Skip to main content

Glut1 Antibody (GLUT1/2475)

Novus Biologicals, part of Bio-Techne | Catalog # NBP2-75784

Novus Biologicals, part of Bio-Techne
Catalog #
Availability
Size / Price
Qty
Loading...
NBP2-75784-100ug
NBP2-75784-20ug

Key Product Details

Species Reactivity

Human

Applications

ELISA, Flow Cytometry, Immunocytochemistry/ Immunofluorescence, Immunohistochemistry, Immunohistochemistry-Paraffin, Protein Array, Western Blot

Label

Unconjugated

Antibody Source

Monoclonal Mouse IgG2b Kappa Clone # GLUT1/2475

Concentration

0.2 mg/ml

Product Specifications

Immunogen

Recombinant fragment of human Glut1 protein (around aa 203-305) (exact sequence is proprietary) (Uniprot: P11166)

Localization

Cell Surface

Marker

Tumor Progression and Mesothelioma Marker

Clonality

Monoclonal

Host

Mouse

Isotype

IgG2b Kappa

Theoretical MW

55 kDa.
Disclaimer note: The observed molecular weight of the protein may vary from the listed predicted molecular weight due to post translational modifications, post translation cleavages, relative charges, and other experimental factors.

Description

200ug/ml of antibody purified from Bioreactor Concentrate by Protein A or G. Prepared in 10 mM PBS with 0.05% BSA & 0.05% azide. Also available WITHOUT BSA & azide at 1.0 mg/ml. (NBP2-75786)

Antibody with azide - store at 2 to 8C. Antibody without azide - store at -20 to -80C.

Scientific Data Images for Glut1 Antibody (GLUT1/2475)

Western Blot: Glut1 Antibody (GLUT1/2475) [NBP2-75784]

Western Blot: Glut1 Antibody (GLUT1/2475) [NBP2-75784]

Western Blot: Glut1 Antibody (GLUT1/2475) [NBP2-75784] - Western Blot Analysis of Human A431 cell lysate using Glut1 antibody.
Protein Array: Glut1 Antibody (GLUT1/2475) [NBP2-75784]

Protein Array: Glut1 Antibody (GLUT1/2475) [NBP2-75784]

Protein Array: Glut1 Antibody (GLUT1/2475) [NBP2-75784] - Protein Array containing more than 19,000 full-length human proteins using Z- and S- Score: The Z-score represents the strength of a signal that a monoclonal antibody (MAb) (in combination with a fluorescently-tagged anti-IgG secondary antibody) produces when binding to a particular protein on the HuProt(TM) array. Z-scores are described in units of standard deviations (SDs) above the mean value of all signals generated on that array. If targets on HuProt(TM) are arranged in descending order of the Z-score, the S-score is the difference (also in units of SDs) between the Z-score. S-score therefore represents the relative target specificity of a MAb to its intended target. A MAb is considered to specific to its intended target, if the MAb has an S-score of at least 2.5.
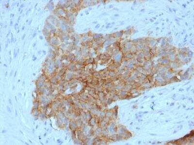
Immunohistochemistry-Paraffin: Glut1 Antibody (GLUT1/2475) [NBP2-75784]

Immunohistochemistry-Paraffin: Glut1 Antibody (GLUT1/2475) [NBP2-75784]

Immunohistochemistry-Paraffin: Glut1 Antibody (GLUT1/2475) [NBP2-75784] - Immunohistochemistry analysis of formalin-fixed, paraffin-embedded human tongue stained with GLUT-1 Mouse Monoclonal Antibody (GLUT1/2475).

Applications for Glut1 Antibody (GLUT1/2475)

Application
Recommended Usage

ELISA

1-2 ug/ml

Flow Cytometry

1-2 ug/million cells

Immunocytochemistry/ Immunofluorescence

1-2 ug/ml

Immunohistochemistry-Paraffin

1-2 ug/ml

Western Blot

1-2 ug/ml
Application Notes
ELISA: For coating use Ab at 1-2ug/ml, order Ab without BSA.
Immunohistochemistry (Formalin-fixed): 1-2ug/ml for 30 minutes at RT. Staining of formalin-fixed tissues requires heating tissue sections in 10mM Tris with 1mM EDTA, pH 9.0, for 45 min at 95C followed by cooling at RT for 20 minutes.
Optimal dilution for a specific application should be determined.

