GLYAT Antibody - BSA Free
Novus Biologicals, part of Bio-Techne | Catalog # NBP2-55298
Key Product Details
Validated by
Orthogonal Validation, Independent Antibodies
Species Reactivity
Human
Applications
Immunohistochemistry, Immunohistochemistry-Paraffin, Western Blot
Label
Unconjugated
Antibody Source
Polyclonal Rabbit IgG
Format
BSA Free
Concentration
Concentrations vary lot to lot. See vial label for concentration. If unlisted please contact technical services.
Product Specifications
Immunogen
This antibody was developed against a recombinant protein corresponding to the following amino acid sequence: DQTGEMRMAGTLPEYRLHGLVTYVIYSHAQKLGKLGFPVYSHVDYSNEAMQKMSYTLQHVPIPRSWNQWNCVPL
Clonality
Polyclonal
Host
Rabbit
Isotype
IgG
Description
Novus Biologicals Rabbit GLYAT Antibody - BSA Free (NBP2-55298) is a polyclonal antibody validated for use in IHC and WB. All Novus Biologicals antibodies are covered by our 100% guarantee.
Scientific Data Images for GLYAT Antibody - BSA Free
Western Blot: GLYAT Antibody [NBP2-55298]
Western Blot: GLYAT Antibody [NBP2-55298] - Analysis in human cell line RT-4 and human cell line U-251 MG.Immunohistochemistry-Paraffin: GLYAT Antibody [NBP2-55298]
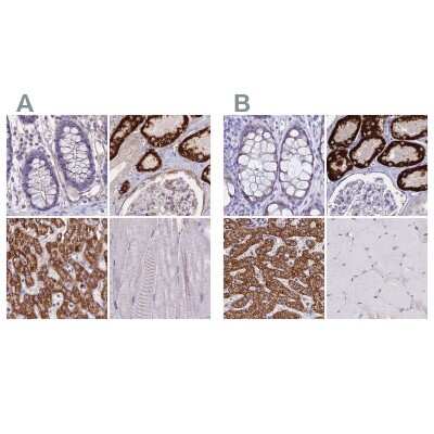
Immunohistochemistry-Paraffin: GLYAT Antibody [NBP2-55298] - Staining of human liver.Immunohistochemistry-Paraffin: GLYAT Antibody [NBP2-55298]
Immunohistochemistry-Paraffin: GLYAT Antibody [NBP2-55298] - Staining of human kidney shows high expression.Applications for GLYAT Antibody - BSA Free
Application
Recommended Usage
Immunohistochemistry
1:20 - 1:50
Immunohistochemistry-Paraffin
1:20 - 1:50
Western Blot
0.04-0.4 ug/ml
Application Notes
For IHC-Paraffin, HIER pH 6 retrieval is recommended.
Formulation, Preparation, and Storage
Purification
Affinity purified
Formulation
PBS (pH 7.2) and 40% Glycerol
Format
BSA Free
Preservative
0.02% Sodium Azide
Concentration
Concentrations vary lot to lot. See vial label for concentration. If unlisted please contact technical services.
Shipping
The product is shipped with polar packs. Upon receipt, store it immediately at the temperature recommended below.
Stability & Storage
Store at 4C short term. Aliquot and store at -20C long term. Avoid freeze-thaw cycles.
Background: GLYAT
Alternate Names
ACGNATAAc, Acyl-CoA:glycine N-acyltransferase, Aralkyl acyl-CoA N-acyltransferase, Aralkyl acyl-CoA:amino acid N-acyltransferase, aralkyl-CoA N-acyltransferase, CATEC 2.3.1.13, GATHRP-1(CLP), glycine N-acyltransferase, glycine-N-acyltransferase
Gene Symbol
GLYAT
Additional GLYAT Products
Product Documents for GLYAT Antibody - BSA Free
Product Specific Notices for GLYAT Antibody - BSA Free
This product is for research use only and is not approved for use in humans or in clinical diagnosis. Primary Antibodies are guaranteed for 1 year from date of receipt.
Loading...
Loading...
Loading...
Loading...