Skip to main content

GOLGB1/Giantin Antibody (PSH03-86)

Novus Biologicals, part of Bio-Techne | Catalog # NBP3-32381

Recombinant Monoclonal Antibody
Novus Biologicals, part of Bio-Techne
Catalog #
Availability
Size / Price
Qty
Loading...
NBP3-32381

Key Product Details

Species Reactivity

Human, Mouse, Rat, Monkey

Applications

Immunohistochemistry, Immunohistochemistry-Paraffin, Western Blot, Flow Cytometry, Immunocytochemistry/ Immunofluorescence

Label

Unconjugated

Antibody Source

Recombinant Monoclonal Rabbit IgG Clone # PSH03-86 expressed in HEK293

Concentration

1 mg/ml

Product Specifications

Immunogen

Recombinant protein within human GOLGB1/Giantin aa 2,736-3,235 / 3,259. (Uniprot: Q14789)

Localization

Golgi apparatus membrane.

Clonality

Monoclonal

Host

Rabbit

Isotype

IgG

Theoretical MW

376 kDa.
Disclaimer note: The observed molecular weight of the protein may vary from the listed predicted molecular weight due to post translational modifications, post translation cleavages, relative charges, and other experimental factors.

Description

Novus Biologicals Rabbit GOLGB1/Giantin Antibody (PSH03-86) (NBP3-32381) is a recombinant monoclonal antibody validated for use in IHC, WB, Flow and ICC/IF. All Novus Biologicals antibodies are covered by our 100% guarantee.

Scientific Data Images for GOLGB1/Giantin Antibody (PSH03-86)

GOLGB1/Giantin Antibody (PSH03-86)

Western Blot: GOLGB1/Giantin Antibody (PSH03-86) [NBP3-32381]

Western Blot: GOLGB1/Giantin Antibody (PSH03-86) [NBP3-32381] - Western blot analysis of GOLGB1/Giantin on different lysates with Rabbit anti-GOLGB1/Giantin antibody (NBP3-32381) at 1/1,000 dilution.

Lane 1: A549 cell lysate (20 ug/Lane)
Lane 2: HeLa cell lysate (20 ug/Lane)
Lane 3: Jurkat cell lysate (20 ug/Lane)
Lane 4: HepG2 cell lysate (20 ug/Lane)
Lane 5: Vero cell lysate (20 ug/Lane)
Lane 6: NIH/3T3 cell lysate (20 ug/Lane)
Lane 7: PC-12 cell lysate (20 ug/Lane)
Lane 8: Mouse lung tissue lysate (40 ug/Lane)
Lane 9: Mouse small intestine tissue lysate (40 ug/Lane)
Lane 10: Rat lung tissue lysate (40 ug/Lane)

Predicted band size: 376 kDa
Observed band size: 376 kDa

Exposure time: Lane 1-6: 5 seconds; Lane 7-10: 1 minute 2 seconds;

3-8% SDS-PAGE gel.

Proteins were transferred to a PVDF membrane and blocked with 5% NFDM/TBST for 1 hour at room temperature. The primary antibody (NBP3-32381) at 1/1,000 dilution was used in 5% NFDM/TBST at 4 overnight. Goat Anti-Rabbit IgG - HRP Secondary Antibody at 1/50,000 dilution was used for 1 hour at room temperature.
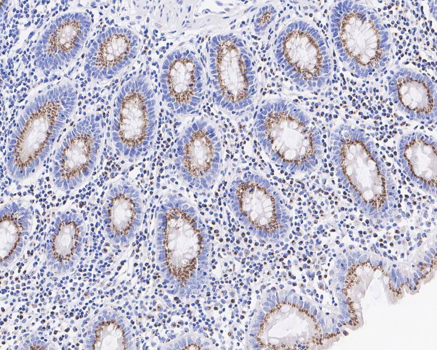
GOLGB1/Giantin Antibody (PSH03-86)

Immunohistochemistry: GOLGB1/Giantin Antibody (PSH03-86) [NBP3-32381]

Immunohistochemistry: GOLGB1/Giantin Antibody (PSH03-86) [NBP3-32381] - Immunohistochemical analysis of paraffin-embedded human colon tissue with Rabbit anti-GOLGB1/Giantin antibody (NBP3-32381) at 1/1,000 dilution.

