Skip to main content

Granulin Antibody (JE37-73)

Novus Biologicals, part of Bio-Techne | Catalog # NBP3-32371

Recombinant Monoclonal Antibody
Novus Biologicals, part of Bio-Techne
Catalog #
Availability
Size / Price
Qty
Loading...
NBP3-32371

Key Product Details

Species Reactivity

Human

Applications

Immunohistochemistry, Immunohistochemistry-Paraffin, Western Blot, Flow Cytometry, Immunocytochemistry/ Immunofluorescence

Label

Unconjugated

Antibody Source

Recombinant Monoclonal Rabbit IgG Clone # JE37-73 expressed in HEK293

Concentration

1 mg/ml

Product Specifications

Immunogen

Recombinant protein within Human Granulin aa 1-100 / 593. (Uniprot: P28799)

Localization

Secreted, Lysosome.

Clonality

Monoclonal

Host

Rabbit

Isotype

IgG

Theoretical MW

64 kDa.
Disclaimer note: The observed molecular weight of the protein may vary from the listed predicted molecular weight due to post translational modifications, post translation cleavages, relative charges, and other experimental factors.

Scientific Data Images for Granulin Antibody (JE37-73)

Granulin Antibody (JE37-73)

Western Blot: Granulin Antibody (JE37-73) [NBP3-32371]

Western Blot: Granulin Antibody (JE37-73) [NBP3-32371] - Western blot analysis of Granulin on different lysates with Rabbit anti-Granulin antibody (NBP3-32371) at 1/1,000 dilution.

Lane 1: HepG2 cell lysate
Lane 2: HEK-293 cell lysate
Lane 3: TF-1 cell lysate
Lane 4: THP-1 cell lysate

Lysates/proteins at 20 ug/Lane.

Predicted band size: 64 kDa
Observed band size: 50-75 kDa

Exposure time: 1 minutes; ECL;

4-20% SDS-PAGE gel.

Proteins were transferred to a PVDF membrane and blocked with 5% NFDM/TBST for 1 hour at room temperature. The primary antibody (NBP3-32371) at 1/1,000 dilution was used in 5% NFDM/TBST at 4C overnight. Goat Anti-Rabbit IgG - HRP Secondary Antibody at 1/50,000 dilution was used for 1 hour at room temperature.
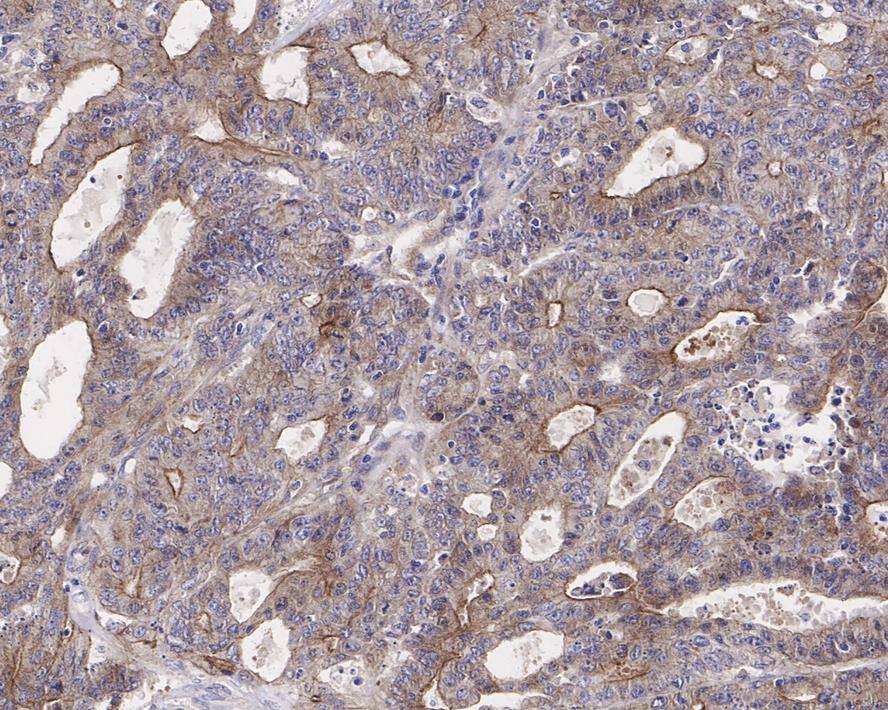
Granulin Antibody (JE37-73)

Immunohistochemistry: Granulin Antibody (JE37-73) [NBP3-32371]

Immunohistochemistry: Granulin Antibody (JE37-73) [NBP3-32371] - Immunohistochemical analysis of paraffin-embedded human colon carcinoma tissue with Rabbit anti-Granulin antibody (NBP3-32371) at 1/1,000 dilution.

