Skip to main content

GLUD1/GLUD2 Antibody (HL2124) - Azide and BSA Free

Novus Biologicals, part of Bio-Techne | Catalog # NBP3-25484

Recombinant Monoclonal Antibody
Novus Biologicals, part of Bio-Techne
Catalog #
Availability
Size / Price
Qty
Loading...
NBP3-25484

Key Product Details

Validated by

Orthogonal Validation

Species Reactivity

Human, Mouse, Rat

Applications

Immunohistochemistry, Immunohistochemistry-Paraffin, Western Blot

Label

Unconjugated

Antibody Source

Recombinant Monoclonal Rabbit IgG Clone # HL2124 expressed in HEK293

Format

Azide and BSA Free

Concentration

Concentrations vary lot to lot. See vial label for concentration. If unlisted please contact technical services.

Product Specifications

Immunogen

Recombinant fragmemt of human GLUD1/GLUD2

Clonality

Monoclonal

Host

Rabbit

Isotype

IgG

Description

Novus Biologicals Rabbit GLUD1/GLUD2 Antibody (HL2124) - Azide and BSA Free (NBP3-25484) is a recombinant monoclonal antibody validated for use in IHC and WB. All Novus Biologicals antibodies are covered by our 100% guarantee.

Scientific Data Images for GLUD1/GLUD2 Antibody (HL2124) - Azide and BSA Free

GLUD1/GLUD2 Antibody (HL2124) - Azide and BSA Free

Western Blot: GLUD1/GLUD2 Antibody (HL2124) - Azide and BSA Free [NBP3-25484] -

Western Blot: GLUD1/GLUD2 Antibody (HL2124) - Azide and BSA Free [NBP3-25484] - Various tissue extracts (50 ug) were separated by 7.5% SDS-PAGE, and the membrane was blotted with GLUD1+GLUD2 antibody [HL2124] (NBP3-25484) diluted at 1:10000. The HRP-conjugated anti-rabbit IgG antibody was used to detect the primary antibody.
GLUD1/GLUD2 Antibody (HL2124) - Azide and BSA Free

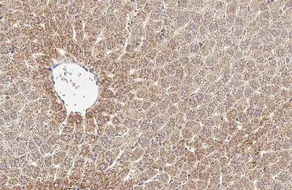
Immunohistochemistry-Paraffin: GLUD1/GLUD2 Antibody (HL2124) - Azide and BSA Free [NBP3-25484] -

Immunohistochemistry-Paraffin: GLUD1/GLUD2 Antibody (HL2124) - Azide and BSA Free [NBP3-25484] - GLUD1+ GLUD2 antibody [HL2124] detects GLUD1+ GLUD2 protein by immunohistochemical analysis. Sample: Paraffin-embedded rat liver. GLUD1+ GLUD2 stained by GLUD1+ GLUD2 antibody [HL2124] (NBP3-25484) diluted at 1:100. Antigen Retrieval: Citrate buffer, pH 6.0, 15 min
GLUD1/GLUD2 Antibody (HL2124) - Azide and BSA Free

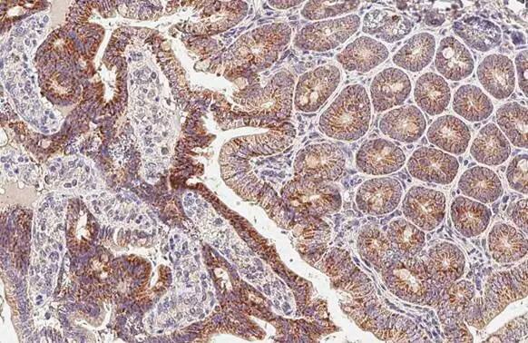
Immunohistochemistry-Paraffin: GLUD1/GLUD2 Antibody (HL2124) - Azide and BSA Free [NBP3-25484] -

Immunohistochemistry-Paraffin: GLUD1/GLUD2 Antibody (HL2124) - Azide and BSA Free [NBP3-25484] - GLUD1+ GLUD2 antibody [HL2124] detects GLUD1+ GLUD2 protein at mitochondria by immunohistochemical analysis. Sample: Paraffin-embedded mouse duodenum. GLUD1+ GLUD2 stained by GLUD1+ GLUD2 antibody [HL2124] (NBP3-25484) diluted at 1:100. Antigen Retrieval: Citrate buffer, pH 6.0, 15 min

Applications for GLUD1/GLUD2 Antibody (HL2124) - Azide and BSA Free

Application
Recommended Usage

Western Blot

1:1000-1:10000

Formulation, Preparation, and Storage

Purification

Protein A purified

Formulation

PBS

Format

Azide and BSA Free

Preservative

No Preservative

Concentration

Concentrations vary lot to lot. See vial label for concentration. If unlisted please contact technical services.

Shipping

The product is shipped with polar packs. Upon receipt, store it immediately at the temperature recommended below.

Stability & Storage

Store at 4C short term. Aliquot and store at -20C long term. Avoid freeze-thaw cycles.

Background: GLUD1/GLUD2

This gene encodes glutamate dehydrogenase, which is a mitochondrial matrix enzyme that catalyzes the oxidative deamination of glutamate to alpha-ketoglutarate and ammonia. This enzyme has an important role in regulating amino acid-induced insulin secretion. It is allosterically activated by ADP and inhibited by GTP and ATP. Activating mutations in this gene are a common cause of congenital hyperinsulinism. Alternative splicing of this gene results in multiple transcript variants. The related glutamate dehydrogenase 2 gene on the human X-chromosome originated from this gene via retrotransposition and encodes a soluble form of glutamate dehydrogenase. Related pseudogenes have been identified on chromosomes 10, 18 and X. [provided by RefSeq, Jan 2016]

Alternate Names

epididymis secretory sperm binding protein, epididymis tissue sperm binding protein Li 18mP, GDH, GDH1, GLUD, glutamate dehydrogenase (NAD(P)+), glutamate dehydrogenase 1, mitochondrial, hGDH1

Gene Symbol

GLUD1

Additional GLUD1/GLUD2 Products

Product Documents for GLUD1/GLUD2 Antibody (HL2124) - Azide and BSA Free

Certificate of Analysis

To download a Certificate of Analysis, please enter a lot number in the search box below.

Product Specific Notices for GLUD1/GLUD2 Antibody (HL2124) - Azide and BSA Free

This product is for research use only and is not approved for use in humans or in clinical diagnosis. Primary Antibodies are guaranteed for 1 year from date of receipt.

Loading...
Loading...
Loading...
Loading...