Skip to main content

Glutamine Synthetase Antibody (OTI1F4)

Novus Biologicals, part of Bio-Techne | Catalog # NBP2-02125

Novus Biologicals, part of Bio-Techne
Catalog #
Availability
Size / Price
Qty
Loading...
NBP2-02125

Key Product Details

Species Reactivity

Human, Mouse, Rat

Applications

Flow Cytometry, Immunocytochemistry/ Immunofluorescence, Immunohistochemistry, Immunohistochemistry-Paraffin, Western Blot

Label

Unconjugated

Antibody Source

Monoclonal Mouse IgG2A Clone # OTI1F4

Concentration

1 mg/ml

Product Specifications

Immunogen

Full length human recombinant protein of human GLUL (NP_002056) produced in HEK293T cell.

Reactivity Notes

Please note that this antibody is reactive to Mouse and derived from the same host, Mouse. Mouse-On-Mouse blocking reagent may be needed for IHC and ICC experiments to reduce high background signal. You can find these reagents under catalog numbers PK-2200-NB and MP-2400-NB. Please contact Technical Support if you have any questions.

Clonality

Monoclonal

Host

Mouse

Isotype

IgG2A

Theoretical MW

41.9 kDa.
Disclaimer note: The observed molecular weight of the protein may vary from the listed predicted molecular weight due to post translational modifications, post translation cleavages, relative charges, and other experimental factors.

Description

Novus Biologicals Mouse Glutamine Synthetase Antibody (OTI1F4) (NBP2-02125) is a monoclonal antibody validated for use in IHC, WB, Flow and ICC/IF. All Novus Biologicals antibodies are covered by our 100% guarantee.

Scientific Data Images for Glutamine Synthetase Antibody (OTI1F4)

Western Blot: Glutamine Synthetase Antibody (1F4) [NBP2-02125] Analysis of extracts (35ug) from 9 different cell lines by usin g anti-Glutamine Synthetase monoclonal antibody (HepG2: human; HeLa: human; SVT2: mouse; A549: human; COS7: monkey; Jurkat: human; MDCK: canine; PC12: rat; MCF7: human).
Immunocytochemistry/ Immunofluorescence: Glutamine Synthetase Antibody (OTI1F4) [NBP2-02125]

Immunocytochemistry/ Immunofluorescence: Glutamine Synthetase Antibody (OTI1F4) [NBP2-02125]

Immunocytochemistry/Immunofluorescence: Glutamine Synthetase Antibody (OTI1F4) [NBP2-02125] - Staining of COS7 cells transiently transfected by pCMV6-ENTRY Glutamine Synthetase.
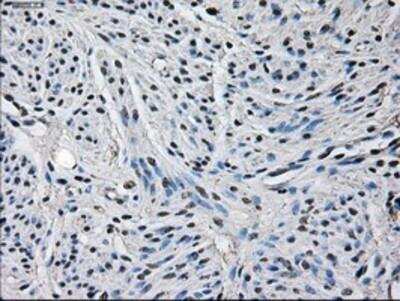
Immunohistochemistry-Paraffin: Glutamine Synthetase Antibody (OTI1F4) [NBP2-02125]

Immunohistochemistry-Paraffin: Glutamine Synthetase Antibody (OTI1F4) [NBP2-02125]

Immunohistochemistry-Paraffin: Glutamine Synthetase Antibody (1F4) [NBP2-02125] - Staining of paraffin-embedded Human Ovary tissue using anti-Glutamine Synthetase mouse monoclonal antibody.

Applications for Glutamine Synthetase Antibody (OTI1F4)

Application
Recommended Usage

Flow Cytometry

1:100

Immunocytochemistry/ Immunofluorescence

1:50-100

Immunohistochemistry

1:50

Immunohistochemistry-Paraffin

1:50

Western Blot

1:1000-2000

Formulation, Preparation, and Storage

Purification

Immunogen affinity purified

Formulation

PBS (pH 7.3), 1.0% BSA and 50% Glycerol

Preservative

0.02% Sodium Azide

Concentration

1 mg/ml

Shipping

The product is shipped with polar packs. Upon receipt, store it immediately at the temperature recommended below.

Stability & Storage

Store at -20C. Avoid freeze-thaw cycles.

Background: Glutamine Synthetase

The protein encoded by this gene belongs to the glutamine synthetase family. It catalyzes the synthesis of glutamine from glutamate and ammonia. Glutamine is a main source of energy and is involved in cell proliferation, inhibition of apoptosis, and cell signaling. This gene is expressed during early fetal stages, and plays an important role in controlling body pH by removing ammonia from circulation. Mutations in this gene are associated with congenital glutamine deficiency. Several alternatively spliced transcript variants have been found for this gene.

Alternate Names

cell proliferation-inducing protein 59, EC 4.1.1.15, EC 6.3.1.2, GLNSPIG59, Glutamate decarboxylase, glutamate-ammonia ligase, Glutamate--ammonia ligase, glutamate-ammonia ligase (glutamine synthase), glutamine synthase, glutamine synthetase, GS, PIG43, proliferation-inducing protein 43

Entrez Gene IDs

2752 (Human)

Gene Symbol

GLUL

Additional Glutamine Synthetase Products

Product Documents for Glutamine Synthetase Antibody (OTI1F4)

Certificate of Analysis

To download a Certificate of Analysis, please enter a lot number in the search box below.

Product Specific Notices for Glutamine Synthetase Antibody (OTI1F4)

This product is for research use only and is not approved for use in humans or in clinical diagnosis. Primary Antibodies are guaranteed for 1 year from date of receipt.

Loading...
Loading...
Loading...
Loading...
Loading...