Formulation, Preparation, and Storage

Purification

Protein A or G purified

Formulation

10 mM PBS with 0.05% BSA

Preservative

0.05% Sodium Azide

Concentration

0.2 mg/ml

Shipping

The product is shipped with polar packs. Upon receipt, store it immediately at the temperature recommended below.

Stability & Storage

Store at 4C.

Background: Glut1

Glucose transporter 1 (GLUT1) or solute carrier family 2 (SLC2A1) is a member of the GLUT family of monosaccharides and polyols transporters. GLUT proteins transport glucose across cellular membranes through facilitative mechanisms and play a key role in glucose homeostasis (1). Fourteen GLUT proteins have been identified in the human, which are encoded by SLC2A genes 1-14 and are broadly expressed in many cell types and tissues. GLUT family members differ in sequence homology, substrate specificity and expression patterns. Based on sequence homology, GLUT family members are classified into Class I (GLUT1, 2, 3, 4, and GLUT14), Class II (GLUT5, 7, 9, and 11), and Class III (GLUT6, 8, 10, 12 and 13) (1). Structurally, GLUT transporters are integral membrane glycoproteins consisting of 12 membrane spanning helical domains, a single N-linked glycosylation site, and having cytoplasmic facing carboxy and amino terminal domains (2).

GLUT1 (Human glycosylated form theoretical molecular weight 55kDa) functions primarily as a glucose transporter but can transport other substrates including mannose, galactose and glucosamine across the membrane (3). Like other GLUT family members, GLUT1 is broadly expressed, nevertheless it is the predominant glucose transporter expressed in red blood cells and brain endothelial cells (1). SLC2A1 mutations underscore the autosomal dominant disorder GLUT1 deficiency syndrome (GLUTI-DS) which is characterized by low glucose levels in the brain or hypoglycorrhachia due to insufficient glucose transport across the blood brain barrier (2, 4, 5). Phenotypically, GLUT1-DS is characterized by early onset seizures, neurologic developmental delay, microcephaly, and ataxia (4). GLUT1 is highly expressed in the endothelium of cutaneous vascular lesions and serves as a marker for the diagnosis of juvenile or infantile hemangiomas (6).

References

1. Augustin, R. (2010). The protein family of glucose transport facilitators: It's not only about glucose after all. IUBMB Life. https://doi.org/10.1002/iub.315

2. Mueckler, M., & Thorens, B. (2013). The SLC2 (GLUT) family of membrane transporters. Molecular Aspects of Medicine. https://doi.org/10.1016/j.mam.2012.07.001

3. Stein, W. D., & Litman, T. (2015). Carrier-Mediated Transport. In Channels, Carriers, and Pumps. https://doi.org/10.1016/b978-0-12-416579-3.00004-6

4. Pearson, T. S., Akman, C., Hinton, V. J., Engelstad, K., & De Vivo, D. C. (2013). Phenotypic spectrum of glucose transporter type 1 deficiency syndrome (Glut1 DS). Current Neurology and Neuroscience Reports. https://doi.org/10.1007/s11910-013-0342-7

5. Messana, T., Russo, A., Vergaro, R., Boni, A., Santucci, M., & Pini, A. (2018). Glucose transporter type 1 deficiency syndrome: Developmental delay and early-onset ataxia in a novel mutation of the SLC2A1 gene. Journal of Pediatric Neurosciences. https://doi.org/10.4103/JPN.JPN_169_17

6. van Vugt, L. J., van der Vleuten, C. J. M., Flucke, U., & Blokx, W. A. M. (2017). The utility of GLUT1 as a diagnostic marker in cutaneous vascular anomalies: A review of literature and recommendations for daily practice. Pathology Research and Practice. https://doi.org/10.1016/j.prp.2017.04.023

Long Name

Glucose Transporter Type 1

Alternate Names

DYT17, DYT18, DYT9, EIG12, GLUT1DS, SLC2A1

Gene Symbol

SLC2A1

UniProt

Additional Glut1 Products

Product Documents for Glut1 Antibody (GLUT1/2475)

Certificate of Analysis

To download a Certificate of Analysis, please enter a lot number in the search box below.

Product Specific Notices for Glut1 Antibody (GLUT1/2475)

This product is for research use only and is not approved for use in humans or in clinical diagnosis. Primary Antibodies are guaranteed for 1 year from date of receipt.

Loading...
Loading...
Loading...
Loading...
Loading...