Skip to main content

Glutathione Reductase Antibody - BSA Free

Novus Biologicals, part of Bio-Techne | Catalog # NBP2-16684

Novus Biologicals, part of Bio-Techne
Catalog #
Availability
Size / Price
Qty
Loading...
NBP2-16684

Key Product Details

Species Reactivity

Validated:

Human, Mouse, Rat

Cited:

Human, Rat

Applications

Validated:

Immunohistochemistry, Immunohistochemistry-Paraffin, Western Blot, Electron Microscopy

Cited:

Western Blot

Label

Unconjugated

Antibody Source

Polyclonal Rabbit IgG

Format

BSA Free

Concentration

Concentrations vary lot to lot. See vial label for concentration. If unlisted please contact technical services.

Product Specifications

Immunogen

Recombinant protein encompassing a sequence within the center region of human Glutathione Reductase. The exact sequence is proprietary.

Reactivity Notes

Bovine (84%).

Localization

Mitochondrion; Cytoplasm

Clonality

Polyclonal

Host

Rabbit

Isotype

IgG

Theoretical MW

56 kDa.
Disclaimer note: The observed molecular weight of the protein may vary from the listed predicted molecular weight due to post translational modifications, post translation cleavages, relative charges, and other experimental factors.

Description

Novus Biologicals Rabbit Glutathione Reductase Antibody - BSA Free (NBP2-16684) is a polyclonal antibody validated for use in IHC and WB. Anti-Glutathione Reductase Antibody: Cited in 2 publications. All Novus Biologicals antibodies are covered by our 100% guarantee.

Scientific Data Images for Glutathione Reductase Antibody - BSA Free

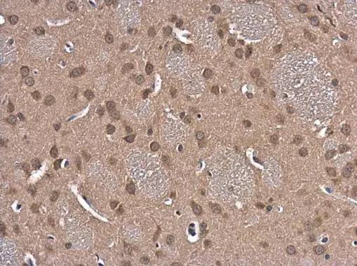
Immunohistochemistry-Paraffin: Glutathione Reductase Antibody [NBP2-16684]

Immunohistochemistry-Paraffin: Glutathione Reductase Antibody [NBP2-16684]

Immunohistochemistry-Paraffin: Glutathione Reductase Antibody [NBP2-16684] - Rat brain. Glutathione reductase antibody [N2C2], Internal diluted at 1:500. Antigen Retrieval: Citrate buffer, pH 6.0, 15 min.
Glutathione Reductase Antibody - BSA Free

Immunohistochemistry-Paraffin: Glutathione Reductase Antibody [NBP2-16684] -

Glutathione reductase antibody [N2C2], Internal detects Glutathione reductase protein at cytoplasm and nucleus in rat brain by immunohistochemical analysis.
Sample: Paraffin-embedded rat brain.
Glutathione reductase antibody [N2C2], Internal (NBP2-16684) diluted at 1:500.
br>Antigen Retrieval: Citrate buffer, pH 6.0, 15 min
Glutathione Reductase Antibody - BSA Free

Western Blot: Glutathione Reductase Antibody [NBP2-16684] -

Mouse tissue extract (50 ug) was separated by 10% SDS-PAGE, and the membrane was blotted with Glutathione reductase (NBP2-16684) diluted at 1:1000. The HRP-conjugated anti-rabbit IgG antibody was used to detect the primary antibody.

Applications for Glutathione Reductase Antibody - BSA Free

Application
Recommended Usage

Electron Microscopy

Assay Dependent

Immunohistochemistry

1:100-1:1000

Immunohistochemistry-Paraffin

1:100-1:1000

Western Blot

1:500-1:3000

Formulation, Preparation, and Storage

Purification

Antigen Affinity-purified

Formulation

PBS, 20% Glycerol

Format

BSA Free

Preservative

0.025% Proclin 300

Concentration

Concentrations vary lot to lot. See vial label for concentration. If unlisted please contact technical services.

Shipping

The product is shipped with polar packs. Upon receipt, store it immediately at the temperature recommended below.

Stability & Storage

Aliquot and store at -20C or -80C. Avoid freeze-thaw cycles.

Background: Glutathione Reductase

This gene encodes a member of the class-I pyridine nucleotide-disulfide oxidoreductase family. This enzyme is a homodimeric flavoprotein. It is a central enzyme of cellular antioxidant defense, and reduces oxidized glutathione disulfide (GSSG) to the sulfhydryl form GSH, which is an important cellular antioxidant. Rare mutations in this gene result in hereditary glutathione reductase deficiency. Multiple alternatively spliced transcript variants encoding different isoforms have been found. [provided by RefSeq]

Alternate Names

GLUR, GRase, GRD1, GSR, HEL-752

Gene Symbol

GSR

UniProt

Additional Glutathione Reductase Products

Product Documents for Glutathione Reductase Antibody - BSA Free

Certificate of Analysis

To download a Certificate of Analysis, please enter a lot number in the search box below.

Product Specific Notices for Glutathione Reductase Antibody - BSA Free

This product is for research use only and is not approved for use in humans or in clinical diagnosis. Primary Antibodies are guaranteed for 1 year from date of receipt.

Loading...
Loading...
Loading...
Loading...

⚠ WARNING: This product can expose you to chemicals including mercury, which is known to the State of California to cause reproductive toxicity with developmental effects.  For more information go to www.P65Warnings.ca.gov.