gp96/HSP90B1/GRP94 Antibody (9G10)
Novus Biologicals, part of Bio-Techne | Catalog # NB300-619
Key Product Details
Validated by
Biological Validation
Species Reactivity
Validated:
Human, Mouse, Rat, Bovine, Chicken, Hamster
Cited:
Human
Applications
Validated:
Immunohistochemistry, Immunohistochemistry-Paraffin, Western Blot, Immunocytochemistry, Immunocytochemistry/ Immunofluorescence, Immunoprecipitation
Cited:
Western Blot
Label
Unconjugated
Antibody Source
Monoclonal Rat IgG2A Clone # 9G10
Concentration
This product is unpurified. The exact concentration of antibody is not quantifiable.
Product Specifications
Immunogen
Chick oviduct GRP94.
Localization
Endoplasmic reticulum
Specificity
GRP94 (9G10)
Marker
ER Stress Marker
Clonality
Monoclonal
Host
Rat
Isotype
IgG2A
Scientific Data Images for gp96/HSP90B1/GRP94 Antibody (9G10)
Western Blot: gp96/HSP90B1/GRP94 Antibody (9G10) [NB300-619]
Western Blot: gp96/HSP90B1/GRP94 Antibody (9G10) [NB300-619] - Analysis of 25 ug of Hela (lane 1), C6 (lane 2) and NIH-3T3 (lane 3) lysates.Immunocytochemistry/ Immunofluorescence: gp96/HSP90B1/GRP94 Antibody (9G10) [NB300-619]
Immunocytochemistry/Immunofluorescence: gp96/HSP90B1/GRP94 Antibody (9G10) [NB300-619] - GR94 in human primary fibroblasts, ER staining. Primary antibody incubation: 1:250 in 10% Serum in PBST (0.1% Triton) O/N 4C. Secondary: Donkey anti-rat 647 1:500 2h RT. ICC/IF image submitted by a verifed customer review.Immunohistochemistry-Paraffin: gp96/HSP90B1/GRP94 Antibody (9G10) [NB300-619]
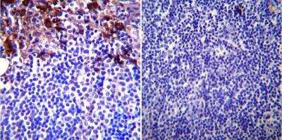
Immunohistochemistry-Paraffin: gp96/HSP90B1/GRP94 Antibody (9G10) [NB300-619] - Normal biopsies of deparaffinized Mouse breast tissue.Applications for gp96/HSP90B1/GRP94 Antibody (9G10)
Application
Recommended Usage
Immunocytochemistry/ Immunofluorescence
1:250
Immunohistochemistry
1:10 - 1:500
Immunohistochemistry-Paraffin
1:20
Immunoprecipitation
1:10 - 1:500
Western Blot
1:100 - 1:1000
Application Notes
WB: Detects an approx. 108 kDa protein representing GRP94 in chick oviduct cytosol.
Reviewed Applications
Read 2 reviews rated 4.5 using NB300-619 in the following applications:
Formulation, Preparation, and Storage
Purification
Unpurified
Formulation
Ascites
Preservative
0.05% Sodium Azide
Concentration
This product is unpurified. The exact concentration of antibody is not quantifiable.
Shipping
The product is shipped with polar packs. Upon receipt, store it immediately at the temperature recommended below.
Stability & Storage
Store at -20C. Avoid freeze-thaw cycles.
Background: gp96/HSP90B1
Long Name
Heat Shock Protein 90 beta 1
Alternate Names
ECGP, Endoplasmin, Grp94, HSP90B1
Gene Symbol
HSP90B1
UniProt
Additional gp96/HSP90B1 Products
Product Documents for gp96/HSP90B1/GRP94 Antibody (9G10)
Product Specific Notices for gp96/HSP90B1/GRP94 Antibody (9G10)
This product is for research use only and is not approved for use in humans or in clinical diagnosis. Primary Antibodies are guaranteed for 1 year from date of receipt.
Loading...
Loading...
Loading...
Loading...