Skip to main content

GLS2 Antibody (CL7721) - Azide and BSA Free

Novus Biologicals, part of Bio-Techne | Catalog # NBP3-44210

Novus Biologicals, part of Bio-Techne

Key Product Details

Validated by

Orthogonal Validation

Species Reactivity

Human

Applications

Immunohistochemistry-Paraffin, Western Blot

Label

Unconjugated

Antibody Source

Monoclonal Mouse IgG1 Clone # CL7721

Format

Azide and BSA Free

Concentration

LYOPH mg/ml

Product Specifications

Immunogen

This antibody was generated using a synthetic peptide of Q9UI32, with the exact immunogen sequence remaining proprietary.

Clonality

Monoclonal

Host

Mouse

Isotype

IgG1

Description

Novus Biologicals Mouse GLS2 Antibody (CL7721) - Azide and BSA Free (NBP2-88908) is a monoclonal antibody validated for use in IHC and WB. All Novus Biologicals antibodies are covered by our 100% guarantee.

Scientific Data Images for GLS2 Antibody (CL7721) - Azide and BSA Free

GLS2 Antibody (CL7721) - Azide and BSA Free Immunohistochemistry-Paraffin: GLS2 Antibody [NBP3-44210]

Immunohistochemistry-Paraffin: GLS2 Antibody [NBP3-44210]

Analysis in human liver and skeletal muscle tissues using NBP3-44210 antibody. Corresponding GLS2 RNA-seq data are presented for the same tissues.
GLS2 Antibody (CL7721) - Azide and BSA Free Immunohistochemistry-Paraffin: GLS2 Antibody [NBP3-44210]

Immunohistochemistry-Paraffin: GLS2 Antibody [NBP3-44210]

Staining of human skeletal muscle shows no positivity in myocytes as expected.
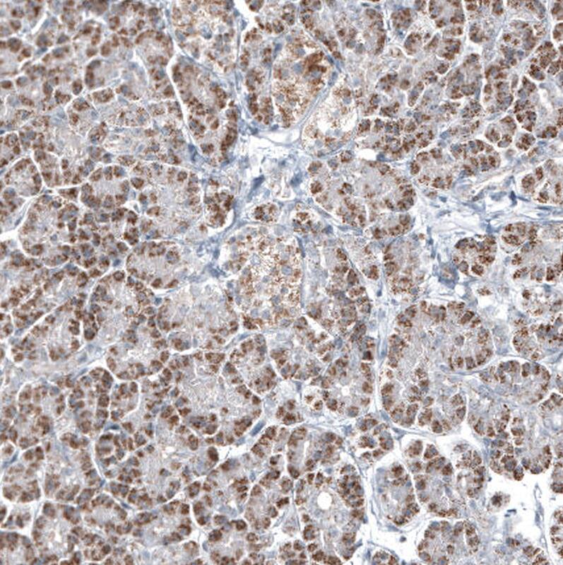
GLS2 Antibody (CL7721) - Azide and BSA Free Immunohistochemistry-Paraffin: GLS2 Antibody [NBP3-44210]

Immunohistochemistry-Paraffin: GLS2 Antibody [NBP3-44210]

Staining of human liver shows strong granular cytoplasmic positivity in hepatocytes.

Applications for GLS2 Antibody (CL7721) - Azide and BSA Free

Application
Recommended Usage

Immunohistochemistry-Paraffin

1:500 - 1:1000

Western Blot

1 ug/ml
Application Notes
For IHC-Paraffin, HIER pH 6 retrieval is recommended.

Formulation, Preparation, and Storage

Purification

Protein A purified

Reconstitution

Centrifuge the vial of lyophilized antibody at 12,000 x g for 20 seconds. Reconstitute by adding sterile, distilled water to achieve a final antibody concentration of 1mg/ml.

Formulation

Lyophilized from a 0.2 um filtered solution in PBS with Trehalose

Format

Azide and BSA Free

Preservative

No Preservative

Concentration

LYOPH mg/ml

Shipping

The product is shipped at ambient temperature. Upon receipt, store it immediately at the temperature recommended below.

Stability & Storage

Store at 4C short term. Aliquot and store at -20C long term. Avoid freeze-thaw cycles.

Background: GLS2

The protein encoded by the GLS2 gene is a mitochondrial phosphate-activated glutaminase that catalyzes the hydrolysis of glutamine to stoichiometric amounts of glutamate and ammonia. This protein is functionally similar to the kidney glutaminase but is a little smaller in size. Originally thought to be liver-specific, this protein has been found in other tissues as well. At least one transcribed pseudogene has been found for this gene. [provided by RefSeq]

Alternate Names

EC 3.5.1.2, GAbreast cell glutaminase, GLSglutaminase GA, glutaminase 2 (liver, mitochondrial), glutaminase I, glutaminase liver isoform, mitochondrial, hLGA, LGA, L-glutaminase, L-glutamine amidohydrolase, MGC71567, phosphate-activated glutaminase, phosphate-dependent glutaminase, truncated glutaminase 2

Gene Symbol

GLS2

Additional GLS2 Products

Product Documents for GLS2 Antibody (CL7721) - Azide and BSA Free

Certificate of Analysis

To download a Certificate of Analysis, please enter a lot number in the search box below.

Product Specific Notices for GLS2 Antibody (CL7721) - Azide and BSA Free

This product is for research use only and is not approved for use in humans or in clinical diagnosis. Primary Antibodies are guaranteed for 1 year from date of receipt.

Loading...
Loading...
Loading...
Loading...
Loading...