Skip to main content

GNPNAT1 Antibody - BSA Free

Novus Biologicals, part of Bio-Techne | Catalog # NBP1-83842

Novus Biologicals, part of Bio-Techne
Catalog #
Availability
Size / Price
Qty
Loading...
NBP1-83842

Key Product Details

Species Reactivity

Human, Mouse, Rat

Applications

Immunohistochemistry, Immunohistochemistry-Paraffin, Western Blot

Label

Unconjugated

Antibody Source

Polyclonal Rabbit IgG

Format

BSA Free

Concentration

Concentrations vary lot to lot. See vial label for concentration. If unlisted please contact technical services.

Product Specifications

Immunogen

This antibody was developed against a recombinant protein corresponding to the amino acids: TPMFDPSLLKEVDWSQNTATFSPAISPTHPGEGLVLRPLCTADLNRGFFKVLGQLTETGVVSPEQFMKSFEHMKKSGDYYVTVVEDVTLGQIVATATLIIEHKFIHSCAKRGRVEDVVVSDECRGKQLGKLLLSTLTLLSKKLNCYKITLECLPQNVGFYKKFGYTVSEENYMCRR

Clonality

Polyclonal

Host

Rabbit

Isotype

IgG

Scientific Data Images for GNPNAT1 Antibody - BSA Free

Western Blot: GNPNAT1 Antibody [NBP1-83842]

Western Blot: GNPNAT1 Antibody [NBP1-83842]

Western Blot: GNPNAT1 Antibody [NBP1-83842] - Lane 1: Marker [kDa] 250, 130, 95, 72, 55, 36, 28, 17, 10. Lane 2: Human cell line RT-4. Lane 3: Human cell line U-251MG sp. Lane 4: Human plasma (IgG/HSA depleted). Lane 5: Human liver tissue. Lane 6: Human tonsil tissue
GNPNAT1 Antibody - BSA Free Immunohistochemistry-Paraffin: GNPNAT1 Antibody - BSA Free [NBP1-83842]

Immunohistochemistry-Paraffin: GNPNAT1 Antibody - BSA Free [NBP1-83842]

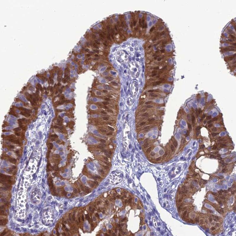
Staining of human fallopian tube shows moderate cytoplasmic positivity in glandular cells.
GNPNAT1 Antibody - BSA Free Immunohistochemistry-Paraffin: GNPNAT1 Antibody - BSA Free [NBP1-83842]

Immunohistochemistry-Paraffin: GNPNAT1 Antibody - BSA Free [NBP1-83842]

Staining of human liver shows strong cytoplasmic positivity in hepatocytes.

Applications for GNPNAT1 Antibody - BSA Free

Application
Recommended Usage

Immunohistochemistry

1:500 - 1:1000

Immunohistochemistry-Paraffin

1:500 - 1:1000

Western Blot

0.04-0.4 ug/ml
Application Notes
For IHC-Paraffin, HIER pH 6 retrieval is recommended.

Formulation, Preparation, and Storage

Purification

Affinity purified

Formulation

PBS (pH 7.2) and 40% Glycerol

Format

BSA Free

Preservative

0.02% Sodium Azide

Concentration

Concentrations vary lot to lot. See vial label for concentration. If unlisted please contact technical services.

Shipping

The product is shipped with polar packs. Upon receipt, store it immediately at the temperature recommended below.

Stability & Storage

Store at 4C short term. Aliquot and store at -20C long term. Avoid freeze-thaw cycles.

Background: GNPNAT1

The GNPNAT1 gene codes for a glucosamine 6-phosphate N-acetyltransferase protein in eukaryotes. It exists in only one sequence that is approximately 184 amino acids long and nearly 21 kDA in mass. The GNPNAT1 gene plays a role in the metabolism of post-translational proteins, metabolism of amino acids and nucleotide sugars, and UDP-N-acetyl-D-glucosamine biosynthesis II through interacts with genes ACLY, GBAS, PRKAG1, RPS8, and EIF3G. GPNAT1 has been investigated in various diseases such as sleeping sickness and pharyngitis.

Alternate Names

EC 2.3.1.4, FLJ10607, glucosamine 6-phosphate N-acetyltransferase, glucosamine-phosphate N-acetyltransferase 1, GNA1, GNPNAT, Gpnat1, Phosphoglucosamine acetylase, Phosphoglucosamine transacetylase

Gene Symbol

GNPNAT1

Additional GNPNAT1 Products

Product Documents for GNPNAT1 Antibody - BSA Free

Certificate of Analysis

To download a Certificate of Analysis, please enter a lot number in the search box below.

Product Specific Notices for GNPNAT1 Antibody - BSA Free

This product is for research use only and is not approved for use in humans or in clinical diagnosis. Primary Antibodies are guaranteed for 1 year from date of receipt.

Loading...
Loading...
Loading...
Loading...