Skip to main content

GNPNAT1 Antibody - BSA Free

Novus Biologicals, part of Bio-Techne | Catalog # NBP3-46199

Novus Biologicals, part of Bio-Techne
Catalog #
Availability
Size / Price
Qty
Loading...
NBP3-46199

Key Product Details

Species Reactivity

Human, Mouse, Rat

Applications

Immunohistochemistry, Western Blot, ELISA, Immunoprecipitation

Label

Unconjugated

Antibody Source

Polyclonal Rabbit IgG

Format

BSA Free

Concentration

Please see the vial label for concentration. If unlisted please contact technical services.

Product Specifications

Immunogen

glucosamine-phosphate N-acetyltransferase 1. (Uniprot# Q96EK6)

Clonality

Polyclonal

Host

Rabbit

Isotype

IgG

Description

Novus Biologicals Rabbit GNPNAT1 Antibody - BSA Free (NBP3-46199) is a polyclonal antibody validated for use in IHC, WB, ELISA and IP. All Novus Biologicals antibodies are covered by our 100% guarantee.

Scientific Data Images for GNPNAT1 Antibody - BSA Free

GNPNAT1 Antibody - BSA Free

Immunoprecipitation: GNPNAT1 Antibody - BSA Free [NBP3-46199] -

Immunoprecipitation: GNPNAT1 Antibody - BSA Free [NBP3-46199] - IP Result of anti-GNPNAT1 (IP:, 3ug; Detection: 1:300) with mouse large intestine tissue lysate 3200ug.
GNPNAT1 Antibody - BSA Free

Western Blot: GNPNAT1 Antibody - BSA Free [NBP3-46199] -

Western Blot: GNPNAT1 Antibody - BSA Free [NBP3-46199] - Mouse large intestine tissue were subjected to SDS PAGE followed by western blot with (GNPNAT1 antibody) at dilution of 1:300
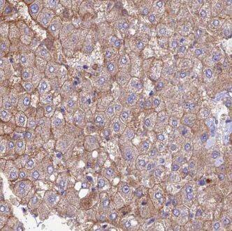
GNPNAT1 Antibody - BSA Free

Immunohistochemistry: GNPNAT1 Antibody - BSA Free [NBP3-46199] -

Immunohistochemistry: GNPNAT1 Antibody - BSA Free [NBP3-46199] - Immunohistochemistry of paraffin-embedded human liver using (GNPNAT1 antibody) at dilution of 1:100

Applications for GNPNAT1 Antibody - BSA Free

Application
Recommended Usage

Immunohistochemistry

1:20-1:200

Immunoprecipitation

1:200-1:1000

Western Blot

1:500-1:2000
Application Notes
Theoretical Molecular Weight is 21-23 kDa

Formulation, Preparation, and Storage

Purification

Immunogen affinity purified

Formulation

PBS, 50% Glycerol, pH (7.3)

Format

BSA Free

Preservative

0.02% Sodium Azide

Concentration

Please see the vial label for concentration. If unlisted please contact technical services.

Shipping

The product is shipped with polar packs. Upon receipt, store it immediately at the temperature recommended below.

Stability & Storage

Store at -20C. Avoid freeze-thaw cycles.

Background: GNPNAT1

The GNPNAT1 gene codes for a glucosamine 6-phosphate N-acetyltransferase protein in eukaryotes. It exists in only one sequence that is approximately 184 amino acids long and nearly 21 kDA in mass. The GNPNAT1 gene plays a role in the metabolism of post-translational proteins, metabolism of amino acids and nucleotide sugars, and UDP-N-acetyl-D-glucosamine biosynthesis II through interacts with genes ACLY, GBAS, PRKAG1, RPS8, and EIF3G. GPNAT1 has been investigated in various diseases such as sleeping sickness and pharyngitis.

Alternate Names

EC 2.3.1.4, FLJ10607, glucosamine 6-phosphate N-acetyltransferase, glucosamine-phosphate N-acetyltransferase 1, GNA1, GNPNAT, Gpnat1, Phosphoglucosamine acetylase, Phosphoglucosamine transacetylase

Gene Symbol

GNPNAT1

Additional GNPNAT1 Products

Product Documents for GNPNAT1 Antibody - BSA Free

Certificate of Analysis

To download a Certificate of Analysis, please enter a lot number in the search box below.

Product Specific Notices for GNPNAT1 Antibody - BSA Free

This product is for research use only and is not approved for use in humans or in clinical diagnosis. Primary Antibodies are guaranteed for 1 year from date of receipt.

Loading...
Loading...
Loading...
Loading...