Skip to main content

Glucose 6 phosphate isomerase Antibody (OTI2D2) - Azide and BSA Free

Novus Biologicals, part of Bio-Techne | Catalog # NBP2-70844

Novus Biologicals, part of Bio-Techne

Key Product Details

Species Reactivity

Human, Mouse, Rat, Monkey, Primate

Applications

Immunohistochemistry, Immunohistochemistry-Paraffin, Western Blot, Immunocytochemistry/ Immunofluorescence

Label

Unconjugated

Antibody Source

Monoclonal Mouse IgG1 Clone # OTI2D2

Format

Azide and BSA Free

Concentration

LYOPH mg/ml

Product Specifications

Immunogen

Full length human recombinant protein of human GPI(NP_000166) produced in HEK293T cell.

Reactivity Notes

Please note that this antibody is reactive to Mouse and derived from the same host, Mouse. Mouse-On-Mouse blocking reagent may be needed for IHC and ICC experiments to reduce high background signal. You can find these reagents under catalog numbers PK-2200-NB and MP-2400-NB. Please contact Technical Support if you have any questions.

Clonality

Monoclonal

Host

Mouse

Isotype

IgG1

Theoretical MW

63 kDa.
Disclaimer note: The observed molecular weight of the protein may vary from the listed predicted molecular weight due to post translational modifications, post translation cleavages, relative charges, and other experimental factors.

Description

Novus Biologicals Mouse Glucose 6 phosphate isomerase Antibody (OTI2D2) - Azide and BSA Free (NBP2-02541) is a monoclonal antibody validated for use in IHC, WB and ICC/IF. All Novus Biologicals antibodies are covered by our 100% guarantee.

Scientific Data Images for Glucose 6 phosphate isomerase Antibody (OTI2D2) - Azide and BSA Free

Western Blot: Glucose 6 phosphate isomerase Antibody (OTI2D2)Azide and BSA Free [NBP2-70844]

Western Blot: Glucose 6 phosphate isomerase Antibody (OTI2D2)Azide and BSA Free [NBP2-70844]

Western Blot: Glucose 6 phosphate isomerase Antibody (OTI2D2) - Azide and BSA Free [NBP2-70844] - HEK293T cells were transfected with the pCMV6-ENTRY control (Left lane) or pCMV6-ENTRY Glucose 6 phosphate isomerase(Right lane) cDNA for 48 hrs and lysed. Equivalent amounts of cell lysates (5 ug per lane) were separated by SDS-PAGE and immunoblotted wit
Immunocytochemistry/ Immunofluorescence: Glucose 6 phosphate isomerase Antibody (OTI2D2) - Azide and BSA Free [NBP2-70844]

Immunocytochemistry/ Immunofluorescence: Glucose 6 phosphate isomerase Antibody (OTI2D2) - Azide and BSA Free [NBP2-70844]

Immunocytochemistry/Immunofluorescence: Glucose 6 phosphate isomerase Antibody (OTI2D2) - Azide and BSA Free [NBP2-70844] - Staining of COS7 cells transiently transfected by pCMV6-ENTRY Glucose 6 phosphate isomerase.
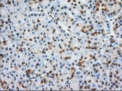
Immunohistochemistry: Glucose 6 phosphate isomerase Antibody (OTI2D2) - Azide and BSA Free [NBP2-70844]

Immunohistochemistry: Glucose 6 phosphate isomerase Antibody (OTI2D2) - Azide and BSA Free [NBP2-70844]

Immunohistochemistry: Glucose 6 phosphate isomerase Antibody (OTI2D2) - Azide and BSA Free [NBP2-70844] - Staining of paraffin-embedded Human pancreas tissue using anti-Glucose 6 phosphate isomerase mouse monoclonal antibody.

Applications for Glucose 6 phosphate isomerase Antibody (OTI2D2) - Azide and BSA Free

Application
Recommended Usage

Immunocytochemistry/ Immunofluorescence

1:100

Immunohistochemistry

1:50

Immunohistochemistry-Paraffin

1:50

Western Blot

1:1000-2000

Formulation, Preparation, and Storage

Purification

Immunogen affinity purified

Reconstitution

we recommend adding 100uL distilled water to a final antibody concentration of about 1 mg/mL. To use this carrier-free antibody for conjugation experiment, we strongly recommend performing another round of desalting process.

Formulation

Lyophilized from PBS (pH 7.3) with 8% Trehalose

Format

Azide and BSA Free

Preservative

No Preservative

Concentration

LYOPH mg/ml

Shipping

The product is shipped with polar packs. Upon receipt, store it immediately at the temperature recommended below.

Stability & Storage

Store at -20C. Avoid freeze-thaw cycles.

Background: Glucose 6 phosphate isomerase

Glucose 6 phosphate isomerase belongs to the GPI family whose members encode multifunctional phosphoglucose isomerase proteins involved in energy pathways. The protein encoded by this gene is a dimeric enzyme that catalyzes the reversible isomerization of glucose-6-phosphate and fructose-6-phosphate. The protein functions in different capacities inside and outside the cell. In the cytoplasm, the gene product is involved in glycolysis and gluconeogenesis, while outside the cell it functions as a neurotrophic factor for spinal and sensory neurons. Defects in this gene are the cause of nonspherocytic hemolytic anemia and a severe enzyme deficiency can be associated with hydrops fetalis, immediate neonatal death and neurological impairment.

Alternate Names

AMFGNPI, Autocrine motility factor, DKFZp686C13233, EC 5.3.1.9, glucose phosphate isomerase, glucose-6-phosphate isomerase, hexose monophosphate isomerase, hexosephosphate isomerase, Neuroleukin, NLKSA36, oxoisomerase, PGI, PHI, Phosphoglucose isomerase, phosphohexomutase, Phosphohexose isomerase, phosphosaccharomutase, SA-36, Sperm antigen 36, sperm antigen-36

Gene Symbol

GPI

Additional Glucose 6 phosphate isomerase Products

Product Documents for Glucose 6 phosphate isomerase Antibody (OTI2D2) - Azide and BSA Free

Certificate of Analysis

To download a Certificate of Analysis, please enter a lot number in the search box below.

Product Specific Notices for Glucose 6 phosphate isomerase Antibody (OTI2D2) - Azide and BSA Free

This product is for research use only and is not approved for use in humans or in clinical diagnosis. Primary Antibodies are guaranteed for 1 year from date of receipt.

Loading...
Loading...
Loading...
Loading...
Loading...