Skip to main content

GR/NR3C1 [p Ser226] Antibody (S02-1H0)

Novus Biologicals, part of Bio-Techne | Catalog # NBP3-14939

Recombinant Monoclonal Antibody
Novus Biologicals, part of Bio-Techne
Catalog #
Availability
Size / Price
Qty
Loading...
NBP3-14939-100ul
NBP3-14939-25ul

Key Product Details

Species Reactivity

Human

Applications

Immunohistochemistry, Immunohistochemistry-Paraffin, Western Blot

Label

Unconjugated

Antibody Source

Recombinant Monoclonal Rabbit IgG Clone # S02-1H0 expressed in HEK293

Concentration

Please see the vial label for concentration. If unlisted please contact technical services.

Product Specifications

Immunogen

A synthetic phosphopeptide corresponding to residues surrounding Ser226 of human GR/NR3C1 (Uniprot#: P04150)

Modification

p Ser 226

Clonality

Monoclonal

Host

Rabbit

Isotype

IgG

Theoretical MW

94 kDa.
Disclaimer note: The observed molecular weight of the protein may vary from the listed predicted molecular weight due to post translational modifications, post translation cleavages, relative charges, and other experimental factors.

Description

Novus Biologicals Rabbit GR/NR3C1 [p Ser226] Antibody (S02-1H0) (NBP3-14939) is a recombinant monoclonal antibody validated for use in IHC and WB. All Novus Biologicals antibodies are covered by our 100% guarantee.

Scientific Data Images for GR/NR3C1 [p Ser226] Antibody (S02-1H0)

Western Blot: GR/NR3C1 [p Ser226] Antibody (S02-1H0) [NBP3-14939] - Western blot detection of GR/NR3C1 [p Ser226] in Hela, A549, C6 cell lysates using GR/NR3C1 [p Ser226] Rabbit mAb (1:1000 diluted). Predicted band size: 86kDa. Observed band size: 94kDa.
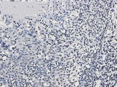
Immunohistochemistry-Paraffin: GR/NR3C1 [p Ser226] Antibody (S02-1H0) [NBP3-14939] - Immunohistochemistry of GR/NR3C1 [p Ser226] in paraffin-embedded Human tonsil using GR/NR3C1 [p Ser226] Rabbit mAb at dilution 1/50

Applications for GR/NR3C1 [p Ser226] Antibody (S02-1H0)

Application
Recommended Usage

Immunohistochemistry

1/100

Western Blot

1/1000

Formulation, Preparation, and Storage

Purification

Affinity purified

Formulation

50mM Tris-Glycine (pH 7.4), 0.15M NaCl, 40% Glycerol, 0.05% BSA

Preservative

0.01% Sodium Azide

Concentration

Please see the vial label for concentration. If unlisted please contact technical services.

Shipping

The product is shipped with polar packs. Upon receipt, store it immediately at the temperature recommended below.

Stability & Storage

Store at 4C short term. Aliquot and store at -20C long term. Avoid freeze-thaw cycles.

Background: GR/NR3C1

Steroid receptors are ligand-dependent, intracellular proteins that stimulate transcription of specific genes by binding to specific DNA sequences following activation by the appropriate hormone. Glucocorticoids are a family of steroids necessary for the regulation of energy metabolism and the immune and inflammatory responses. These compounds exert their effect through their interaction with the glucocoticoid receptor (GR) and that complex's subsequent association with DNA. All normal mammalian tissues examined to date have been shown to contain glucocorticoid receptor. The corresponding gene for the glucocorticoid receptor is NR3C1.

Long Name

Glucocorticoid Receptor

Alternate Names

NR3C1

Gene Symbol

NR3C1

Additional GR/NR3C1 Products

Product Documents for GR/NR3C1 [p Ser226] Antibody (S02-1H0)

Certificate of Analysis

To download a Certificate of Analysis, please enter a lot number in the search box below.

Product Specific Notices for GR/NR3C1 [p Ser226] Antibody (S02-1H0)

This product is for research use only and is not approved for use in humans or in clinical diagnosis. Primary Antibodies are guaranteed for 1 year from date of receipt.

Loading...
Loading...
Loading...
Loading...