Skip to main content

GNB5 Antibody - BSA Free

Novus Biologicals, part of Bio-Techne | Catalog # NBP3-46207

Novus Biologicals, part of Bio-Techne
Catalog #
Availability
Size / Price
Qty
Loading...
NBP3-46207

Key Product Details

Species Reactivity

Human, Mouse, Rat

Applications

ELISA, Immunohistochemistry, Immunoprecipitation, Western Blot

Label

Unconjugated

Antibody Source

Polyclonal Rabbit IgG

Format

BSA Free

Concentration

Please see the vial label for concentration. If unlisted please contact technical services.

Product Specifications

Immunogen

guanine nucleotide binding protein(G protein), beta 5. (Uniprot# O14775)

Clonality

Polyclonal

Host

Rabbit

Isotype

IgG

Description

Novus Biologicals Rabbit GNB5 Antibody - BSA Free (NBP3-46207) is a polyclonal antibody validated for use in IHC, WB, ELISA and IP. All Novus Biologicals antibodies are covered by our 100% guarantee.

Scientific Data Images for GNB5 Antibody - BSA Free

GNB5 Antibody - BSA Free

Immunoprecipitation: GNB5 Antibody - BSA Free [NBP3-46207] -

Immunoprecipitation: GNB5 Antibody - BSA Free [NBP3-46207] - IP Result of anti-GNB5 (IP:, 4ug; Detection: 1:500) with rat brain tissue lysate 4000ug.
GNB5 Antibody - BSA Free

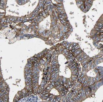
Immunohistochemistry: GNB5 Antibody - BSA Free [NBP3-46207] -

Immunohistochemistry: GNB5 Antibody - BSA Free [NBP3-46207] - Immunohistochemistry of paraffin-embedded human ovary tumor using (GNB5 antibody) at dilution of 1:100
GNB5 Antibody - BSA Free

Western Blot: GNB5 Antibody - BSA Free [NBP3-46207] -

Western Blot: GNB5 Antibody - BSA Free [NBP3-46207] - Mouse brain tissue were subjected to SDS PAGE followed by western blot with (GNB5 antibody) at dilution of 1:1000

Applications for GNB5 Antibody - BSA Free

Application
Recommended Usage

Immunohistochemistry

1:20-1:200

Immunoprecipitation

1:200-1:1000

Western Blot

1:500-1:2000
Application Notes
Theoretical Molecular Weight is 39-42 kDa

Formulation, Preparation, and Storage

Purification

Immunogen affinity purified

Formulation

PBS, 50% Glycerol, pH (7.3)

Format

BSA Free

Preservative

0.02% Sodium Azide

Concentration

Please see the vial label for concentration. If unlisted please contact technical services.

Shipping

The product is shipped with polar packs. Upon receipt, store it immediately at the temperature recommended below.

Stability & Storage

Store at -20C. Avoid freeze-thaw cycles.

Background: GNB5

FUNCTION: Guanine nucleotide-binding proteins (G proteins) are involved as a modulator or transducer in various transmembrane signaling systems. The beta and gamma chains are required for the GTPase activity, for replacement of GDP by GTP, and for G protein-effector interaction. SUBUNIT: G proteins are composed of 3 units, alpha, beta and gamma. Component of the RGS9-1-Gbeta5 complex composed of RGS9 (isoform RGS9-1), Gbeta5 (GNB5) and RGS9BP. TISSUE SPECIFICITY: Expressed in multiple tissues.

Alternate Names

FLJ37457, FLJ43714, G protein, beta subunit 5L, G protein, beta-5 subunit, GB5, Gbeta5, guanine nucleotide binding protein (G protein), beta 5, guanine nucleotide-binding protein subunit beta-5, guanine nucleotide-binding protein, beta subunit 5L, Transducin beta chain 5

Gene Symbol

GNB5

Additional GNB5 Products

Product Documents for GNB5 Antibody - BSA Free

Certificate of Analysis

To download a Certificate of Analysis, please enter a lot number in the search box below.

Product Specific Notices for GNB5 Antibody - BSA Free

This product is for research use only and is not approved for use in humans or in clinical diagnosis. Primary Antibodies are guaranteed for 1 year from date of receipt.

Loading...
Loading...
Loading...
Loading...