Skip to main content

GLYAT Antibody - BSA Free

Novus Biologicals, part of Bio-Techne | Catalog # NBP2-58917

Novus Biologicals, part of Bio-Techne
Catalog #
Availability
Size / Price
Qty
Loading...
NBP2-58917

Key Product Details

Validated by

Orthogonal Validation, Independent Antibodies

Species Reactivity

Human

Applications

Immunohistochemistry, Immunohistochemistry-Paraffin, Western Blot

Label

Unconjugated

Antibody Source

Polyclonal Rabbit IgG

Format

BSA Free

Concentration

Concentrations vary lot to lot. See vial label for concentration. If unlisted please contact technical services.

Product Specifications

Immunogen

This antibody was developed against a recombinant protein corresponding to the following amino acid sequence: YTNTYQIYSKDPQNCQEFLGSPELINWKQHLQIQSSQPSLNEAIQNLAAIKSFKVKQTQRILYMAAETAKELT

Clonality

Polyclonal

Host

Rabbit

Isotype

IgG

Description

Novus Biologicals Rabbit GLYAT Antibody - BSA Free (NBP2-58917) is a polyclonal antibody validated for use in IHC and WB. All Novus Biologicals antibodies are covered by our 100% guarantee.

Scientific Data Images for GLYAT Antibody - BSA Free

Western Blot: GLYAT Antibody [NBP2-58917]

Western Blot: GLYAT Antibody [NBP2-58917]

Western Blot: GLYAT Antibody [NBP2-58917] - Western blot analysis in human cell line RT-4, human cell line U-251 MG, human plasma and human liver tissue.
Immunohistochemistry-Paraffin: GLYAT Antibody [NBP2-58917]

Immunohistochemistry-Paraffin: GLYAT Antibody [NBP2-58917]

Immunohistochemistry-Paraffin: GLYAT Antibody [NBP2-58917] - Staining of human skeletal muscle.
Immunohistochemistry-Paraffin: GLYAT Antibody [NBP2-58917]

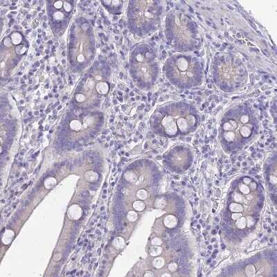
Immunohistochemistry-Paraffin: GLYAT Antibody [NBP2-58917]

Immunohistochemistry-Paraffin: GLYAT Antibody [NBP2-58917] - Staining of human duodenum shows low expression as expected.

Applications for GLYAT Antibody - BSA Free

Application
Recommended Usage

Immunohistochemistry

1:20 - 1:50

Immunohistochemistry-Paraffin

1:20 - 1:50

Western Blot

0.04-0.4 ug/ml
Application Notes
For IHC-Paraffin, HIER pH 6 retrieval is recommended. Immunocytochemistry/Immunofluorescence Fixation Permeabilization: Use PFA/Triton X-100.

Formulation, Preparation, and Storage

Purification

Affinity purified

Formulation

PBS (pH 7.2) and 40% Glycerol

Format

BSA Free

Preservative

0.02% Sodium Azide

Concentration

Concentrations vary lot to lot. See vial label for concentration. If unlisted please contact technical services.

Shipping

The product is shipped with polar packs. Upon receipt, store it immediately at the temperature recommended below.

Stability & Storage

Store at 4C short term. Aliquot and store at -20C long term. Avoid freeze-thaw cycles.

Background: GLYAT

The glycine-N-acyltransferase protein conjugates glycine with acyl-CoA substrates in the mitochondria. The protein is thought to be important in the detoxification of endogenous and xenobiotic acyl-CoA's. Two transcript variants encoding different isoforms have been found for this gene. [provided by RefSeq]

Alternate Names

ACGNATAAc, Acyl-CoA:glycine N-acyltransferase, Aralkyl acyl-CoA N-acyltransferase, Aralkyl acyl-CoA:amino acid N-acyltransferase, aralkyl-CoA N-acyltransferase, CATEC 2.3.1.13, GATHRP-1(CLP), glycine N-acyltransferase, glycine-N-acyltransferase

Gene Symbol

GLYAT

Additional GLYAT Products

Product Documents for GLYAT Antibody - BSA Free

Certificate of Analysis

To download a Certificate of Analysis, please enter a lot number in the search box below.

Product Specific Notices for GLYAT Antibody - BSA Free

This product is for research use only and is not approved for use in humans or in clinical diagnosis. Primary Antibodies are guaranteed for 1 year from date of receipt.

Loading...
Loading...
Loading...
Loading...