Skip to main content

Glucose 6 Phosphate Dehydrogenase Antibody (2H7) - BSA Free

Novus Biologicals, part of Bio-Techne | Catalog # NBP2-22125

Novus Biologicals, part of Bio-Techne
Catalog #
Availability
Size / Price
Qty
Loading...
NBP2-22125
NBP2-22125SS

Key Product Details

Species Reactivity

Validated:

Human

Cited:

Human

Applications

Validated:

Immunohistochemistry, Immunohistochemistry-Paraffin, Western Blot, ELISA, Flow Cytometry, Simple Western

Cited:

Western Blot, Simple Western

Label

Unconjugated

Antibody Source

Monoclonal Mouse IgG1 Clone # 2H7

Format

BSA Free

Concentration

1.0 mg/ml

Product Specifications

Immunogen

Purified recombinant fragment of human Glucose 6 Phosphate Dehydrogenase expressed in E. coli.

Marker

Cytosol Marker

Clonality

Monoclonal

Host

Mouse

Isotype

IgG1

Theoretical MW

59 kDa.
Disclaimer note: The observed molecular weight of the protein may vary from the listed predicted molecular weight due to post translational modifications, post translation cleavages, relative charges, and other experimental factors.

Description

Novus Biologicals Mouse Glucose 6 Phosphate Dehydrogenase Antibody (2H7) - BSA Free (NBP2-22125) is a monoclonal antibody validated for use in IHC, WB, ELISA, Flow and Simple Western. Anti-Glucose 6 Phosphate Dehydrogenase Antibody: Cited in 3 publications. All Novus Biologicals antibodies are covered by our 100% guarantee.

Scientific Data Images for Glucose 6 Phosphate Dehydrogenase Antibody (2H7) - BSA Free

Western Blot: Glucose 6 Phosphate Dehydrogenase Antibody (2H7)BSA Free [NBP2-22125]

Western Blot: Glucose 6 Phosphate Dehydrogenase Antibody (2H7)BSA Free [NBP2-22125]

Western Blot: Glucose 6 Phosphate Dehydrogenase Antibody (2H7) [NBP2-22125] - Analysis using Glucose 6 Phosphate Dehydrogenase mouse mAb against Hela (1), MCF-7 (2), Jurkat (3) and K562 (4) cell lysates.
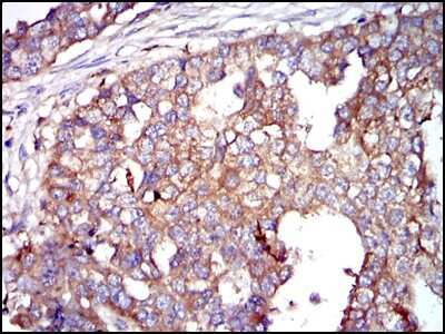
Immunohistochemistry-Paraffin: Glucose 6 Phosphate Dehydrogenase Antibody (2H7) - BSA Free [NBP2-22125]

Immunohistochemistry-Paraffin: Glucose 6 Phosphate Dehydrogenase Antibody (2H7) - BSA Free [NBP2-22125]

Immunohistochemistry-Paraffin: Glucose 6 Phosphate Dehydrogenase Antibody (2H7) [NBP2-22125] - Analysis of paraffin-embedded kidney cancer tissues using Glucose 6 Phosphate Dehydrogenase mouse mAb with DAB staining.
Flow Cytometry: Glucose 6 Phosphate Dehydrogenase Antibody (2H7) - BSA Free [NBP2-22125]

Flow Cytometry: Glucose 6 Phosphate Dehydrogenase Antibody (2H7) - BSA Free [NBP2-22125]

Flow Cytometry: Glucose 6 Phosphate Dehydrogenase Antibody (2H7) [NBP2-22125] - Analysis of Jurkat cells using Glucose 6 Phosphate Dehydrogenase mouse mAb (green) and negative control (red).

Applications for Glucose 6 Phosphate Dehydrogenase Antibody (2H7) - BSA Free

Application
Recommended Usage

ELISA

1:10000

Flow Cytometry

1:200-1:400

Immunohistochemistry-Paraffin

1:200-1:1000

Simple Western

1:50

Western Blot

1:500-1:1000

Reviewed Applications

Read 1 review rated 4 using NBP2-22125 in the following applications:

Formulation, Preparation, and Storage

Purification

Ammonium sulfate precipitation

Formulation

PBS

Format

BSA Free

Preservative

0.03% Sodium Azide

Concentration

1.0 mg/ml

Shipping

The product is shipped with polar packs. Upon receipt, store it immediately at the temperature recommended below.

Stability & Storage

Store at 4C short term. Aliquot and store at -20C long term. Avoid freeze-thaw cycles.

Background: G6PD

This gene encodes glucose-6-phosphate dehydrogenase. This protein is a cytosolic enzyme encoded by a housekeeping X-linked gene whose main function is to produce NADPH, a key electron donor in the defense against oxidizing agents and in reductive biosynthetic reactions. G6PD is remarkable for its genetic diversity. Many variants of G6PD, mostly produced from missense mutations, have been described with wide ranging levels of enzyme activity and associated clinical symptoms. G6PD deficiency may cause neonatal jaundice, acute hemolysis, or severe chronic non-spherocytic hemolytic anemia. Two transcript variants encoding different isoforms have been found for this gene.

Long Name

Glucose-6-Phosphate Dehydrogenase

Alternate Names

G6PDH

Entrez Gene IDs

2539 (Human)

Gene Symbol

G6PD

UniProt

Additional G6PD Products

Product Documents for Glucose 6 Phosphate Dehydrogenase Antibody (2H7) - BSA Free

Certificate of Analysis

To download a Certificate of Analysis, please enter a lot number in the search box below.

Product Specific Notices for Glucose 6 Phosphate Dehydrogenase Antibody (2H7) - BSA Free

This product is for research use only and is not approved for use in humans or in clinical diagnosis. Primary Antibodies are guaranteed for 1 year from date of receipt.

Loading...
Loading...
Loading...
Loading...
Loading...