Skip to main content

Granzyme B Antibody (CL10662) - Azide and BSA Free

Novus Biologicals, part of Bio-Techne | Catalog # NBP3-44068

Novus Biologicals, part of Bio-Techne

Key Product Details

Validated by

Orthogonal Validation

Species Reactivity

Human

Applications

Immunohistochemistry-Paraffin

Label

Unconjugated

Antibody Source

Monoclonal Mouse IgG1 Clone # CL10662

Format

Azide and BSA Free

Concentration

LYOPH mg/ml

Product Specifications

Immunogen

This antibody was generated using a recombinant protein sequence of P10144, with the exact immunogen sequence remaining proprietary.

Clonality

Monoclonal

Host

Mouse

Isotype

IgG1

Description

Novus Biologicals Mouse Granzyme B Antibody (CL10662) - Azide and BSA Free (NBP3-07984) is a monoclonal antibody validated for use in IHC. All Novus Biologicals antibodies are covered by our 100% guarantee.

Scientific Data Images for Granzyme B Antibody (CL10662) - Azide and BSA Free

Granzyme B Antibody (CL10662) - Azide and BSA Free Immunohistochemistry-Paraffin: Granzyme B Antibody [NBP3-44068]

Immunohistochemistry-Paraffin: Granzyme B Antibody [NBP3-44068]

Analysis in human lymph node and cerebral cortex tissues using NBP3-44068 antibody. Corresponding Granzyme B RNA-seq data are presented for the same tissues.
Granzyme B Antibody (CL10662) - Azide and BSA Free Immunohistochemistry-Paraffin: Granzyme B Antibody [NBP3-44068]

Immunohistochemistry-Paraffin: Granzyme B Antibody [NBP3-44068]

Staining of human cerebral cortex shows no positivity in neurons as expected.
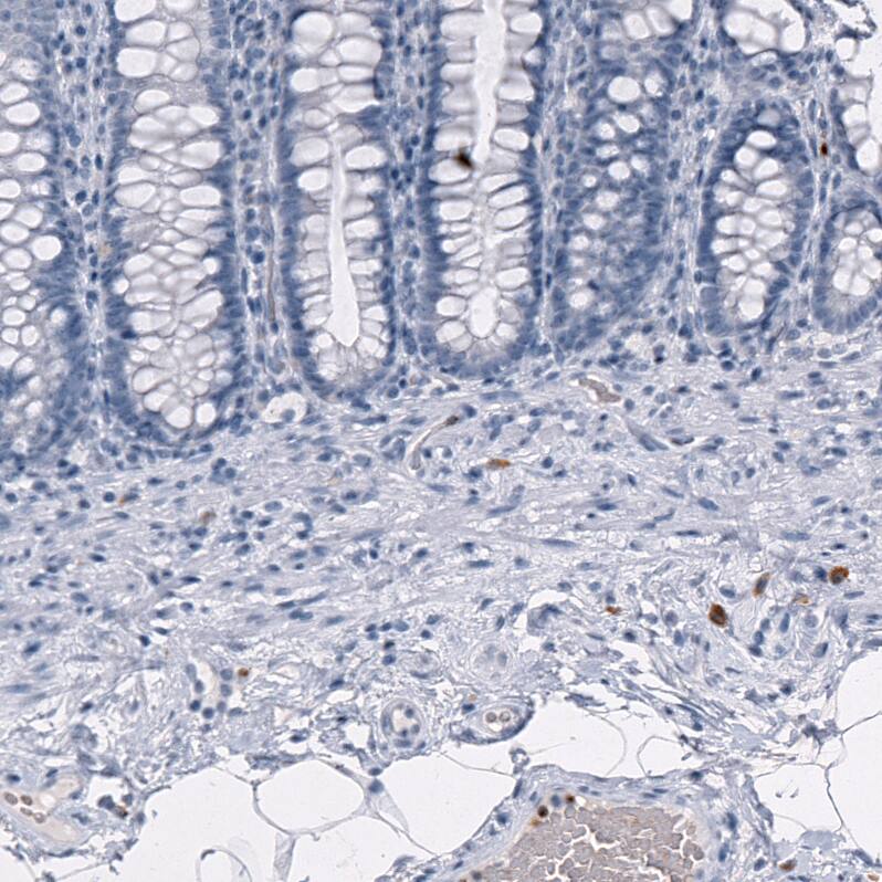
Granzyme B Antibody (CL10662) - Azide and BSA Free Immunohistochemistry-Paraffin: Granzyme B Antibody [NBP3-44068]

Immunohistochemistry-Paraffin: Granzyme B Antibody [NBP3-44068]

Staining of human rectum shows strong cytoplasmic positivity in a subset of lymphoid cells.

Applications for Granzyme B Antibody (CL10662) - Azide and BSA Free

Application
Recommended Usage

Immunohistochemistry-Paraffin

1:50 - 1:200
Application Notes
For IHC-Paraffin, HIER pH 6 retrieval is recommended.

Formulation, Preparation, and Storage

Purification

Protein A purified

Reconstitution

Centrifuge the vial of lyophilized antibody at 12,000 x g for 20 seconds. Reconstitute by adding sterile, distilled water to achieve a final antibody concentration of 1mg/ml.

Formulation

Lyophilized from a 0.2 um filtered solution in PBS with Trehalose

Format

Azide and BSA Free

Preservative

No Preservative

Concentration

LYOPH mg/ml

Shipping

The product is shipped at ambient temperature. Upon receipt, store it immediately at the temperature recommended below.

Stability & Storage

Store at 4C short term. Aliquot and store at -20C long term. Avoid freeze-thaw cycles.

Background: Granzyme B

Granzyme family serine proteases are stored in the granules of cytotoxic T lymphocytes and natural killer cells. Granzymes contain one S1 protease domain and are synthesized as preproproteins. Granzymes are released toward pathogen infected or transformed target cells during cellular immune reactions. Target cell entry by granzymes is through perforin channels. Granzymes trigger apoptosis by caspase-dependent and -independent mechanisms. There are five granzymes (A, B, G, H and K) in human and many more in mouse and rat.

Alternate Names

CGL-1, CGL1, CSPB, CTLA-1, CTLA1, CTSGL1, Fragmentin-2, Granzyme-2, GRB, GrzB, GZMB, HLP, SECT

Gene Symbol

GZMB

Additional Granzyme B Products

Product Documents for Granzyme B Antibody (CL10662) - Azide and BSA Free

Certificate of Analysis

To download a Certificate of Analysis, please enter a lot number in the search box below.

Product Specific Notices for Granzyme B Antibody (CL10662) - Azide and BSA Free

This product is for research use only and is not approved for use in humans or in clinical diagnosis. Primary Antibodies are guaranteed for 1 year from date of receipt.

Loading...
Loading...
Loading...
Loading...
Loading...