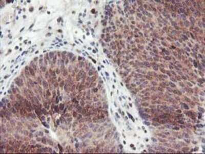
Immunohistochemistry-Paraffin: GRAP2 Antibody (OTI1G2) [NBP2-00764]

Immunohistochemistry-Paraffin: GRAP2 Antibody (OTI1G2) [NBP2-00764]

Immunohistochemistry-Paraffin: GRAP2 Antibody (1G2) [NBP2-00764] - Staining of paraffin-embedded Human endometrium tissue using anti-GRAP2 mouse monoclonal antibody.
Flow Cytometry: GRAP2 Antibody (OTI1G2) [NBP2-00764]

Flow Cytometry: GRAP2 Antibody (OTI1G2) [NBP2-00764]

Flow Cytometry: GRAP2 Antibody (1G2) [NBP2-00764] - HEK293T cells transfected with either overexpression plasmid (Red) or empty vector control plasmid (Blue) were immunostained by anti-GRAP2 antibody, and then analyzed by flow cytometry.

Applications for GRAP2 Antibody (OTI1G2)

Application
Recommended Usage

Flow Cytometry

1:100

Immunohistochemistry

1:150

Immunohistochemistry-Paraffin

1:150

Western Blot

1:500-2000

Formulation, Preparation, and Storage

Purification

Immunogen affinity purified

Formulation

PBS (pH 7.3), 1.0% BSA and 50% Glycerol

Preservative

0.02% Sodium Azide

Concentration

1 mg/ml

Shipping

The product is shipped with polar packs. Upon receipt, store it immediately at the temperature recommended below.

Stability & Storage

Store at -20C. Avoid freeze-thaw cycles.

Background: GRAP2

This gene encodes a member of the GRB2/Sem5/Drk family. This member is an adaptor-like protein involved in leukocyte-specific protein-tyrosine kinase signaling. Like its related family member, GRB2-related adaptor protein (GRAP), this protein contains an SH2 domain flanked by two SH3 domains. This protein interacts with other proteins, such as GRB2-associated binding protein 1 (GAB1) and the SLP-76 leukocyte protein (LCP2), through its SH3 domains. Transcript variants utilizing alternative polyA sites exist. [provided by RefSeq].

Long Name

GRB2-related Adaptor Protein 2

Alternate Names

GADS, GRB2L, GRBLG, GRBX, Grf40, GRID, GRPL, Mona

Entrez Gene IDs

9402 (Human)

Gene Symbol

GRAP2

Additional GRAP2 Products

Product Documents for GRAP2 Antibody (OTI1G2)

Certificate of Analysis

To download a Certificate of Analysis, please enter a lot number in the search box below.

Product Specific Notices for GRAP2 Antibody (OTI1G2)

This product is for research use only and is not approved for use in humans or in clinical diagnosis. Primary Antibodies are guaranteed for 1 year from date of receipt.

Loading...
Loading...
Loading...
Loading...
Loading...