Skip to main content

GPR113 Antibody - BSA Free

Novus Biologicals, part of Bio-Techne | Catalog # NBP1-83262

Novus Biologicals, part of Bio-Techne
Catalog #
Availability
Size / Price
Qty
Loading...
NBP1-83262
NBP1-83262-25ul

Key Product Details

Species Reactivity

Human

Applications

Immunohistochemistry, Immunohistochemistry-Paraffin

Label

Unconjugated

Antibody Source

Polyclonal Rabbit IgG

Format

BSA Free

Concentration

Concentrations vary lot to lot. See vial label for concentration. If unlisted please contact technical services.

Product Specifications

Immunogen

This antibody was developed against Recombinant Protein corresponding to amino acids: CIPSTNLAYTAAWSPGEGSKASSFNESGSQCFVLAVQRCPMADTTYACDLQSLGLAPLRVPISITIIQDGDITCPEDASVLTWNVTKAGHVAQAPCPESKRGIVRRLCGADG

Clonality

Polyclonal

Host

Rabbit

Isotype

IgG

Description

Novus Biologicals Rabbit GPR113 Antibody - BSA Free (NBP1-83262) is a polyclonal antibody validated for use in IHC. All Novus Biologicals antibodies are covered by our 100% guarantee.

Scientific Data Images for GPR113 Antibody - BSA Free

Immunohistochemistry-Paraffin: GPR113 Antibody [NBP1-83262]

Immunohistochemistry-Paraffin: GPR113 Antibody [NBP1-83262]

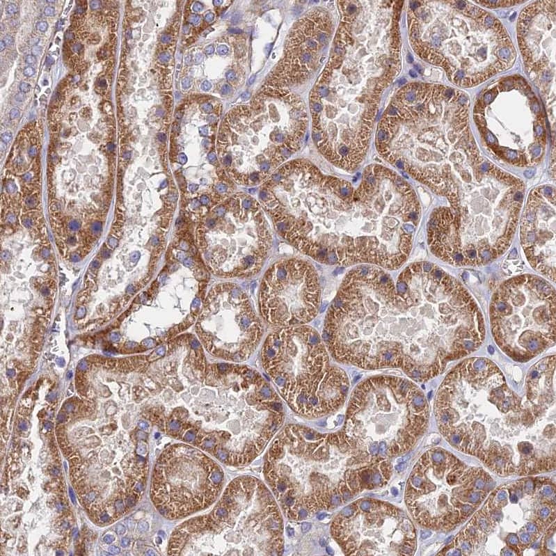
Immunohistochemistry-Paraffin: GPR113 Antibody [NBP1-83262] - Staining of human kidney shows distinct cytoplasmic positivity in tubule cells.
GPR113 Antibody - BSA Free Immunohistochemistry-Paraffin: GPR113 Antibody - BSA Free [NBP1-83262]

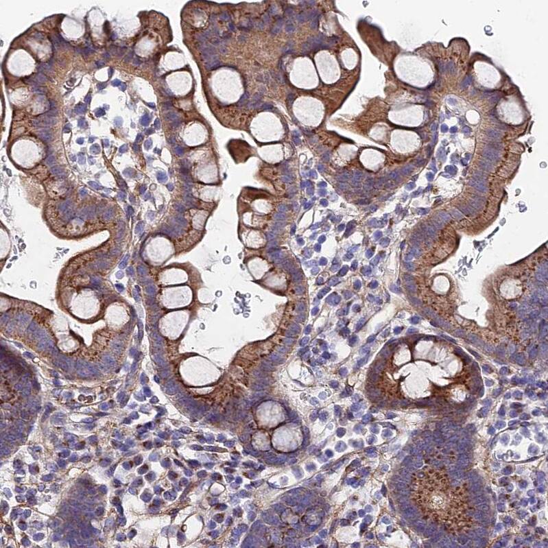
Immunohistochemistry-Paraffin: GPR113 Antibody - BSA Free [NBP1-83262]

