Skip to main content

Glut3 Antibody (14B1) - BSA Free

Novus Biologicals, part of Bio-Techne | Catalog # NBP3-26317

Recombinant monoclonal antibody expressed in HEK293F cells
Novus Biologicals, part of Bio-Techne
Catalog #
Availability
Size / Price
Qty
Loading...
NBP3-26317-100ul
NBP3-26317-50ul

Key Product Details

Species Reactivity

Human

Applications

ELISA, Flow Cytometry, Immunohistochemistry, Western Blot

Label

Unconjugated

Antibody Source

Recombinant Monoclonal Rabbit IgG Clone # 14B1 expressed in HEK293

Format

BSA Free

Concentration

Please see the vial label for concentration. If unlisted please contact technical services.

Product Specifications

Immunogen

A synthesized peptide derived from Human Glut3 [UniProt P11169]

Clonality

Monoclonal

Host

Rabbit

Isotype

IgG

Description

Novus Biologicals Rabbit Glut3 Antibody (14B1) - BSA Free (NBP3-26317) is a recombinant monoclonal antibody validated for use in IHC, WB, ELISA and Flow. All Novus Biologicals antibodies are covered by our 100% guarantee.

Scientific Data Images for Glut3 Antibody (14B1) - BSA Free

Glut3 Antibody (14B1)

Immunohistochemistry: Glut3 Antibody (14B1) [NBP3-26317] -

Immunohistochemistry: Glut3 Antibody (14B1) [NBP3-26317] - Image of Glut3 Antibody (14B1) diluted at 1:100 and staining in paraffin-embedded human placenta tissue performed. After dewaxing and hydration, antigen retrieval was mediated by high pressure in a citrate buffer (pH 6.0). Section was blocked with 10% normal goat serum 30min at RT. Then primary antibody (1% BSA) was incubated at 4C overnight. The primary is detected by a Goat anti-rabbit polymer IgG labeled by HRP and visualized using 0.05% DAB.
Glut3 Antibody (14B1)

Immunohistochemistry: Glut3 Antibody (14B1) [NBP3-26317] -

Immunohistochemistry: Glut3 Antibody (14B1) [NBP3-26317] - Image of Glut3 Antibody (14B1) diluted at 1:100 and staining in paraffin-embedded human placenta tissue performed. After dewaxing and hydration, antigen retrieval was mediated by high pressure in a citrate buffer (pH 6.0). Section was blocked with 10% normal goat serum 30min at RT. Then primary antibody (1% BSA) was incubated at 4°C overnight. The primary is detected by a Goat anti-rabbit polymer IgG labeled by HRP and visualized using 0.05% DAB.
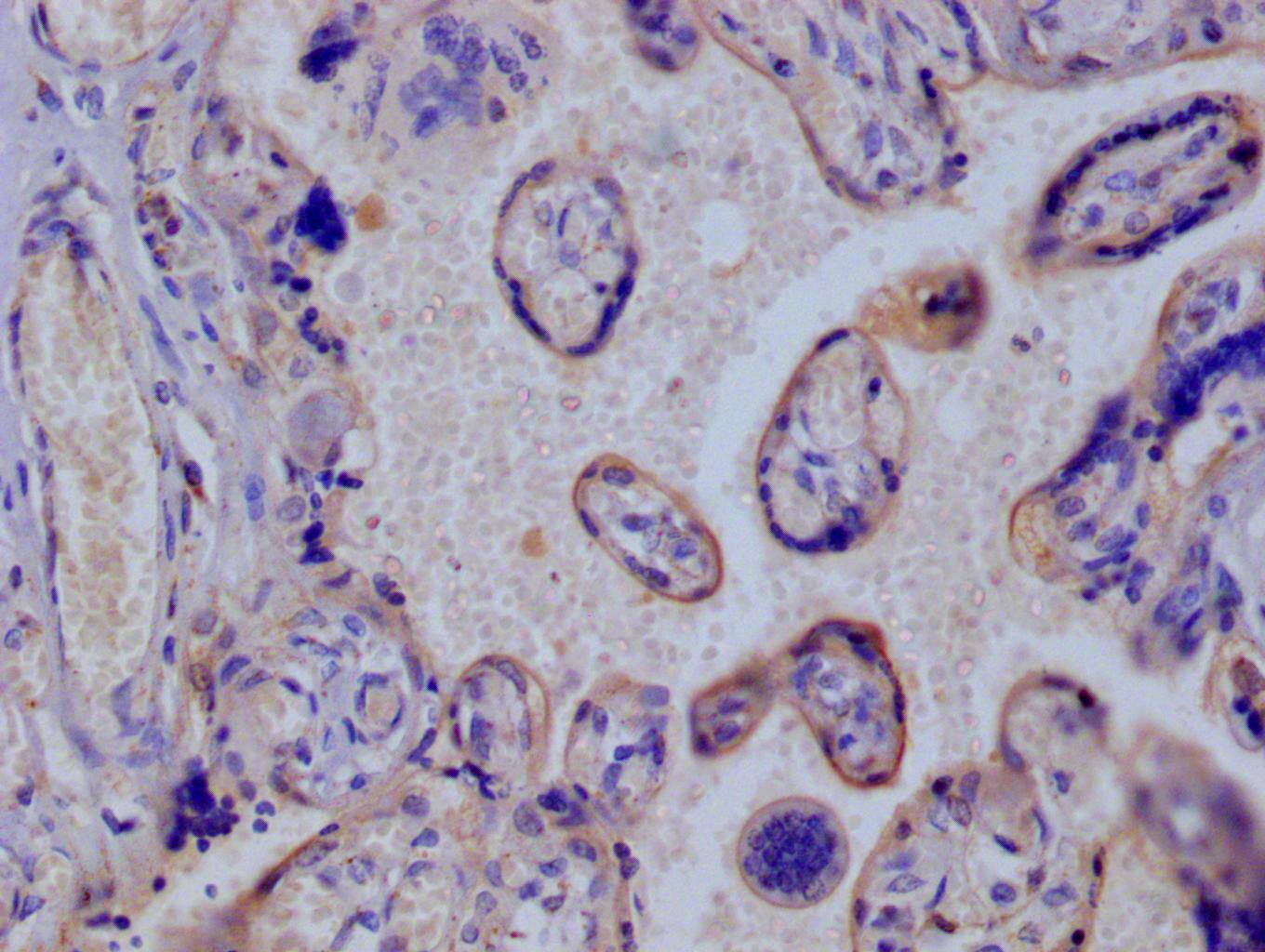
Glut3 Antibody (14B1)

