Skip to main content

Glycerol 3 Phosphate Dehydrogenase Antibody - BSA Free

Novus Biologicals, part of Bio-Techne | Catalog # NBP2-16688

Novus Biologicals, part of Bio-Techne
Catalog #
Availability
Size / Price
Qty
Loading...
NBP2-16688

Key Product Details

Species Reactivity

Validated:

Human, Rat

Predicted:

Bovine (91%), Mouse (91%), Porcine (90%). Backed by our 100% Guarantee.

Applications

Immunohistochemistry, Immunohistochemistry-Paraffin, Western Blot, Immunocytochemistry/ Immunofluorescence

Label

Unconjugated

Antibody Source

Polyclonal Rabbit IgG

Format

BSA Free

Concentration

Concentrations vary lot to lot. See vial label for concentration. If unlisted please contact technical services.

Product Specifications

Immunogen

Recombinant protein encompassing a sequence within the center region of human Glycerol 3 Phosphate Dehydrogenase. The exact sequence is proprietary.

Localization

Cytoplasm

Clonality

Polyclonal

Host

Rabbit

Isotype

IgG

Theoretical MW

38 kDa.
Disclaimer note: The observed molecular weight of the protein may vary from the listed predicted molecular weight due to post translational modifications, post translation cleavages, relative charges, and other experimental factors.

Description

Novus Biologicals Rabbit Glycerol 3 Phosphate Dehydrogenase Antibody - BSA Free (NBP2-16688) is a polyclonal antibody validated for use in IHC, WB and ICC/IF. All Novus Biologicals antibodies are covered by our 100% guarantee.

Scientific Data Images for Glycerol 3 Phosphate Dehydrogenase Antibody - BSA Free

Western Blot: Glycerol 3 Phosphate Dehydrogenase Antibody [NBP2-16688]

Western Blot: Glycerol 3 Phosphate Dehydrogenase Antibody [NBP2-16688]

Western Blot: Glycerol 3 Phosphate Dehydrogenase Antibody [NBP2-16688] - Sample (30 ug of whole cell lysate) A: A549 10% SDS PAGE diluted at 1:1000
Immunocytochemistry/ Immunofluorescence: Glycerol 3 Phosphate Dehydrogenase Antibody [NBP2-16688]

Immunocytochemistry/ Immunofluorescence: Glycerol 3 Phosphate Dehydrogenase Antibody [NBP2-16688]

Immunocytochemistry/Immunofluorescence: Glycerol 3 Phosphate Dehydrogenase Antibody [NBP2-16688] - HeLa cells were fixed in 4% paraformaldehyde at RT for 15 min. Green: GPD1 protein stained by GPD1 antibody diluted at 1:500. Blue: Hoechst 33342 staining.
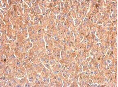
Immunohistochemistry-Paraffin: Glycerol 3 Phosphate Dehydrogenase Antibody [NBP2-16688]

Immunohistochemistry-Paraffin: Glycerol 3 Phosphate Dehydrogenase Antibody [NBP2-16688]

Immunohistochemistry-Paraffin: Glycerol 3 Phosphate Dehydrogenase Antibody [NBP2-16688] - Paraffin-embedded D54MG xenograft. GPD1 antibody dilution: 1:500. Antigen Retrieval: TrilogyTM (EDTA based) buffer, 15min

Applications for Glycerol 3 Phosphate Dehydrogenase Antibody - BSA Free

Application
Recommended Usage

Immunocytochemistry/ Immunofluorescence

1:100-1:1000

Immunohistochemistry

1:100-1:1000

Immunohistochemistry-Paraffin

1:100-1:1000

Western Blot

1:500-1:3000

Formulation, Preparation, and Storage

Purification

Antigen Affinity-purified

Formulation

0.1M Tris, 0.1M Glycine, 20% Glycerol

Format

BSA Free

Preservative

0.01% Thimerosal

Concentration

Concentrations vary lot to lot. See vial label for concentration. If unlisted please contact technical services.

Shipping

The product is shipped with polar packs. Upon receipt, store it immediately at the temperature recommended below.

Stability & Storage

Aliquot and store at -20C or -80C. Avoid freeze-thaw cycles.

Background: Glycerol 3 Phosphate Dehydrogenase

GPD1( AAH32234, 1 a.a. - 350 a.a.) full-length recombinant protein with GST.

Alternate Names

EC 1.1.1, EC 1.1.1.8, FLJ26652, glycerol-3-phosphate dehydrogenase [NAD+], cytoplasmic, glycerol-3-phosphate dehydrogenase 1 (soluble), glycerol-3-phosphate dehydrogenase, soluble, GPD-C, GPDH-C

Gene Symbol

GPD1

UniProt

Additional Glycerol 3 Phosphate Dehydrogenase Products

Product Documents for Glycerol 3 Phosphate Dehydrogenase Antibody - BSA Free

Certificate of Analysis

To download a Certificate of Analysis, please enter a lot number in the search box below.

Product Specific Notices for Glycerol 3 Phosphate Dehydrogenase Antibody - BSA Free

This product is for research use only and is not approved for use in humans or in clinical diagnosis. Primary Antibodies are guaranteed for 1 year from date of receipt.

Loading...
Loading...
Loading...
Loading...

⚠ WARNING: This product can expose you to chemicals including mercury, which is known to the State of California to cause reproductive toxicity with developmental effects.  For more information go to www.P65Warnings.ca.gov.