Skip to main content

Glutathione Peroxidase 2/GPX2 Antibody - BSA Free

Novus Biologicals, part of Bio-Techne | Catalog # NBP3-03209

Novus Biologicals, part of Bio-Techne
Catalog #
Availability
Size / Price
Qty
Loading...
NBP3-03209-100ul
NBP3-03209-20ul

Key Product Details

Species Reactivity

Human, Mouse, Rat

Applications

Immunohistochemistry, Immunohistochemistry-Paraffin, Western Blot

Label

Unconjugated

Antibody Source

Polyclonal Rabbit IgG

Format

BSA Free

Concentration

Please see the vial label for concentration. If unlisted please contact technical services.

Product Specifications

Immunogen

Recombinant fusion protein containing a sequence corresponding to amino acids 100-180 of human Glutathione Peroxidase 2/GPX2 (NP_002074.2). TLVQKCEVNGQNEHPVFAYLKDKLPYPYDDPFSLMTDPKLIIWSPVRRSDVAWNFEKFLIGPEGEPFRRYSRTFPTINIEP

Clonality

Polyclonal

Host

Rabbit

Isotype

IgG

Theoretical MW

21 kDa.
Disclaimer note: The observed molecular weight of the protein may vary from the listed predicted molecular weight due to post translational modifications, post translation cleavages, relative charges, and other experimental factors.

Description

Novus Biologicals Rabbit Glutathione Peroxidase 2/GPX2 Antibody - BSA Free (NBP3-03209) is a polyclonal antibody validated for use in IHC and WB. All Novus Biologicals antibodies are covered by our 100% guarantee.

Scientific Data Images for Glutathione Peroxidase 2/GPX2 Antibody - BSA Free

Western Blot: Glutathione Peroxidase 2/GPX2 AntibodyAzide and BSA Free [NBP3-03209]

Western Blot: Glutathione Peroxidase 2/GPX2 AntibodyAzide and BSA Free [NBP3-03209]

Western Blot: Glutathione Peroxidase 2/GPX2 Antibody [NBP3-03209] - Analysis of extracts of various cell lines, using Glutathione Peroxidase 2/GPx2 antibody at 1:1000 dilution. Secondary antibody: HRP Goat Anti-Rabbit IgG (H+L) at 1:10000 dilution. Lysates/proteins: 25ug per lane. Blocking buffer: 3% nonfat dry milk in TBST.
Immunohistochemistry-Paraffin: Glutathione Peroxidase 2/GPX2 Antibody - Azide and BSA Free [NBP3-03209]

Immunohistochemistry-Paraffin: Glutathione Peroxidase 2/GPX2 Antibody - Azide and BSA Free [NBP3-03209]

Immunohistochemistry-Paraffin: Glutathione Peroxidase 2/GPX2 Antibody [NBP3-03209] - Mouse stomach using Glutathione Peroxidase 2/GPx2 antibody at dilution of 1:100 (40x lens).
Immunohistochemistry-Paraffin: Glutathione Peroxidase 2/GPX2 Antibody - Azide and BSA Free [NBP3-03209]

Immunohistochemistry-Paraffin: Glutathione Peroxidase 2/GPX2 Antibody - Azide and BSA Free [NBP3-03209]

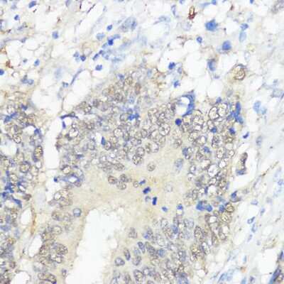
Immunohistochemistry-Paraffin: Glutathione Peroxidase 2/GPX2 Antibody [NBP3-03209] - Human colon carcinoma using Glutathione Peroxidase 2/GPx2 antibody at dilution of 1:100 (40x lens).

Applications for Glutathione Peroxidase 2/GPX2 Antibody - BSA Free

Application
Recommended Usage

Immunohistochemistry

1:50-1:200

Western Blot

1:500-1:2000

Formulation, Preparation, and Storage

Purification

Affinity purified

Formulation

PBS (pH 7.3), 50% glycerol

Format

BSA Free

Preservative

0.09% Sodium Azide

Concentration

Please see the vial label for concentration. If unlisted please contact technical services.

Shipping

The product is shipped with polar packs. Upon receipt, store it immediately at the temperature recommended below.

Stability & Storage

Store at -20C. Avoid freeze-thaw cycles.

Background: Glutathione Peroxidase 2/GPX2

Glutathione Peroxidase 2 is a member of the glutathione peroxidase family and encodes a selenium-dependent glutathione peroxidase that is one of two isoenzymes responsible for the majority of the glutathione-dependent hydrogen peroxide-reducing activity in the epithelium of the gastrointestinal tract. Studies in knockout mice indicate that mRNA expression levels respond to luminal microflora, suggesting a role of the ileal glutathione peroxidases in preventing inflammation in the GI tract.

Alternate Names

GIGPX, GPRP, GPX2

Gene Symbol

GPX2

Additional Glutathione Peroxidase 2/GPX2 Products

Product Documents for Glutathione Peroxidase 2/GPX2 Antibody - BSA Free

Certificate of Analysis

To download a Certificate of Analysis, please enter a lot number in the search box below.

Product Specific Notices for Glutathione Peroxidase 2/GPX2 Antibody - BSA Free

This product is for research use only and is not approved for use in humans or in clinical diagnosis. Primary Antibodies are guaranteed for 1 year from date of receipt.

Loading...
Loading...
Loading...
Loading...

⚠ WARNING: This product can expose you to chemicals including Methotrexate, which is known to the State of California to cause reproductive toxicity with developmental effects. For more information, go to www.P65Warnings.ca.gov