Staining of human small intestine shows moderate cytoplasmic membranous positivity in glandular cells.
GPR113 Antibody - BSA Free Immunohistochemistry-Paraffin: GPR113 Antibody - BSA Free [NBP1-83262]

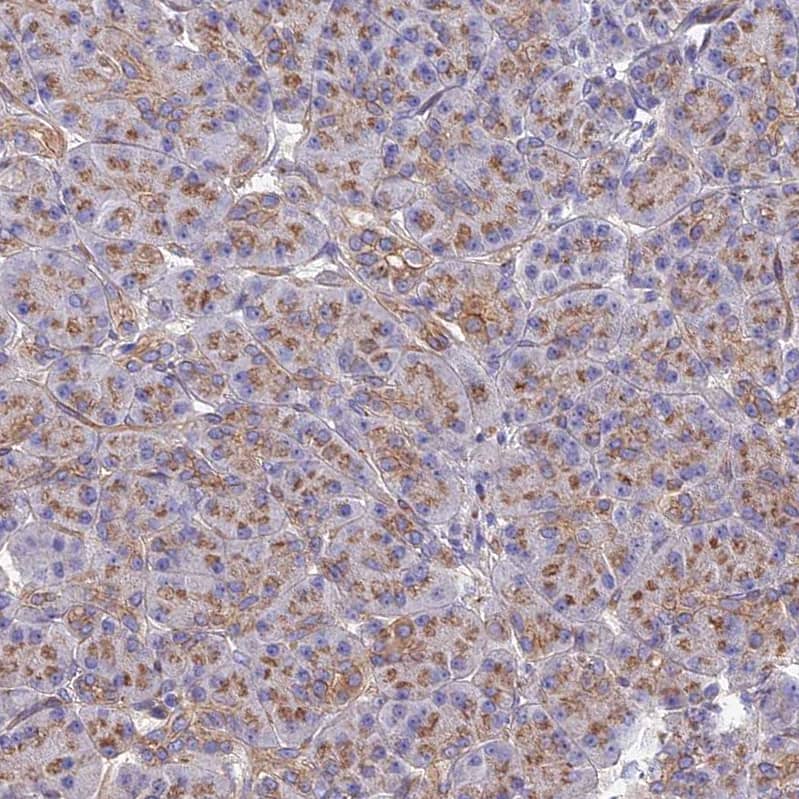
Immunohistochemistry-Paraffin: GPR113 Antibody - BSA Free [NBP1-83262]

Staining of human kidney shows moderate cytoplasmic membranous positivity in cells in tubules.

Applications for GPR113 Antibody - BSA Free

Application
Recommended Usage

Immunohistochemistry

1:50 - 1:200

Immunohistochemistry-Paraffin

1:50 - 1:200
Application Notes
For IHC-Paraffin, HIER pH 6 retrieval is recommended.

Formulation, Preparation, and Storage

Purification

Immunogen affinity purified

Formulation

PBS (pH 7.2) and 40% Glycerol

Format

BSA Free

Preservative

0.02% Sodium Azide

Concentration

Concentrations vary lot to lot. See vial label for concentration. If unlisted please contact technical services.

Shipping

The product is shipped with polar packs. Upon receipt, store it immediately at the temperature recommended below.

Stability & Storage

Store at 4C short term. Aliquot and store at -20C long term. Avoid freeze-thaw cycles.

Background: GPR113

Orphan receptor

Long Name

G-Protein-Coupled Receptor 113

Alternate Names

Gm1041, GPCR37, PGR23

Gene Symbol

ADGRF3

Additional GPR113 Products

Product Documents for GPR113 Antibody - BSA Free

Certificate of Analysis

To download a Certificate of Analysis, please enter a lot number in the search box below.

Product Specific Notices for GPR113 Antibody - BSA Free

This product is for research use only and is not approved for use in humans or in clinical diagnosis. Primary Antibodies are guaranteed for 1 year from date of receipt.

Loading...
Loading...
Loading...
Loading...