The section was pre-treated using heat mediated antigen retrieval with Tris-EDTA buffer (pH 9.0) for 20 minutes. The tissues were blocked in 1% BSA for 20 minutes at room temperature, washed with ddH2O and PBS, and then probed with the primary antibody (NBP3-32371) at 1/1,000 dilution for 1 hour at room temperature. The detection was performed using an HRP conjugated compact polymer system. DAB was used as the chromogen. Tissues were counterstained with hematoxylin and mounted with DPX.
Granulin Antibody (JE37-73)

Immunocytochemistry/ Immunofluorescence: Granulin Antibody (JE37-73) [NBP3-32371]

Immunocytochemistry/ Immunofluorescence: Granulin Antibody (JE37-73) [NBP3-32371] - Immunocytochemistry analysis of THP-1 cells labeling Granulin with Rabbit anti-Granulin antibody (NBP3-32371) at 1/100 dilution.

Cells were fixed in 100% methanol for 10 minutes, permeabilized with 0.1% Triton X-100 in PBS for 15 minutes, and then blocked with 1% BSA for 30 minutes at room temperature. Cells were then incubated with Rabbit anti-Granulin antibody (NBP3-32371) at 1/100 dilution in 2% negative goat serum overnight at 4 ℃. Goat Anti-Rabbit IgG H&L (iFluor™ 488) was used as the secondary antibody at 1/1,000 dilution. Nuclear DNA was labelled in blue with DAPI.

Beta tubulin (red) was stained at 1/100 dilution overnight at +4℃. Goat Anti-Mouse IgG H&L (iFluor™ 594) was used as the secondary antibody at 1/1,000 dilution.

Applications for Granulin Antibody (JE37-73)

Application
Recommended Usage

Flow Cytometry

1:500-1:1000

Immunocytochemistry/ Immunofluorescence

1:100

Immunohistochemistry-Paraffin

1:1000

Western Blot

1:1000

Formulation, Preparation, and Storage

Purification

Protein A purified

Formulation

1*TBS (pH7.4), 0.05% BSA and 40% Glycerol

Preservative

0.05% Sodium Azide

Concentration

1 mg/ml

Shipping

The product is shipped with polar packs. Upon receipt, store it immediately at the temperature recommended below.

Stability & Storage

Store at 4C short term. Aliquot and store at -20C long term. Avoid freeze-thaw cycles.

Background: Granulin

Granulins are a family of secreted, glycosylated peptides that are cleaved from a single precursor protein with 7.5 repeats of a highly conserved 12-cysteine granulin/epithelin motif. The 88 kDa precursor protein, progranulin, is also called proepithelin and PC cell-derived growth factor. Cleavage of the signal peptide produces mature granulin which can be further cleaved into a variety of active, 6 kDa peptides. These smaller cleavage products are named granulin A, granulin B, granulin C, etc. Epithelins 1 and 2 are synonymous with granulins A and B, respectively. Both the peptides and intact granulin protein regulate cell growth. However, different members of the granulin protein family may act as inhibitors, stimulators, or have dual actions on cell growth. Granulin family members are important in normal development, wound healing, and tumorigenesis.

Alternate Names

acrogranin, GEP, GP88, granulin, granulin-epithelin, granulins, PC cell-derived growth factor, PCDGF, PEPI, PGRN, Proepithelin, progranulin

Gene Symbol

GRN

Additional Granulin Products

Product Documents for Granulin Antibody (JE37-73)

Certificate of Analysis

To download a Certificate of Analysis, please enter a lot number in the search box below.

Product Specific Notices for Granulin Antibody (JE37-73)

This product is for research use only and is not approved for use in humans or in clinical diagnosis. Primary Antibodies are guaranteed for 1 year from date of receipt.

Loading...
Loading...
Loading...
Loading...
Loading...