Skip to main content

GOLGA5 Antibody - BSA Free

Novus Biologicals, part of Bio-Techne | Catalog # NBP1-83352

Novus Biologicals, part of Bio-Techne
Catalog #
Availability
Size / Price
Qty
Loading...
NBP1-83352-25ul
NBP1-83352

Key Product Details

Validated by

Knockout/Knockdown, Orthogonal Validation, Independent Antibodies

Species Reactivity

Validated:

Human, Mouse

Cited:

Human, Mouse

Applications

Validated:

Immunohistochemistry, Immunohistochemistry-Paraffin, Western Blot, Immunocytochemistry/ Immunofluorescence, Knockdown Validated

Cited:

Immunohistochemistry-Paraffin, Western Blot, Immunocytochemistry/ Immunofluorescence

Label

Unconjugated

Antibody Source

Polyclonal Rabbit IgG

Format

BSA Free

Concentration

Concentrations vary lot to lot. See vial label for concentration. If unlisted please contact technical services.

Product Specifications

Immunogen

This antibody was developed against Recombinant Protein corresponding to amino acids: SSVNPSVTTIKTIEENSFGSQTHEAASNSDSSHEGQEESSKENVSSNAACPDHTPTPNDDGKSHELSNLRLENQLLRNEVQSLNQEMASLLQRSKETQEELNKARARVEKWNADHSKSDRMTRGLRAQVDDLTEAVAAKDSQLAVLKV

Reactivity Notes

Use in Mouse reported in scientific literature (PMID:31628189).

Marker

Golgi Apparatus Marker

Clonality

Polyclonal

Host

Rabbit

Isotype

IgG

Description

Novus Biologicals Rabbit GOLGA5 Antibody - BSA Free (NBP1-83352) is a polyclonal antibody validated for use in IHC, WB and ICC/IF. Anti-GOLGA5 Antibody: Cited in 6 publications. All Novus Biologicals antibodies are covered by our 100% guarantee.

Scientific Data Images for GOLGA5 Antibody - BSA Free

Immunohistochemistry-Paraffin: GOLGA5 Antibody [NBP1-83352]

Immunohistochemistry-Paraffin: GOLGA5 Antibody [NBP1-83352]

Immunohistochemistry-Paraffin: GOLGA5 Antibody [NBP1-83352] - Staining in human epididymis and skeletal muscle tissues using NBP1-83352 antibody. Corresponding GOLGA5 RNA-seq data are presented for the same tissues.
Immunohistochemistry-Paraffin: GOLGA5 Antibody [NBP1-83352]

Immunohistochemistry-Paraffin: GOLGA5 Antibody [NBP1-83352]

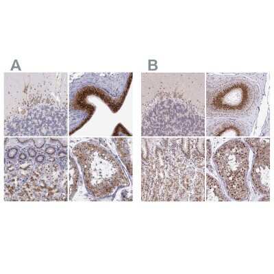
Immunohistochemistry-Paraffin: GOLGA5 Antibody [NBP1-83352] - Staining of human cerebellum, epididymis, stomach and testis using Anti-GOLGA5 antibody NBP1-83352 (A) shows similar protein distribution across tissues to independent antibody NBP2-39007 (B).
Immunocytochemistry/ Immunofluorescence: GOLGA5 Antibody [NBP1-83352]

Immunocytochemistry/ Immunofluorescence: GOLGA5 Antibody [NBP1-83352]

Immunocytochemistry/Immunofluorescence: GOLGA5 Antibody [NBP1-83352] - Staining of human cell line U-2 OS shows localization to the Golgi apparatus. Antibody staining is shown in green.

Applications for GOLGA5 Antibody - BSA Free

Application
Recommended Usage

Immunocytochemistry/ Immunofluorescence

0.25-2 ug/ml

Immunohistochemistry

1:200 - 1:500

Immunohistochemistry-Paraffin

1:200 - 1:500

Western Blot

0.04-0.4 ug/ml
Application Notes
For IHC-Paraffin, HIER pH 6 retrieval is recommended. ICC/IF, Fixation Permeabilization: Use PFA/Triton X-100.

Formulation, Preparation, and Storage

Purification

Affinity purified

Formulation

PBS (pH 7.2) and 40% Glycerol

Format

BSA Free

Preservative

0.02% Sodium Azide

Concentration

Concentrations vary lot to lot. See vial label for concentration. If unlisted please contact technical services.

Shipping

The product is shipped with polar packs. Upon receipt, store it immediately at the temperature recommended below.

Stability & Storage

Store at 4C short term. Aliquot and store at -20C long term. Avoid freeze-thaw cycles.

Background: GOLGA5

The Golgi apparatus, which participates in glycosylation and transport of proteins and lipids in the secretory pathway, consists of a series of stacked cisternae (flattened membrane sacs). Interactions between the Golgi and microtubules are thought to be important for the reorganization of the Golgi after it fragments during mitosis. This gene encodes a member of the golgin family of proteins, whose members localize to the Golgi. This protein is a coiled-coil membrane protein that has been postulated to play a role in vesicle tethering and docking. Translocations involving this gene and the ret proto-oncogene have been found in tumor tissues; the chimeric sequences have been designated RET-II and PTC5. [provided by RefSeq]

Alternate Names

Cell proliferation-inducing gene 31 protein, golgi autoantigen, golgin subfamily a, 5, golgin A5, Golgin subfamily A member 5, golgin-84, GOLIM5, Protein Ret-II, PTC5, RET-fused gene 5 protein, RETII, ret-II, rfg5, RFG5golgi integral membrane protein 5

Gene Symbol

GOLGA5

Additional GOLGA5 Products

Product Documents for GOLGA5 Antibody - BSA Free

Certificate of Analysis

To download a Certificate of Analysis, please enter a lot number in the search box below.

Product Specific Notices for GOLGA5 Antibody - BSA Free

This product is for research use only and is not approved for use in humans or in clinical diagnosis. Primary Antibodies are guaranteed for 1 year from date of receipt.

Loading...
Loading...
Loading...
Loading...