Immunohistochemistry: Glut3 Antibody (14B1) [NBP3-26317] -

Immunohistochemistry: Glut3 Antibody (14B1) [NBP3-26317] - Image of Glut3 Antibody (14B1) diluted at 1:100 and staining in paraffin-embedded human placenta tissue performed. After dewaxing and hydration, antigen retrieval was mediated by high pressure in a citrate buffer (pH 6.0). Section was blocked with 10% normal goat serum 30min at RT. Then primary antibody (1% BSA) was incubated at 4°C overnight. The primary is detected by a Goat anti-rabbit polymer IgG labeled by HRP and visualized using 0.05% DAB.

Applications for Glut3 Antibody (14B1) - BSA Free

Application
Recommended Usage

Flow Cytometry

1:50-1:200

Immunohistochemistry

1:50-1:200

Western Blot

1:500-1:2000

Formulation, Preparation, and Storage

Purification

Affinity purified

Formulation

PBS, pH 7.4, 150mM NaCl, and 50% glycerol

Format

BSA Free

Preservative

0.02% Sodium Azide

Concentration

Please see the vial label for concentration. If unlisted please contact technical services.

Shipping

The product is shipped with polar packs. Upon receipt, store it immediately at the temperature recommended below.

Stability & Storage

Store at -20 to -70C. Avoid freeze-thaw cycles.

Background: Glut3

Glucose is the major source of our energy and there are numerous isoforms of the glucose transporter in mammals, including Glut1, Glut2, Glut3, Glut4, Glut5, Glut6, Glut7, Glut8 and Glut9. The Glut5 gene located on the short arm of human chromosome 1 encodes a 501-amino acid facilitative glucose transporter. Glut5 mRNA is highly expressed in small intestine and to a lesser extent in kidney, skeletal muscle and adipose tissue. Glut5 plays a critical role in fructose absorption in the small intestine and its expression is highly induced when exposed to a fructose-enriched diet. Glut5 transporter expressed in human skeletal muscle is specifically localized to the plasma membrane, where it participates in regulating hexose transfer across the sarcolemma. Glut8, a novel glucose transporter-like protein, exhibits significant sequence similarity with the other members of sugar transporter family. Glut8 comprises 12 putative membrane-spanning helices and several conserved motifs, which are important for transport activity. In human tissues, Glut8 is predominantly expressed in testis and, to a lesser extent, in most other tissues including skeletal muscle, heart, small intestine and brain. In addition, the Glut8 glucose transport facilitator has a hormonally regulated testicular function.

Long Name

Glucose Transporter Type 3

Alternate Names

SLC2A3

Gene Symbol

SLC2A3

Additional Glut3 Products

Product Documents for Glut3 Antibody (14B1) - BSA Free

Certificate of Analysis

To download a Certificate of Analysis, please enter a lot number in the search box below.

Product Specific Notices for Glut3 Antibody (14B1) - BSA Free

This product is for research use only and is not approved for use in humans or in clinical diagnosis. Primary Antibodies are guaranteed for 1 year from date of receipt.

Loading...
Loading...
Loading...
Loading...
Loading...