Skip to main content

GPRASP2 Antibody

Novus Biologicals, part of Bio-Techne | Catalog # NBP2-16729

Novus Biologicals, part of Bio-Techne
Catalog #
Availability
Size / Price
Qty
Loading...
NBP2-16729

Key Product Details

Species Reactivity

Human

Applications

Immunohistochemistry, Immunohistochemistry-Paraffin, Western Blot

Label

Unconjugated

Antibody Source

Polyclonal Rabbit IgG

Concentration

Concentrations vary lot to lot. See vial label for concentration. If unlisted please contact technical services.

Product Specifications

Immunogen

Recombinant protein encompassing a sequence within the C-terminus region of human GPRASP2. The exact sequence is proprietary.

Reactivity Notes

Immunogen displays the following percentage of sequence identity for non-tested species: Mouse (88%).

Clonality

Polyclonal

Host

Rabbit

Isotype

IgG

Theoretical MW

94 kDa.
Disclaimer note: The observed molecular weight of the protein may vary from the listed predicted molecular weight due to post translational modifications, post translation cleavages, relative charges, and other experimental factors.

Description

Novus Biologicals Rabbit GPRASP2 Antibody (NBP2-16729) is a polyclonal antibody validated for use in IHC and WB. All Novus Biologicals antibodies are covered by our 100% guarantee.

Scientific Data Images for GPRASP2 Antibody

Western Blot: GPRASP2 Antibody [NBP2-16729]

Western Blot: GPRASP2 Antibody [NBP2-16729]

Western Blot: GPRASP2 Antibody [NBP2-16729] - Various whole cell extracts (30 ug) were separated by 7.5% SDS-PAGE, and the membrane was blotted with GPRASP2 antibody diluted at 1:500.
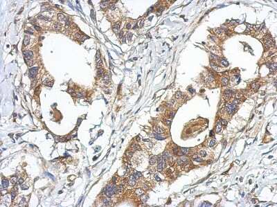
Immunohistochemistry-Paraffin: GPRASP2 Antibody [NBP2-16729]

Immunohistochemistry-Paraffin: GPRASP2 Antibody [NBP2-16729]

Immunohistochemistry-Paraffin: GPRASP2 Antibody [NBP2-16729] - Immunohistochemical analysis of paraffin-embedded Gastric ca, using antibody at 1:500 dilution.
Western Blot: GPRASP2 Antibody [NBP2-16729]

Western Blot: GPRASP2 Antibody [NBP2-16729]

Western Blot: GPRASP2 Antibody [NBP2-16729] - Sample (30 ug of whole cell lysate) A: A549 B: H1299 C: MCF-7 7. 5% SDS PAGE gel, diluted at 1:1000.

Applications for GPRASP2 Antibody

Application
Recommended Usage

Immunohistochemistry

10 - 1:500

Immunohistochemistry-Paraffin

1:100-1:1000

Western Blot

1:500-1:3000

Formulation, Preparation, and Storage

Purification

Antigen Affinity-purified

Formulation

PBS, 1% BSA, 20% Glycerol

Preservative

0.01% Thimerosal

Concentration

Concentrations vary lot to lot. See vial label for concentration. If unlisted please contact technical services.

Shipping

The product is shipped with polar packs. Upon receipt, store it immediately at the temperature recommended below.

Stability & Storage

Aliquot and store at -20C or -80C. Avoid freeze-thaw cycles.

Background: GPRASP2

The protein encoded by this gene is a member of a family that regulates the activity of G protein-coupled receptors (GPCRs). The encoded protein has been shown to be capable of interacting with several GPCRs, including the M1 muscarinic acetylcholine receptor and the calcitonin receptor. Several transcript variants encoding the same protein have been found for this gene. [provided by RefSeq]

Long Name

G Protein-coupled Receptor Associated Sorting Protein 2

Alternate Names

FLJ35662, FLJ37327, G protein-coupled receptor associated sorting protein 2, GASP2, GASP-2, G-protein coupled receptor-associated sorting protein 2

Gene Symbol

GPRASP2

UniProt

Additional GPRASP2 Products

Product Documents for GPRASP2 Antibody

Certificate of Analysis

To download a Certificate of Analysis, please enter a lot number in the search box below.

Product Specific Notices for GPRASP2 Antibody

This product is for research use only and is not approved for use in humans or in clinical diagnosis. Primary Antibodies are guaranteed for 1 year from date of receipt.

Loading...
Loading...
Loading...
Loading...

⚠ WARNING: This product can expose you to chemicals including mercury, which is known to the State of California to cause reproductive toxicity with developmental effects.  For more information go to www.P65Warnings.ca.gov.