Skip to main content

GPR155 Antibody - BSA Free

Novus Biologicals, part of Bio-Techne | Catalog # NBP1-50625

Novus Biologicals, part of Bio-Techne

Key Product Details

Species Reactivity

Human

Applications

Immunocytochemistry/ Immunofluorescence, Immunohistochemistry, Immunohistochemistry-Paraffin, Western Blot

Label

Unconjugated

Antibody Source

Polyclonal Rabbit IgG

Format

BSA Free

Concentration

1.06 mg/ml

Product Specifications

Immunogen

A synthetic peptide made to an internal portion of the human GPR155 protein (between residues 500-600) [UniProt Q7Z3F1]

Reactivity Notes

Immunogen sequence has 86% identity to mouse.

Localization

Membrane; Multi-pass membrane protein.Mem

Clonality

Polyclonal

Host

Rabbit

Isotype

IgG

Description

Novus Biologicals Rabbit GPR155 Antibody - BSA Free (NBP1-50625) is a polyclonal antibody validated for use in IHC, WB and ICC/IF. All Novus Biologicals antibodies are covered by our 100% guarantee.

Scientific Data Images for GPR155 Antibody - BSA Free

Immunocytochemistry/ Immunofluorescence: GPR155 Antibody - BSA Free [NBP1-50625]

Immunocytochemistry/ Immunofluorescence: GPR155 Antibody - BSA Free [NBP1-50625]

Immunocytochemistry/Immunofluorescence: GPR155 Antibody [NBP1-50625] - U-87 cells were fixed in 4% paraformaldehyde for 10 minutes and permeabilized in 0.05% Triton X-100 in PBS for 5 minutes. The cells were incubated with anti-GPR155 Antibody NBP1-50625 at 1 ug/ml overnight at 4C and detected with an anti-rabbit Dylight 488 (Green) at a 1:1000 dilution for 60 minutes. Nuclei were counterstained with DAPI (Blue). Cells were imaged using a 100X objective and digitally deconvolved.
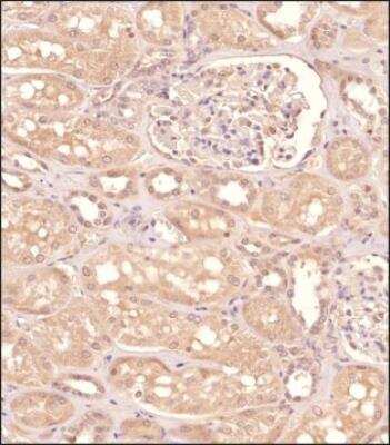
Immunohistochemistry-Paraffin: GPR155 Antibody - BSA Free [NBP1-50625]

Immunohistochemistry-Paraffin: GPR155 Antibody - BSA Free [NBP1-50625]

Immunohistochemistry-Paraffin: GPR155 Antibody [NBP1-50625] - Analysis of a FFPE tissue section of human kidney using 1:200 dilution of GPR155 antibody. The staining was developed using HRP labeled anti-rabbit secondary antibody and DAB reagent, and nuclei of cells were counter-stained with hematoxylin.

Applications for GPR155 Antibody - BSA Free

Application
Recommended Usage

Immunocytochemistry/ Immunofluorescence

1:10-1:2000

Immunohistochemistry

1:200

Immunohistochemistry-Paraffin

1:200

Western Blot

1:100-1:2000
Application Notes
This GPR155 antibody has been tested with inconclusive results in Western blot and Immunofluorescence.

Formulation, Preparation, and Storage

Purification

Immunogen affinity purified

Formulation

PBS and 30% Glycerol

Format

BSA Free

Preservative

0.05% Sodium Azide

Concentration

1.06 mg/ml

Shipping

The product is shipped with polar packs. Upon receipt, store it immediately at the temperature recommended below.

Stability & Storage

Store at 4C short term. Aliquot and store at -20C long term. Avoid freeze-thaw cycles.

Background: GPR155

GPR155 (G-protein coupled receptor PGR22) is an integral membrane protein identified through systematic search for homologies to known GPCRs and has been suggested to be implicated in Huntington disease and autism spectrum disorders. In mouse model, GPR155 mRNAs have been shown to be widely distributed in forebrain regions with more restricted distribution in the mid/hindbrain and highest levels in lateral parts of hippocampus as well as striatum, and its expression pattern in striatum resembled cannabinoid receptor type 1. GPR155 protein has been proposed to implicate in the sensory information processing and memory because of its high expression in cerebral cortex, hippocampus, septal nuclei, amygdaloid complex and that it is significantly dysregulated in autism spectrum disorders which are characterized by impaired social interaction/communication, restricted and repetitive interests and activities.

Alternate Names

DEP.7, DEPDC3, FLJ31819, FLJ39346, G protein-coupled receptor 155, integral membrane protein GPR155, PGR22G-protein coupled receptor PGR22

Entrez Gene IDs

151556 (Human); 68526 (Mouse)

Gene Symbol

GPR155

Additional GPR155 Products

Product Documents for GPR155 Antibody - BSA Free

Certificate of Analysis

To download a Certificate of Analysis, please enter a lot number in the search box below.

Product Specific Notices for GPR155 Antibody - BSA Free

This product is for research use only and is not approved for use in humans or in clinical diagnosis. Primary Antibodies are guaranteed for 1 year from date of receipt.

Loading...
Loading...
Loading...
Loading...