Skip to main content

Goosecoid Antibody (4C5D5) - BSA Free

Novus Biologicals, part of Bio-Techne | Catalog # NBP2-37366

Novus Biologicals, part of Bio-Techne
Catalog #
Availability
Size / Price
Qty
Loading...
NBP2-37366-0.025ml
NBP2-37366

Key Product Details

Species Reactivity

Human

Applications

Immunohistochemistry, Immunohistochemistry-Paraffin, Western Blot, ELISA, Flow Cytometry, CyTOF-ready

Label

Unconjugated

Antibody Source

Monoclonal Mouse IgG1 Clone # 4C5D5

Format

BSA Free

Concentration

1 mg/ml

Product Specifications

Immunogen

Purified recombinant fragment of human Goosecoid (AA: 191-257) expressed in E. Coli.

Clonality

Monoclonal

Host

Mouse

Isotype

IgG1

Theoretical MW

28.2 kDa.
Disclaimer note: The observed molecular weight of the protein may vary from the listed predicted molecular weight due to post translational modifications, post translation cleavages, relative charges, and other experimental factors.

Description

Novus Biologicals Mouse Goosecoid Antibody (4C5D5) - BSA Free (NBP2-37366) is a monoclonal antibody validated for use in IHC, WB, ELISA and Flow. All Novus Biologicals antibodies are covered by our 100% guarantee.

Scientific Data Images for Goosecoid Antibody (4C5D5) - BSA Free

Western Blot: Goosecoid Antibody (4C5D5)BSA Free [NBP2-37366]

Western Blot: Goosecoid Antibody (4C5D5)BSA Free [NBP2-37366]

Western Blot: Goosecoid Antibody (4C5D5) [NBP2-37366] - Western blot analysis using GSC mAb against HEK293 (1) and GSC (AA: 191-257)-hIgGFc transfected HEK293 (2) cell lysate.
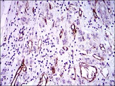
Immunohistochemistry: Goosecoid Antibody (4C5D5) - BSA Free [NBP2-37366]

Immunohistochemistry: Goosecoid Antibody (4C5D5) - BSA Free [NBP2-37366]

Immunohistochemistry: Goosecoid Antibody (4C5D5) [NBP2-37366] - Immunohistochemical analysis of paraffin-embedded liver cancer tissues using GSC mouse mAb with DAB staining.
Flow Cytometry: Goosecoid Antibody (4C5D5) - BSA Free [NBP2-37366]

Flow Cytometry: Goosecoid Antibody (4C5D5) - BSA Free [NBP2-37366]

Flow Cytometry: Goosecoid Antibody (4C5D5) [NBP2-37366] - Flow cytometric analysis of Hela cells using GSC mouse mAb (green) and negative control (red).

Applications for Goosecoid Antibody (4C5D5) - BSA Free

Application
Recommended Usage

ELISA

1:10000

Flow Cytometry

1:200 - 1:400

Immunohistochemistry

1:200 - 1:1000

Immunohistochemistry-Paraffin

1:200 - 1:1000

Western Blot

1:500 - 1:2000
Application Notes
This antibody is Cytof ready.

Formulation, Preparation, and Storage

Purification

Protein G purified

Formulation

PBS

Format

BSA Free

Preservative

0.05% Sodium Azide

Concentration

1 mg/ml

Shipping

The product is shipped with polar packs. Upon receipt, store it immediately at the temperature recommended below.

Stability & Storage

Store at 4C short term. Aliquot and store at -20C long term. Avoid freeze-thaw cycles.

Background: Goosecoid

The GSC gene encodes a member of the bicoid subfamily of the paired (PRD) homeobox family of proteins. The encoded protein acts as a transcription factor and may be autoregulatory. A similar protein in mice plays a role in craniofacial and rib cage developme

Alternate Names

GSC

Gene Symbol

GSC

Additional Goosecoid Products

Product Documents for Goosecoid Antibody (4C5D5) - BSA Free

Certificate of Analysis

To download a Certificate of Analysis, please enter a lot number in the search box below.

Product Specific Notices for Goosecoid Antibody (4C5D5) - BSA Free

This product is for research use only and is not approved for use in humans or in clinical diagnosis. Primary Antibodies are guaranteed for 1 year from date of receipt.

Loading...
Loading...
Loading...
Loading...
Loading...