The section was pre-treated using heat mediated antigen retrieval with Tris-EDTA buffer (pH 9.0) for 20 minutes. The tissues were blocked in 1% BSA for 20 minutes at room temperature, washed with ddH2O and PBS, and then probed with the primary antibody (NBP3-32381) at 1/1,000 dilution for 1 hour at room temperature. The detection was performed using an HRP conjugated compact polymer system. DAB was used as the chromogen. Tissues were counterstained with hematoxylin and mounted with DPX.
GOLGB1/Giantin Antibody (PSH03-86)

Immunocytochemistry/ Immunofluorescence: GOLGB1/Giantin Antibody (PSH03-86) [NBP3-32381]

Immunocytochemistry/ Immunofluorescence: GOLGB1/Giantin Antibody (PSH03-86) [NBP3-32381] - Immunocytochemistry analysis of HeLa cells labeling GOLGB1/Giantin with Rabbit anti-GOLGB1/Giantin antibody (NBP3-32381) at 1/100 dilution.

Cells were fixed in 4% paraformaldehyde for 20 minutes at room temperature, permeabilized with 0.1% Triton X-100 in PBS for 5 minutes at room temperature, then blocked with 1% BSA in 10% negative goat serum for 1 hour at room temperature. Cells were then incubated with Rabbit anti-GOLGB1/Giantin antibody (NBP3-32381) at 1/100 dilution in 1% BSA in PBST overnight at 4 ℃. Goat Anti-Rabbit IgG H&L (iFluor™ 488) was used as the secondary antibody at 1/1,000 dilution. PBS instead of the primary antibody was used as the secondary antibody only control. Nuclear DNA was labelled in blue with DAPI.

Beta tubulin (red) was stained at 1/100 dilution overnight at +4℃. Goat Anti-Mouse IgG H&L (iFluor™ 594) was used as the secondary antibody at 1/1,000 dilution.

Applications for GOLGB1/Giantin Antibody (PSH03-86)

Application
Recommended Usage

Flow Cytometry

1:1000

Immunocytochemistry/ Immunofluorescence

1:100

Immunohistochemistry-Paraffin

1:1000

Western Blot

1:1000

Formulation, Preparation, and Storage

Purification

Protein A purified

Formulation

PBS (pH7.4), 0.1% BSA and 40% Glycerol

Preservative

0.05% Sodium Azide

Concentration

1 mg/ml

Shipping

The product is shipped with polar packs. Upon receipt, store it immediately at the temperature recommended below.

Stability & Storage

Store at 4C short term. Aliquot and store at -20C long term. Avoid freeze-thaw cycles.

Background: GOLGB1/Giantin

The giantin (GOLGB1) gene codes for a golgin subfamily B member 1 protein that exists in isoform 1 at a length of 3,259 amino acids and a mass of 376 kDa or isoform 2 at 3,269 amino acids long and 377 kDA. GOLGB1 is thought to participate in the development of intercisternal cross-bridges of the Golgi complex. Researchers have investigated its role in hypertension, myopathy, hematopoiesis, encephalitis, and arthritis. GOLGB1 is known to interact with other genes such as PFN2, CAV2, USO1, SLC2A3, and GORASP2.

Long Name

Golgin B1

Alternate Names

GCP372, Giantin, GOLIM1, Macrogolgin

Gene Symbol

GOLGB1

Additional GOLGB1/Giantin Products

Product Documents for GOLGB1/Giantin Antibody (PSH03-86)

Certificate of Analysis

To download a Certificate of Analysis, please enter a lot number in the search box below.

Product Specific Notices for GOLGB1/Giantin Antibody (PSH03-86)

This product is for research use only and is not approved for use in humans or in clinical diagnosis. Primary Antibodies are guaranteed for 1 year from date of receipt.

Loading...
Loading...
Loading...
Loading...
Loading...