Skip to main content

Key Product Details

Species Reactivity

Validated:

Human, Mouse

Cited:

Human, Mouse

Applications

Validated:

Immunohistochemistry, Immunohistochemistry-Paraffin, Western Blot, Immunoblotting, Immunocytochemistry/ Immunofluorescence

Cited:

Immunohistochemistry-Paraffin, Western Blot, IF/IHC

Label

Unconjugated

Antibody Source

Polyclonal Rabbit IgG

Format

BSA Free

Concentration

1.1 mg/ml

Product Specifications

Immunogen

A synthetic peptide made to an internal region of the human GPR39 protein (within residues 150-200). [Swiss-Prot O43194]

Localization

Cell membrane; Multi-pass membrane protein.

Clonality

Polyclonal

Host

Rabbit

Isotype

IgG

Description

Novus Biologicals Rabbit GPR39 Antibody - BSA Free (NLS139) is a polyclonal antibody validated for use in IHC, WB and ICC/IF. Anti-GPR39 Antibody: Cited in 4 publications. All Novus Biologicals antibodies are covered by our 100% guarantee.

Scientific Data Images for GPR39 Antibody - BSA Free

Western Blot: GPR39 AntibodyBSA Free [NLS139]

Western Blot: GPR39 AntibodyBSA Free [NLS139]

Western Blot: GPR39 Antibody [NLS139] - Western blot analysis of GPR39 in human small intestine lysate.
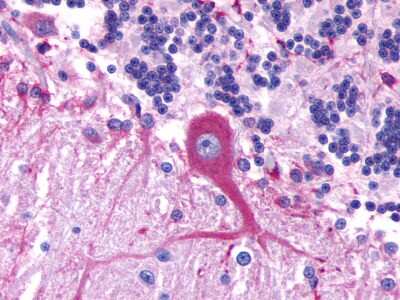
Immunohistochemistry: GPR39 Antibody - BSA Free [NLS139]

Immunohistochemistry: GPR39 Antibody - BSA Free [NLS139]

Immunohistochemistry: GPR39 Antibody [NLS139] - Staining of human brain, neurons, and glia.

Applications for GPR39 Antibody - BSA Free

Application
Recommended Usage

Immunoblotting

reported in scientific literature (PMID 29079520)

Immunocytochemistry/ Immunofluorescence

1:50

Immunohistochemistry

1:100

Immunohistochemistry-Paraffin

1:100

Western Blot

2 ug/ml
Application Notes
In Western blot a band is observed at ~50 kDa. Prior to immunostaining paraffin tissues, antigen retrieval with sodium citrate buffer (pH 6.0) is recommended.

Formulation, Preparation, and Storage

Purification

Immunogen affinity purified

Formulation

PBS and 30% Glycerol

Format

BSA Free

Preservative

0.05% Sodium Azide

Concentration

1.1 mg/ml

Shipping

The product is shipped with polar packs. Upon receipt, store it immediately at the temperature recommended below.

Stability & Storage

Store at 4C short term. Aliquot and store at -20C long term. Avoid freeze-thaw cycles.

Background: GPR39

GPR39 (G-protein coupled receptor 39) is an orphan GPCR receptor from ghrelin/motilin receptor subfamily of G-protein coupled receptor 1 family, and it is constitutively active with Zn2+ as its physiological agonist. GPR39 is a multipass transmembrane protein found in cell membranes and is expressed in several tissues such as stomach, intestine and hypothalamus. Obestatin, a 23 amino acid peptide originating from ghrelin precursor, was originally shown to be the endogenous ligand of GPR39, a study that happened to be non-reproducible, and later on it was shown that obestatin does not bind, nor activate GPR39 but that Zn2+ could stimulate GPR39 signalling in vitro, thereby inferring that obestatin is not the natural ligand of GPR39. GPR39 receptor also displays a strong ligand-independent signaling activity through G-alpha12/13 as well as G-alphaq. This receptor mediates its action by association with G proteins that activate a phosphatidylinositol-calcium second messenger system. GPR39 has been shown to implicate in the regulation of insulin release/pancreatic function, body weight, gastrointestinal mobility, hormone secretion and cell death.

Long Name

G Protein-coupled Receptor 39

Alternate Names

G protein-coupled receptor 39, G-protein coupled receptor 39, MGC149541

Entrez Gene IDs

2863 (Human); 71111 (Mouse)

Gene Symbol

GPR39

Additional GPR39 Products

Product Documents for GPR39 Antibody - BSA Free

Certificate of Analysis

To download a Certificate of Analysis, please enter a lot number in the search box below.

Product Specific Notices for GPR39 Antibody - BSA Free

This product is for research use only and is not approved for use in humans or in clinical diagnosis. Primary Antibodies are guaranteed for 1 year from date of receipt.

Loading...
Loading...
Loading...
Loading...