Skip to main content

GNPNAT1 Antibody - BSA Free

Novus Biologicals, part of Bio-Techne | Catalog # NBP3-20224

Novus Biologicals, part of Bio-Techne
Catalog #
Availability
Size / Price
Qty
Loading...
NBP3-20224-100ul
NBP3-20224-50ul
Conjugate
Catalog #

Key Product Details

Species Reactivity

Human

Applications

Immunohistochemistry, Immunohistochemistry-Paraffin, Western Blot

Label

Unconjugated

Antibody Source

Polyclonal Rabbit IgG

Format

BSA Free

Concentration

Please see the vial label for concentration. If unlisted please contact technical services.

Product Specifications

Immunogen

Produced in rabbits immunized with E. coli-derived Human GNPNAT1 fragment

Clonality

Polyclonal

Host

Rabbit

Isotype

IgG

Description

This antibody can be stored at 2-8C for one month without detectable loss of activity. Antibody products are stable for twelve months from date of receipt when stored at -20C to -80C.

Scientific Data Images for GNPNAT1 Antibody - BSA Free

GNPNAT1 Antibody

Western Blot-NBP3-20224-GNPNAT1 Antibody-

Western Blot-NBP3-20224-GNPNAT1 Antibody-Lane A: MCF7 Whole Cell LysateLane B: HeLa Whole Cell LysateLane C: Mouse liver tissue lysateLane D: Mouse kidney tissueLysates/proteins at 30 ug per lane.SecondaryGoat Anti-Rabbit IgG (H+L)/HRP at 1/10000 dilution.Developed using the ECL technique.Performed under reducing conditions.Predicted band size:21 kDaObserved band size:24 kDa(We are unsure as to the identity of these extra bands.)
GNPNAT1 Antibody

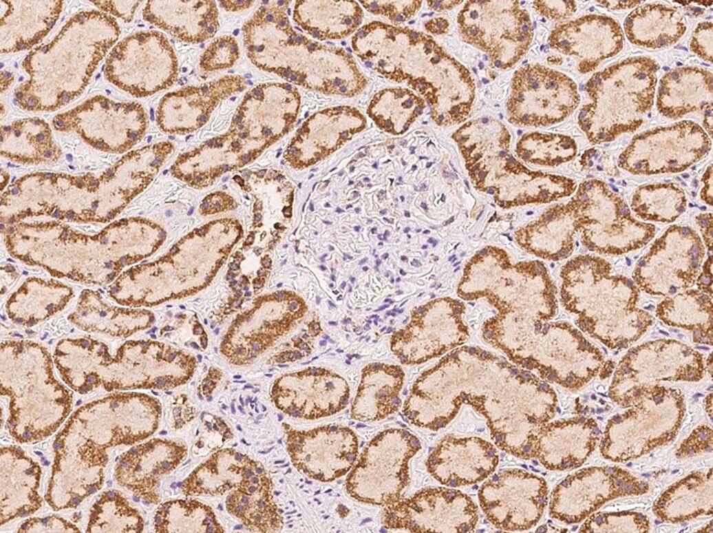
Immunohistochemistry-Paraffin-NBP3-20224-GNPNAT1 Antibody-

Immunohistochemistry-Paraffin-NBP3-20224-GNPNAT1 Antibody-Staining of human GNPNAT1 in human kidney with rabbit polyclonal antibody at 1:500 dilution, formalin-fixed paraffin embedded sections.
GNPNAT1 Antibody - BSA Free

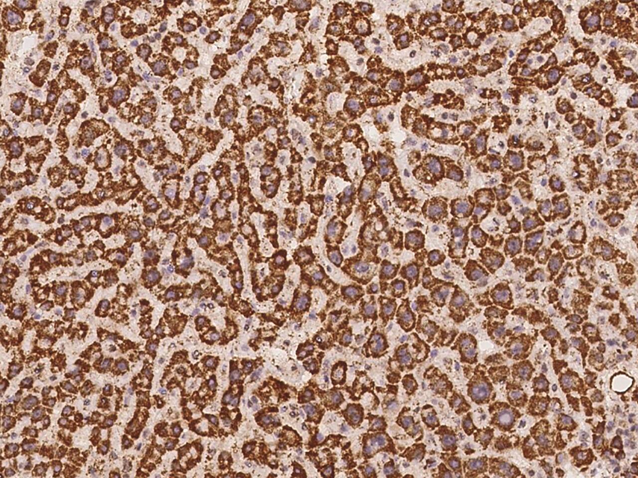
Immunohistochemistry-Paraffin: GNPNAT1 Antibody - BSA Free [NBP3-20224] -

Immunohistochemistry-Paraffin: GNPNAT1 Antibody - BSA Free [NBP3-20224] - Immunochemical staining of human GNPNAT1 in human liver with NBP3-20224 at 1:500 dilution, formalin-fixed paraffin embedded sections.

Applications for GNPNAT1 Antibody - BSA Free

Application
Recommended Usage

Immunohistochemistry-Paraffin

1:200-1:1000

Western Blot

1:500-1:2000

Formulation, Preparation, and Storage

Purification

Antigen and protein A Affinity-purified

Formulation

PBS

Format

BSA Free

Preservative

0.03% Proclin 300

Concentration

Please see the vial label for concentration. If unlisted please contact technical services.

Shipping

The product is shipped with polar packs. Upon receipt, store it immediately at the temperature recommended below.

Stability & Storage

Store at 4C short term. Aliquot and store at -20C long term. Avoid freeze-thaw cycles.

Background: GNPNAT1

The GNPNAT1 gene codes for a glucosamine 6-phosphate N-acetyltransferase protein in eukaryotes. It exists in only one sequence that is approximately 184 amino acids long and nearly 21 kDA in mass. The GNPNAT1 gene plays a role in the metabolism of post-translational proteins, metabolism of amino acids and nucleotide sugars, and UDP-N-acetyl-D-glucosamine biosynthesis II through interacts with genes ACLY, GBAS, PRKAG1, RPS8, and EIF3G. GPNAT1 has been investigated in various diseases such as sleeping sickness and pharyngitis.

Alternate Names

EC 2.3.1.4, FLJ10607, glucosamine 6-phosphate N-acetyltransferase, glucosamine-phosphate N-acetyltransferase 1, GNA1, GNPNAT, Gpnat1, Phosphoglucosamine acetylase, Phosphoglucosamine transacetylase

Gene Symbol

GNPNAT1

Additional GNPNAT1 Products

Product Documents for GNPNAT1 Antibody - BSA Free

Certificate of Analysis

To download a Certificate of Analysis, please enter a lot number in the search box below.

Product Specific Notices for GNPNAT1 Antibody - BSA Free

This product is for research use only and is not approved for use in humans or in clinical diagnosis. Primary Antibodies are guaranteed for 1 year from date of receipt.

Loading...
Loading...
Loading...
Loading...